Prof. Dhavendra Kumar, MD DSc FRCP FRCPCH FACMG
1.9K posts

Prof. Dhavendra Kumar, MD DSc FRCP FRCPCH FACMG
@GenomeKumar
CEO/Medical Director- The Genomic Medicine Foundation UK; Consultant Clinical Geneticist; Cardiovascular Genomics and Genomic & Precision Medicine
Cardiff, Wales/ London,England Katılım Nisan 2013
600 Takip Edilen746 Takipçiler

@docakx Classic Vitamin D deficiency Rickets- child shows rachitic rosary sign!
English

@MTD_MED Retinoblastoma- should be excluded!
English

@DoctorMed0 Incorrect for this picture- meant for another picture
English

@DoctorMed0 Congenital syphilis- classic triad!
Català

@Doctors_GUILD Intusseception
English

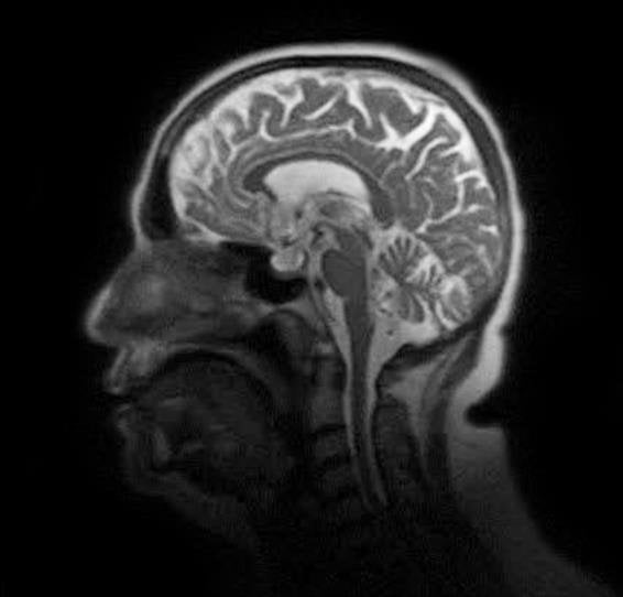
@3DMedico1 Cerebellar Medulloblastoma
Español

@Doctors_GUILD Pulmonary TB- classic fulminant appearance
English

@MTD_MED Fragile X syndrome
Français

@ChShafiullah15 Respiratory paralysis
Lietuvių

@drsthanus Charcot Marie Tooth disease
English

@drabdulhameed07 @IhabFathiSulima Sirenomelia
Indonesia


@drabdulhameed07 Liver with gall bladder
English

@Doctors_GUILD Exclude pyloric stenosis, particularly in a male baby
Română

@DrAkhilX Wener progeria syndrome
English

@ChShafiullah15 Gorlin syndrome
English


























