
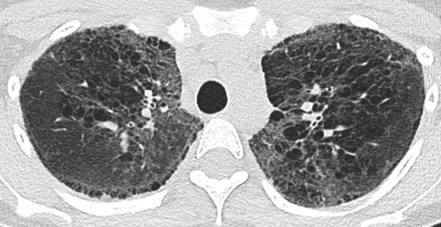
In the phase 3 TETON-2 trial involving patients with idiopathic pulmonary fibrosis, inhaled treprostinil was associated with a smaller decline in forced vital capacity and a lower risk of clinical worsening than placebo over 52 weeks. Full trial results: nejm.org/doi/full/10.10…
























