Francesca Neuberger
515 posts

Francesca Neuberger
@FranNeubes
Consultant physician @NorthBristolNHS. Acute medicine, obstetric medicine, medical education. Ironman, auntie, lover of skiing and travel. Views are my own.
Bristol, England Katılım Şubat 2015
1.1K Takip Edilen839 Takipçiler

#hotoffthepress
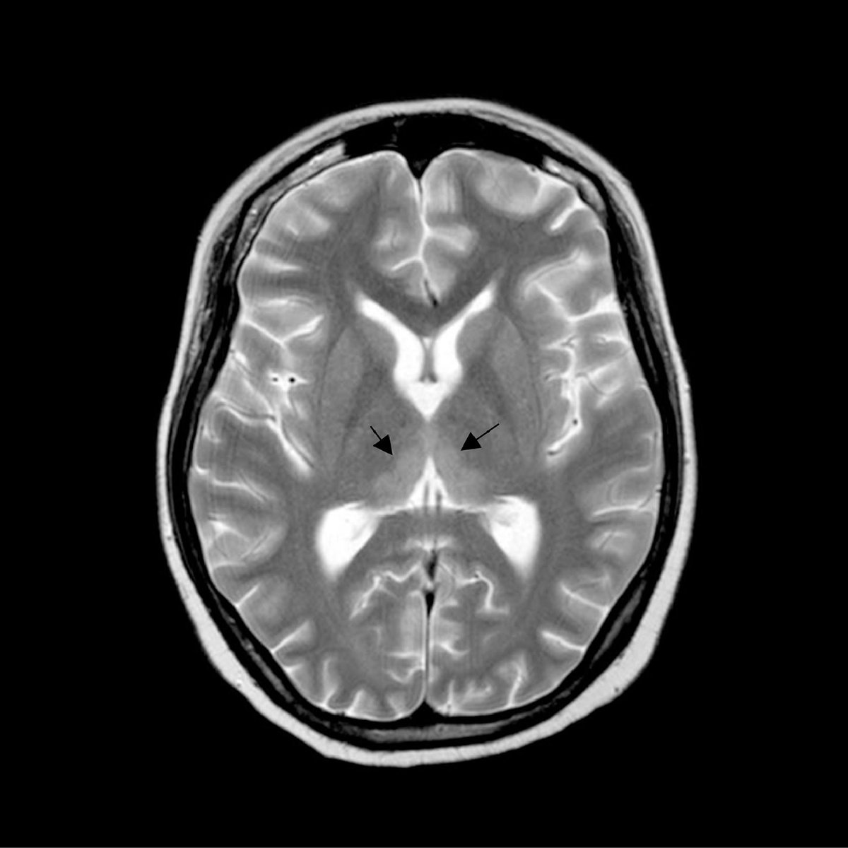
A case of ascending paralysis in pregnancy: thiamine deficiency mimicking Guillain–Barré syndrome
This case shows the importance of considering thiamine deficiency in atypical neurological presentations, particularly in pregnancy 👇
sciencedirect.com/science/articl…

English

@midwifeMaryLyn @DrAnnaDavies @abimerriel @NorthBristolNHS @SWSCN @NBT_Library @BristolUni Well done Mary! 👏 👏
English

The road was long & arduous. Had to dig deep 💪
Thx to supervisor @DrAnnaDavies 😘 @abimerriel @NorthBristolNHS midwives @SWSCN 💷(5 yrs ago 🤦♀️)
@NBT_Library for every help @BristolUni #graduationday #MSc #research #improvingcarefor🤰🤰🏾🤰🏻👶🏼👶🏿




English
Francesca Neuberger retweetledi

#hotoffthepress
This article provides a systematic approach to caring for pregnant women with acute confusion and the management of specific conditions.
sciencedirect.com/science/articl…
@Amanda_H25
@FranNeubes
English
Francesca Neuberger retweetledi

Anyone interested in Obstetric Medicine, applications now open for 2025 fellowships. Very happy to be contacted re. Trainee experience at the Bristol site for those thinking about it @RCPhysicians @MaternalNbt @FranNeubes

English
Francesca Neuberger retweetledi

It's been great working with various maternal medicine networks on their websites promoting their provision of specialist care and pregnancy advice for all women with medical conditions, it provides an area for Professionals & an area for Parents and Families.
#maternalhealth




English

Congratulations and a big well done to NHS Creative's Service Manager, Steve Hubbard, who completed the challenging but picturesque Clarendon Marathon yesterday!! 👏🏼👏🏼👏🏼🏃🏽♂️The route took him from Salisbury to Winchester along the ancient Clarendon Way 🤩
#marathon #MedalMonday

English

When you come home to exciting post ☺️. So pleased and grateful to be part of the obstetric medicine body. A huge thank you to @FranNeubes for all your support and wisdom this last year, alongside the wider NBT team @MaternalNbt

English

@Amanda_H25 @MaternalNbt Thanks Amanda, congratulations to you! 👏 👏
English

Thank you to @nhscreative for being a pleasure to work with in helping to create our new website for the South West Maternal Medicine Network 🙏 @_EMMMN @MaternalNbt @theUKMCS @obstetricmedic @nelson_piercy @cathwilliamson5 @PrinjaPaarul
NHS Creative 💙 (Same handle on Bluesky)@nhscreative
We hope this new resource helps to support the process; a special thanks to @FranNeubes for pulling all the content together 🙏🏽 #thankyou #teamwork #ObstetricMedicine #HealthcareInnovation @HealthInnoWest @M0MSuk
English
Francesca Neuberger retweetledi

🙏 #RCPMed24 for the opportunity to present this project exploring the journey of displaced doctors from Burma joining the NHS. Next to explore ways to further deepen links between U.K. and Burma as conflict continues @THETlinks @FCDOGovUK @NHSE_WTE #healthpartnerships

English
Francesca Neuberger retweetledi

Fetal medicine and obstetric consultant vacancy in the South West! Come and work with the lovely team in Taunton 😊Great links with Bristol regional referral centre and the South West Fetal Medicine Network healthjobsuk.com/job/UK/Somerse… @DrKatOG
English
Francesca Neuberger retweetledi

1 week to go!
I’ll be sending out teams invites on Friday. If you work in the South West with an interest in obstetric medicine please sign up forms.office.com/e/MsaqwUpkHg for our first reflective teaching ‘Moments in Maternal Medicine’. @StacyHazlehurst @FranNeubes @MaternalNbt

English
Francesca Neuberger retweetledi

Calling all GPs across the Southwest…! @SevernFacultyGP @severngpvts @BurdenChristy @FranNeubes @MaternalNbt

English
Francesca Neuberger retweetledi

With two weeks to go until our first ‘Moments in Maternal Medicine’ reflective teaching. Healthcare professionals working in the South West interested in maternal medicine are very welcome to join. Please register at forms.office.com/e/MsaqwUpkHg

English
Francesca Neuberger retweetledi

Interested in obstetric medicine?
The RCP is accepting applications for funded places on the Higher Specialty Trainee Obstetric Medicine Credential.
Develop your knowledge and skills at an approved training centre: ow.ly/pcfO50QfRvo
Applications close 22 January 2024.

English

Fantastic day speaking at the first @obsmedco obstetric medicine midwives course at Kings College Hospital @nelson_piercy @cathwilliamson5 @drdjw1 @Melanie_Nana1 @MaternalNbt

English
Francesca Neuberger retweetledi

Very interesting case study by @FranNeubes 🤰#motorneuronedisease @obsmedco conference. Extensive #MDT take 🏠 message: remember normal pregnancy care not overshadowed by medical complexities of the condition. 🤰🏽👶🏼 #communication community midwifery team



English

@StacyHazlehurst and @Amanda_H25 at the obstetric nephrology midwife training day reminding everyone not to forget aspirin in future pregnancy for women who have had an AKI @MaternalNbt

English
Francesca Neuberger retweetledi

Dr Alison Armitage & Dr Laura Skinner @LJS_Skinner kicking off the SWMMN renal day @MaternalNbt
AKI Key points:
**A creatinine above 77 is considered an AKI in pregnancy
**Women with a previous document AKI should have PET prophylaxis with aspirin in a future pregnancy



English