Emory Cytopathology

21 posts

Emory Cytopathology banner
Emory Cytopathology

Emory Cytopathology

@EmoryCytopath

Cytopathology division @EmoryPathology Tweets by current residents, fellows and faculty

Katılım Kasım 2021
49 Takip Edilen450 Takipçiler
Emory Cytopathology
Emory Cytopathology@EmoryCytopath·
FNAC of monophasic synovial sarcoma showing: *Overlapping clusters of uniform spindled cells *Bland spindled nuclei with hyperchromatic and finely granular cytoplasm *Tapered fibrillary cytoplasmic processes #softtissuepath #cytopath #cytology
Emory Cytopathology tweet mediaEmory Cytopathology tweet mediaEmory Cytopathology tweet mediaEmory Cytopathology tweet media
English
0
25
69
0
Emory Cytopathology retweetledi
Michelle Reid MD
Michelle Reid MD@MichelleReidMD·
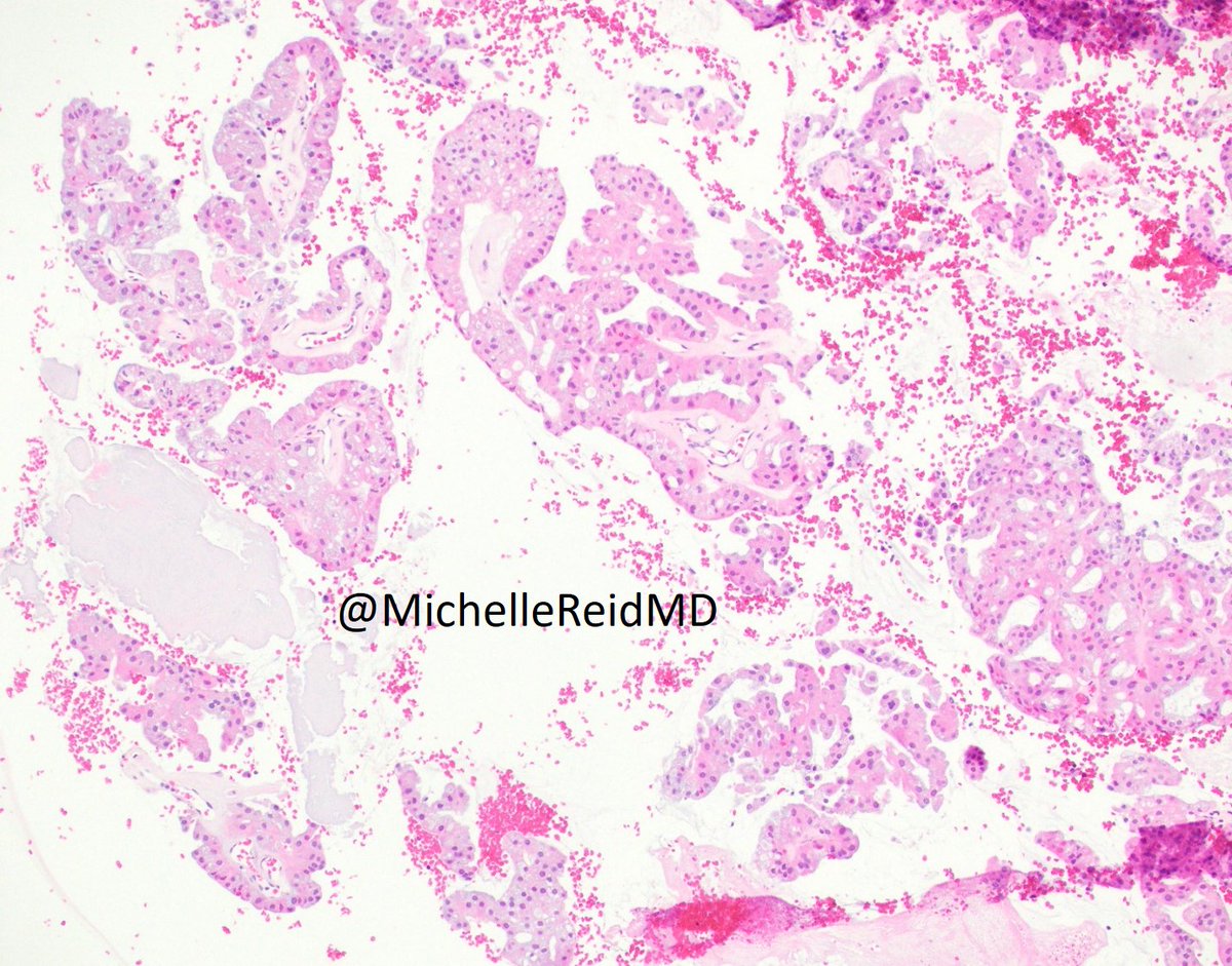
Just presented our multi institutional study examining the Cytologic Features of Intraductal Papillary Neoplasm of Bile Duct (IPNB): An Analysis of 18 Cases @OlcaBasturk @pbpath #pancreas
Michelle Reid MD tweet mediaMichelle Reid MD tweet media
English
1
8
18
0
Emory Cytopathology
Emory Cytopathology@EmoryCytopath·
Rosai-Dorfman disease of a lymph node: *Large histiocytes with round nuclei, fine chromatin and small nucleoli showing emperipolesis of lymphocytes, plasma cells, and RBCs. Histiocytes are S100 positive, confirming the diagnosis. #FNAFriday #cytopath
Emory Cytopathology tweet mediaEmory Cytopathology tweet mediaEmory Cytopathology tweet mediaEmory Cytopathology tweet media
English
0
43
120
0
Emory Cytopathology retweetledi
Kyle Bradley, MD
Kyle Bradley, MD@KyleBradleyMD·
Blood smear from a patient with COVID-19 infection. As with most viral infections, COVID is associated with reactive lymphocytes. More specific (and common!) findings are plasma cells and dysplastic neutrophils.
Kyle Bradley, MD tweet media
English
3
38
125
0
Emory Cytopathology
Emory Cytopathology@EmoryCytopath·
By definition IOPNs are graded as showing "high grade atypia." Ddx includes IPMN + MCN, but unlike those IOPN has oncocytic cells w scant cytoplasmic/background mucin. Wanna learn more about the cyto of IOPN? Check out this article by @MichelleReidMD: tinyurl.com/2z5ud2xm
English
1
0
2
0
Emory Cytopathology
Emory Cytopathology@EmoryCytopath·
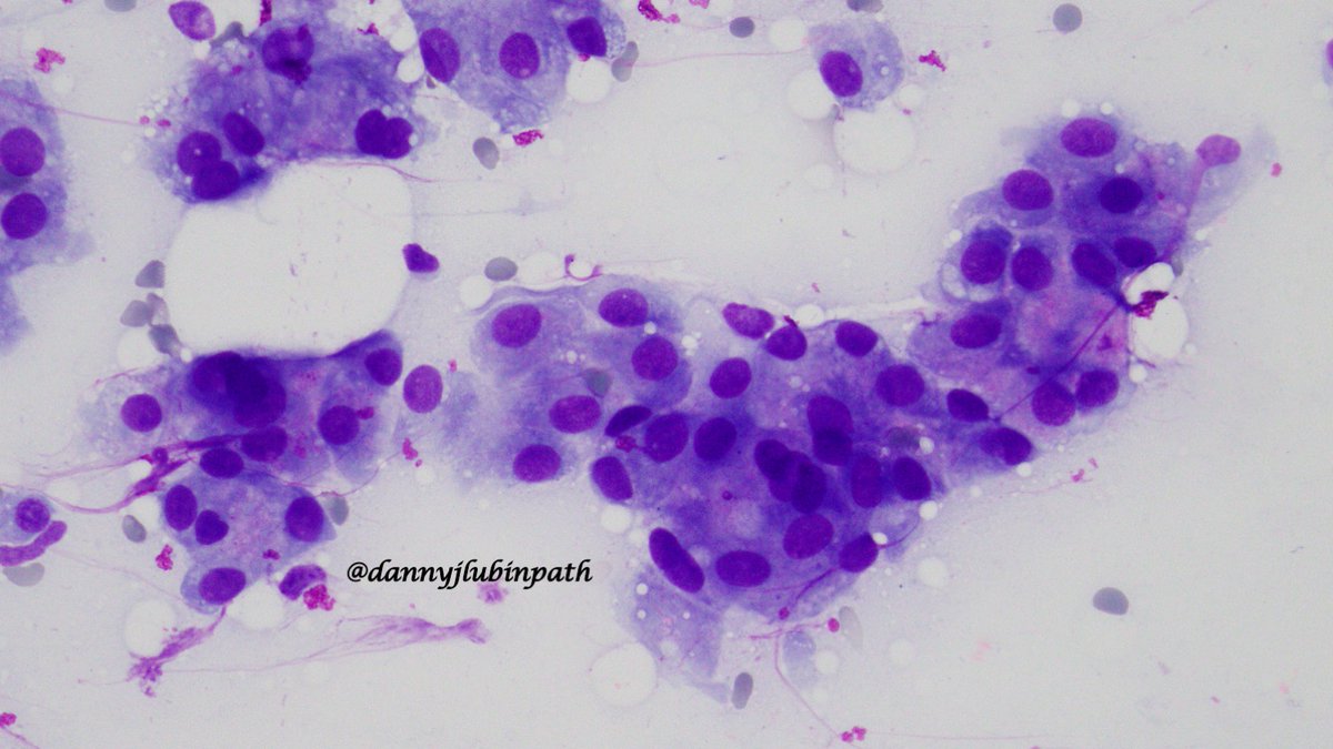
Pap shows branching papillae w large oncocytic cells w low N:C, large vesicular nuclei + prominent nucleoli. Cell block shows edematous papillae w bland pseudostratified oncocytic cells w scant amounts of thick background mucin. Dx: Intraductal oncocytic papillary neoplasm 2/
Emory Cytopathology tweet mediaEmory Cytopathology tweet mediaEmory Cytopathology tweet media
English
1
2
3
0
Emory Cytopathology
Emory Cytopathology@EmoryCytopath·
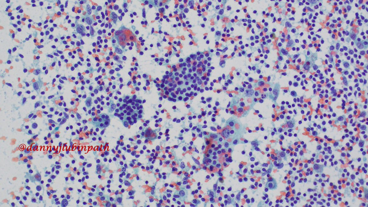
Let's dive deeper into this case from @MichelleReidMD Female pt with incidental pancreatic cyst communicating with the pancreatic duct, which was dilated to 1.2 cm Diff Quik shows sheets of large bland epithelial cells w granular magenta cytoplasm and low N:C ratio. 1/
Emory Cytopathology tweet media
English
1
7
9
0
Emory Cytopathology
Emory Cytopathology@EmoryCytopath·
Of course molecular can also be helpful! Secretory CA characteristically shows rearrangements involving ETV6-NTRK3. Want to learn a helpful algorithm to approach salivary gland FNAs? Check out this recent reference by @dannyjlubinpath (PMID 33136345): pubmed.ncbi.nlm.nih.gov/33136345/
English
0
3
11
0
Emory Cytopathology
Emory Cytopathology@EmoryCytopath·
The main DDx for salivary gland tumors with abundant granular to vacuolated cytoplasm is acinic cell CA and secretory CA. These can be distinguished by IHC: Acinic cell CA: NR4A3+, DOG1+; neg for S100, Mammaglobin Secretory CA: S100+, Mammaglobin+; neg for DOG1, NR4A3
English
1
3
14
0
Emory Cytopathology
Emory Cytopathology@EmoryCytopath·
Let's start with an FNAC of a parotid mass: Diff-Quik shows clusters of cells with vacuolated cytoplasm including occasional cells with single large vacuoles and eccentric nuclei IHC: +S100, +Mammaglobin; DOG1 negative Dx: Secretory carcinoma (formerly MASC) #entpath #cytopath
Emory Cytopathology tweet mediaEmory Cytopathology tweet mediaEmory Cytopathology tweet mediaEmory Cytopathology tweet media
English
1
43
90
0
Emory Cytopathology
Emory Cytopathology@EmoryCytopath·
We intend to use this page to highlight our academic contributions to the field of cytopathology and showcase the diversity of our cases. Tweets will be made by current faculty and trainees. #cytopath #cytology
English
0
0
4
0
Emory Cytopathology
Emory Cytopathology@EmoryCytopath·
Dear #PathTwitter fam, Allow ourselves to introduce... ourselves. This is the official Twitter page of Emory cytopathology, home to 14 board-certified cytopathologists signing out >40,000 specimens yearly, including >25,000 gyn specimens and >4,000 FNAs.
English
5
12
90
0