Sabitlenmiş Tweet
فاتن بنت عبدالعزيز
522 posts

فاتن بنت عبدالعزيز
@Faten22_7
Senior dental student at QU🦷✨
Katılım Kasım 2015
300 Takip Edilen199 Takipçiler

@Faten22_7 الف مبروووك التخرج دكتورتنا فتو🥹
وعقبال اعلى المناصب يارب❤️❤️❤️❤️
العربية

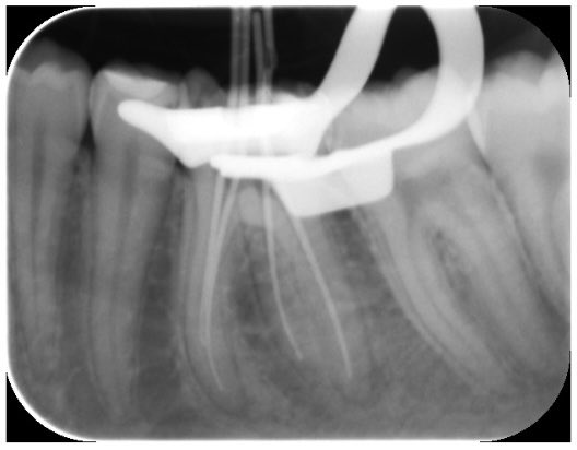
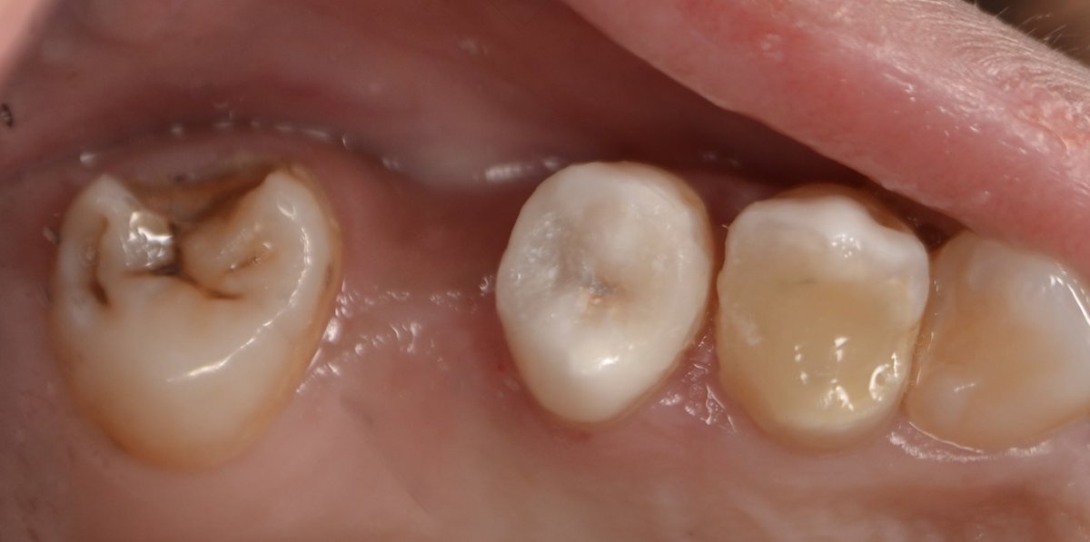
Successfully completed endodontic treatment on #36 with Radix Entomolaris, a challenging and rewarding case ✨
Grateful to have performed it under the supervision of @DrKhawlahSays and @HananShu
Thank you for your guidance and continuous support in advancing our clinical skills.



English
فاتن بنت عبدالعزيز retweetledi
فاتن بنت عبدالعزيز retweetledi































