Charlie Herndon
5.5K posts

Charlie Herndon
@DrCycloPath
My education site https://t.co/9SV87NkfSc PGY1 @UCSFPath All views are my own #CytoPath #Molecular #PathTwitter #Pathology
San Francisco, CA Katılım Nisan 2023
734 Takip Edilen7.6K Takipçiler

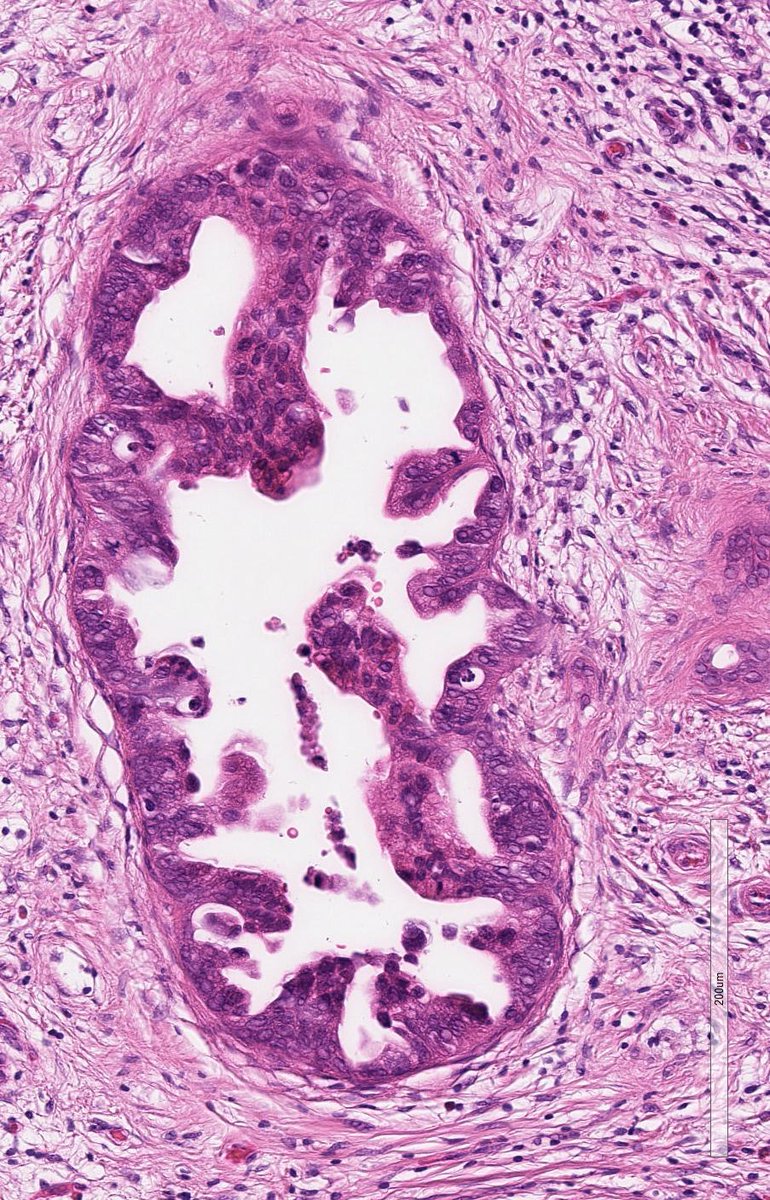
#PathQuiz #Pancreas🍤
57-year-old woman with a 50 mm incidental unilocular cyst in the pancreatic tail.
A) Mucinous cystic neoplasm
B) Simple mucinous cyst
C) IPMN
D) PanIN
#Pathology #GIPath @IARCWHO

English

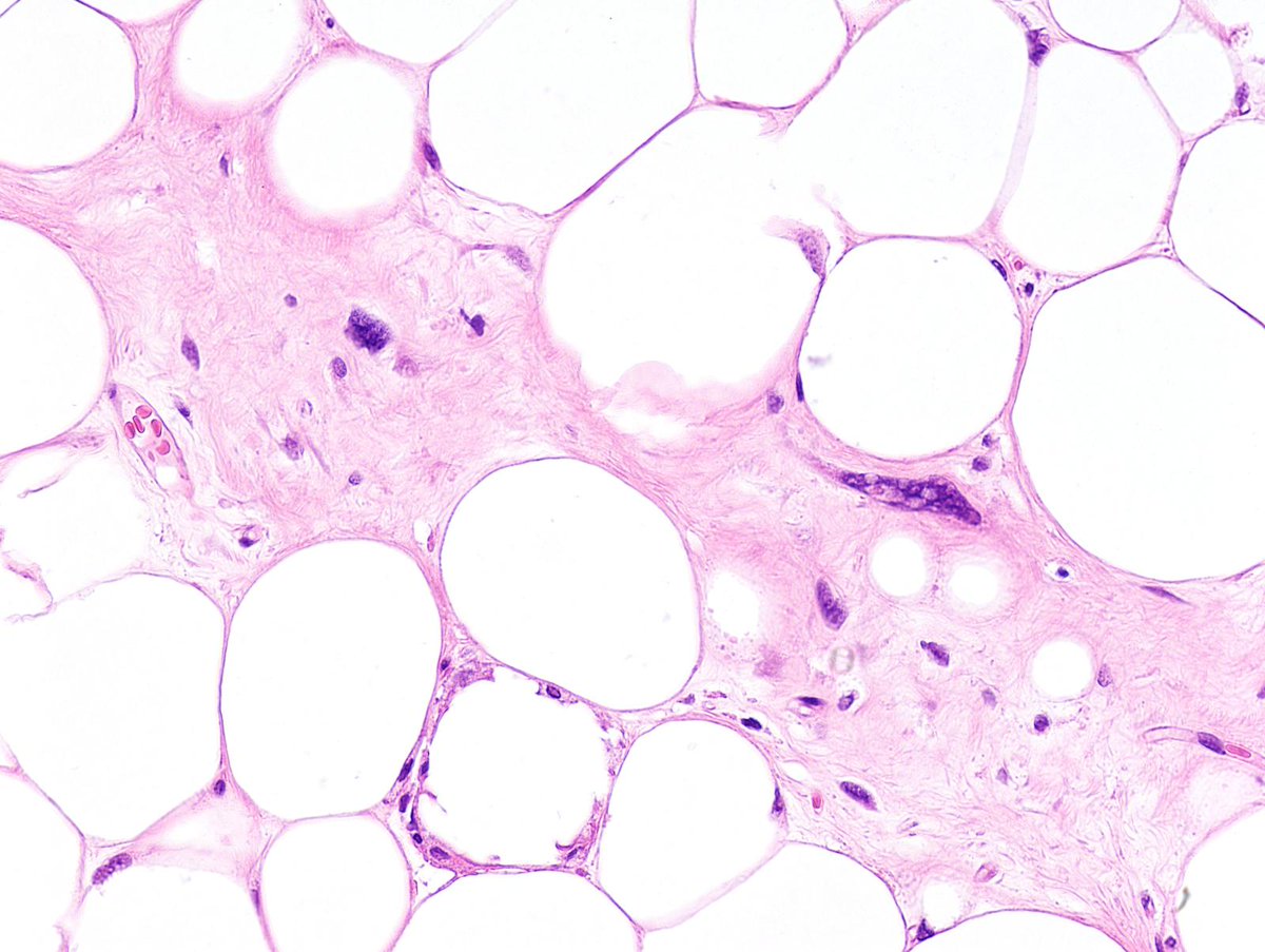
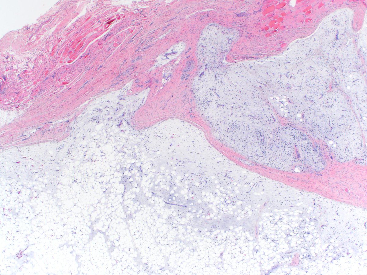
#PathQuiz 🔬
A) FUS::DDIT3 fusion
B) RB1 loss
C) PLAG1 rearrangement
D) MDM2 amplification
#Pathology #SoftTissuePath #MolecularPath
Clue in caption 🧐

English

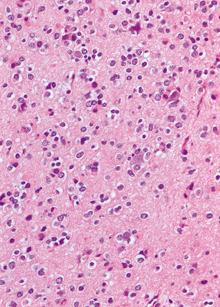
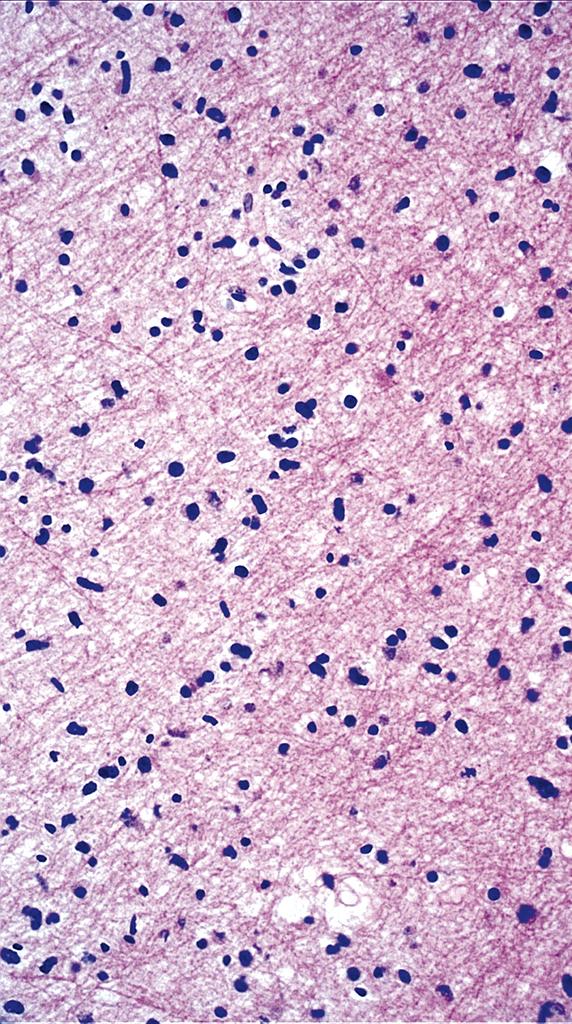
#PathQuiz 🔬🧠#NeuroPath
Which finding is expected (and required) for this diagnosis?
A) H3 K27M mutation
B) ATRX loss
C) 1p/19q codeletion
D) ZFTA fusion
#Pathology #NeuroPath #Glioma

English















