
Hospital Santa Marta Cardiology
29 posts

Hospital Santa Marta Cardiology
@HSMarta_Cardio
Official account for the Department of Cardiology , Hospital de Santa Marta 🫀🇵🇹









A rare adenosine insensitive supraventricular tachycardia: Duodromic atrioventricular reentry tachycardia ow.ly/tNgy50YqPXP #EHJCaseReports @Phiso_de @TJ_Yeo @aayshacader @BoldiKovacsMD @SukritiBanthiya @ANazmiCalik @O_Azizy_MD @saramoscatelli7 @EHJCREiC #CardioX

🫀 First-in-human valve-in-valve TAVI in mechanical prostheses Bench-to-bedside study: disc dislodgement & retrieval followed by successful TAVI. Published in European Heart Journal. 👉 academic.oup.com/eurheartj/adva… @escardio @PCRonline @secardiologia @CNIC_CARDIO @sacyl @TCTMD













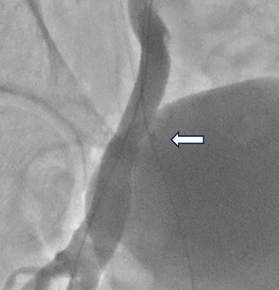
Happy to share our latest paper "Angiographic Characterization and Sex‐Related Anatomical Differences of Atrial Coronary Arteries Anatomy—A Proposal of Systematic Classification" Kudos to the great @Miguel_MAntunes and the rest of the team onlinelibrary.wiley.com/doi/10.1002/cc…





CSP after Krakow has been a success! Continuous monitoring of COI and QRS patterns has been a game changer to monitor lead progression. (1) Pt with new onset LBBB and cAVB after TAVR with successful LBBP; (2) HBP with beautiful physiological QRS (note the retrograde P waves).















