Dr. Faisal Binhassan retweetledi
Dr. Faisal Binhassan
41 posts

Dr. Faisal Binhassan
@FMBH_
طبيب أسنان | طب وجراحة الفم والأسنان من جامعة الملك سعود | @dermadentsa | @ksudental #dent437 | حجزالمواعيد⤵️For appointments
Riyadh Katılım Nisan 2020
112 Takip Edilen88 Takipçiler
Dr. Faisal Binhassan retweetledi
Dr. Faisal Binhassan retweetledi
Dr. Faisal Binhassan retweetledi
Dr. Faisal Binhassan retweetledi
Dr. Faisal Binhassan retweetledi

@FMBH_ اسأل الله العظيم رب العرش الكريم ان يوفقكم لما فيه خدمه هذا الوطن العظيم وان تقوموا برد الجزاء وان تكونوا لبنه صالحه في مسيره النماء والرخاء والشكر لله ثم لكم علي مابذلتموه من جد واجتهاد توج بهذا التفوق فسيروا علي بركه الله مراقبينه في كل تصرفاتكم
العربية

الحمدلله بفضل من الله و توفيقه، فاز بحثنا لسنة الامتياز بالمركز الأول 🥇 على افضل ملصق في اليوم العلمي لأبحاث اطباء و طبيبات الامتياز ٢٠٢٣ #IRAM2023
بالاضافة، فزنا بالمركز الاول 🥇 لأفضل عرض تقديمي 3MT
و تم تكريم مجموعتنا من قبل عميد كلية طب الأسنان بجامعة الملك سعود

العربية

@NawafAlkhammash الله يجزاك خير د نواف، تستاهل الطيب واللهم امين اجمعين يارب 🙏🏻
العربية

@alomar_ahmed الله يبارك فيك د. أحمد
اللهم امين اجمعين يارب
العربية
Dr. Faisal Binhassan retweetledi
Dr. Faisal Binhassan retweetledi

The Effect of Cement Film Thickness on The Shear Bond Strength of Lithium Disilicate Veneers Cemented With Adhesive Resin🏅
Supervised by: Prof. Syed Rashid Habib
Presented by: Ahmed Alsaleh, Faisal Binhassan, Khaled Alhabeeb and Sultan Alkhaldi
#IRAM2023

English
Dr. Faisal Binhassan retweetledi

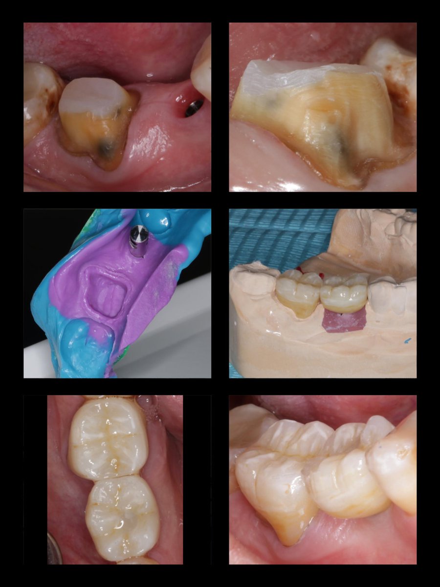
Zirconia crown on Endotreated #47 Implant supported crown on #46, The implant was placed by @alomar_ahmed

English

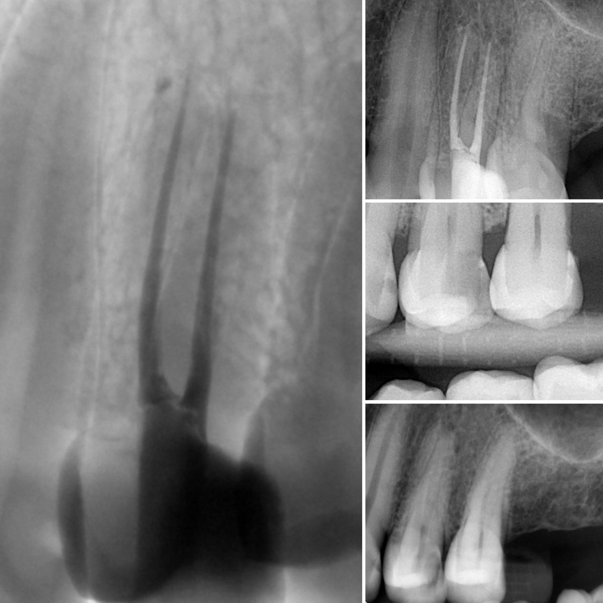
Dx:
24: Symptomatic irreversible Pulpitis w/ SAP
TX:
Non-Surgical RCT (One Visit)
instagram.com/p/Cl3z-6nNIXP/…

English

22 year-old male patient came to the clinic complaining of a broken tooth,
Class IV composite restoration was done on #11

English

@NawafAlkhammash الله يوفقك وييسر لك، وعقبال اعلى المناصب يارب، تستاهل كل خير دكتور نواف💙
العربية

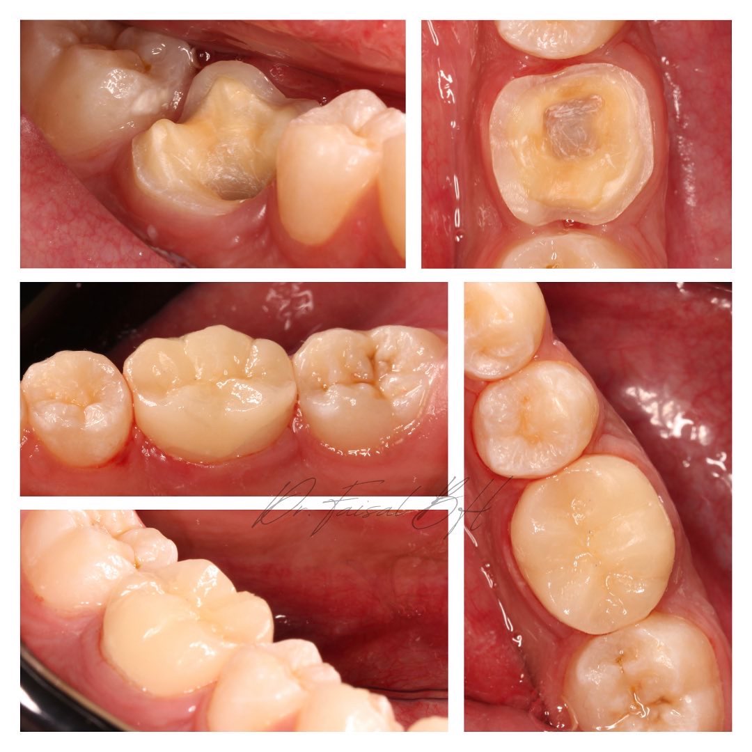
تلبيسة للطاحن السفلي الأول #46
Endo-Crown for Tooth #46
Lithium disilicate (e.max) Bonded
instagram.com/p/ChuSWOvqyDA/…

Català

@aboyasser1411 اللهم امين اجمعين، تقبل الله دعائك، والله يبارك فيك
العربية

الحمدلله ما تناهى درب ولا ختم جهد ولا تم سعي الا بفضله.
بكل فخر واعتزاز اهني نفسي وزملائي في يوم تخرجنا، زرعنا خيراً وبحمد الله وفضله وكرمه حصدنا خيراً..
ادعوا الله عز وجل ان يوفقنا جميعاً لما يحب ويرضى.
والقادم افضل بإذن الله.. #dent437

العربية


















