Dr.Yevvari Sameera
325 posts

Dr.Yevvari Sameera
@DrYevSam_Rad
#Boymom | Real beauty comes from within, hence image it. #Radiologist |Breast, Neuro, Onco, Abdominal Imaging| Art🎨🖌️| photography📸 Cases from daily practice
Vishakhapatnam, India Katılım Aralık 2020
142 Takip Edilen1.3K Takipçiler

@DrYevSam_Rad Patella alta secondary to chronic patellar tendon tear
Español

@DrYevSam_Rad Intresting
Can I have a look at x ray and post contrast images ?
English

36 year old male with hip pain since 20 days.
What is the most likely diagnosis?
#Orthotwitter
#MSKradiology



English

@DrYevSam_Rad Focal Adenomyosis of the Outer Myometrium (FAOM)/External Adenomyosis -
low T2-signal intensity region within the outer myometrium, most often posteriorly.
Look for ill-defined margins, minimal mass effect, and possible punctate hyperintense foci
FAOM can coexist with DIE
English

This lady might have silently suffered for over a decade now and turned up for MRI Pelvis for as a part of infertility work up.
Hoping to diagnose more such cases on USG earlier so they don’t end up like this 🤞
#Infertilityimaging
#Womensimaging




English

Is every edema along the SI joint Sacroiliitis?
This is a case of 45y/M came for follow up of Sacroiliitis which was reported elsewhere on an MRI 6 months back. What do we see here in addition to marrow edema?
Follow 🧵 for more.
#OrthoRad
#MSKimaging

English

@DrYevSam_Rad But usually it will have enhancing mural nodule right. Similar to cystic astrocytoma
English

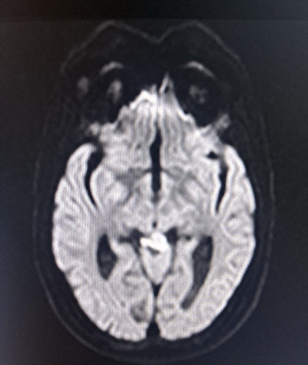
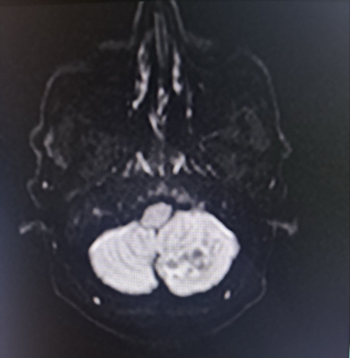
67 year old male with headache.
Contrast images are in 🧵.
#MedTwitter
#RadX #Radtwitter
#Neurorad
#NeuroTwitter




English

This case is a reminder that Age, Gender, location of lesion, They all point to help narrow the differential diagnosis apart from signal characteristics when we report images.
Dr.Yevvari Sameera@DrYevSam_Rad
Lesion in left cerebellum - T2 hyperintense lesion, no diff restriction, intense enhancement with feeding vessels also seen on T2 as flow voids - posterior fossa tumour in elderly male - highly in favour of Hemangioblastoma - DD is metastasis.
English









