
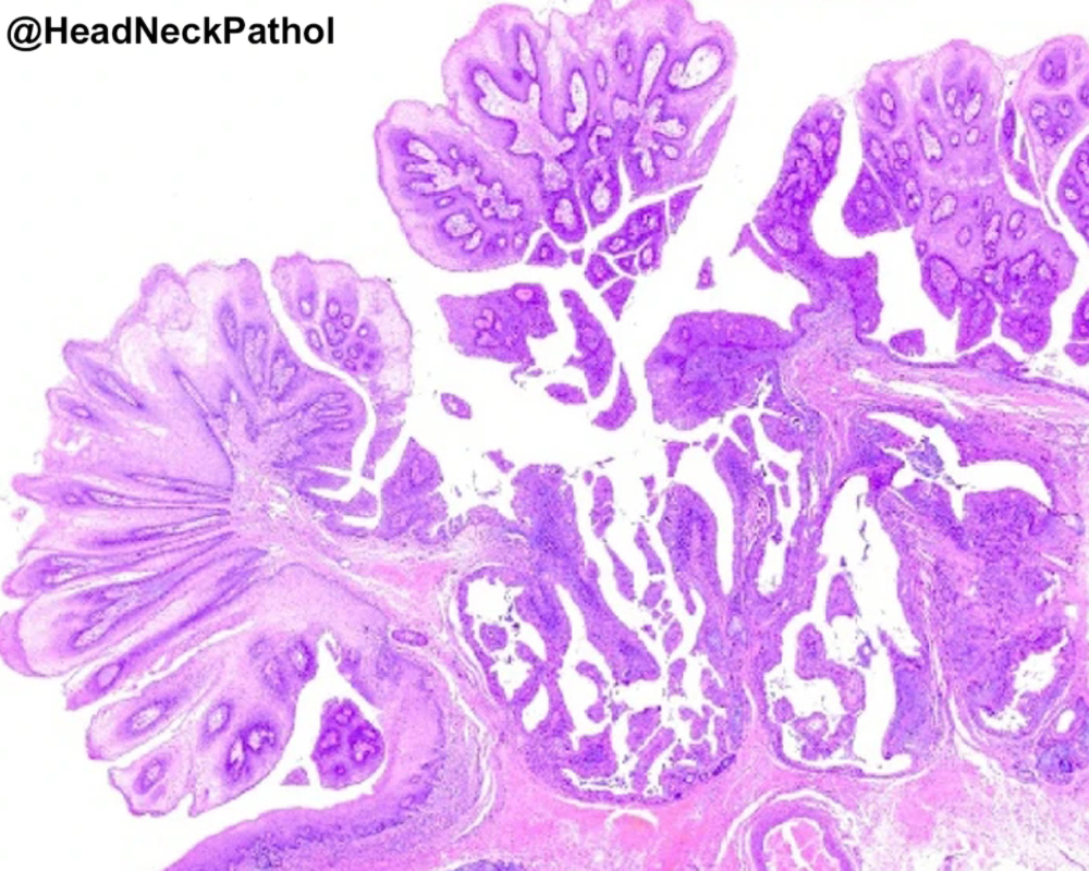
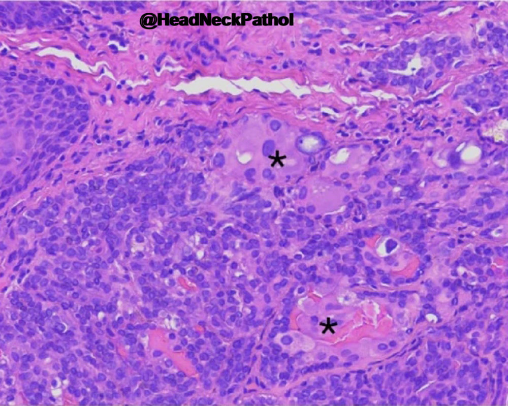
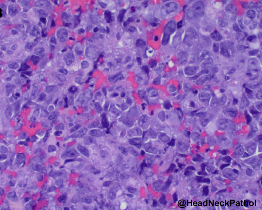
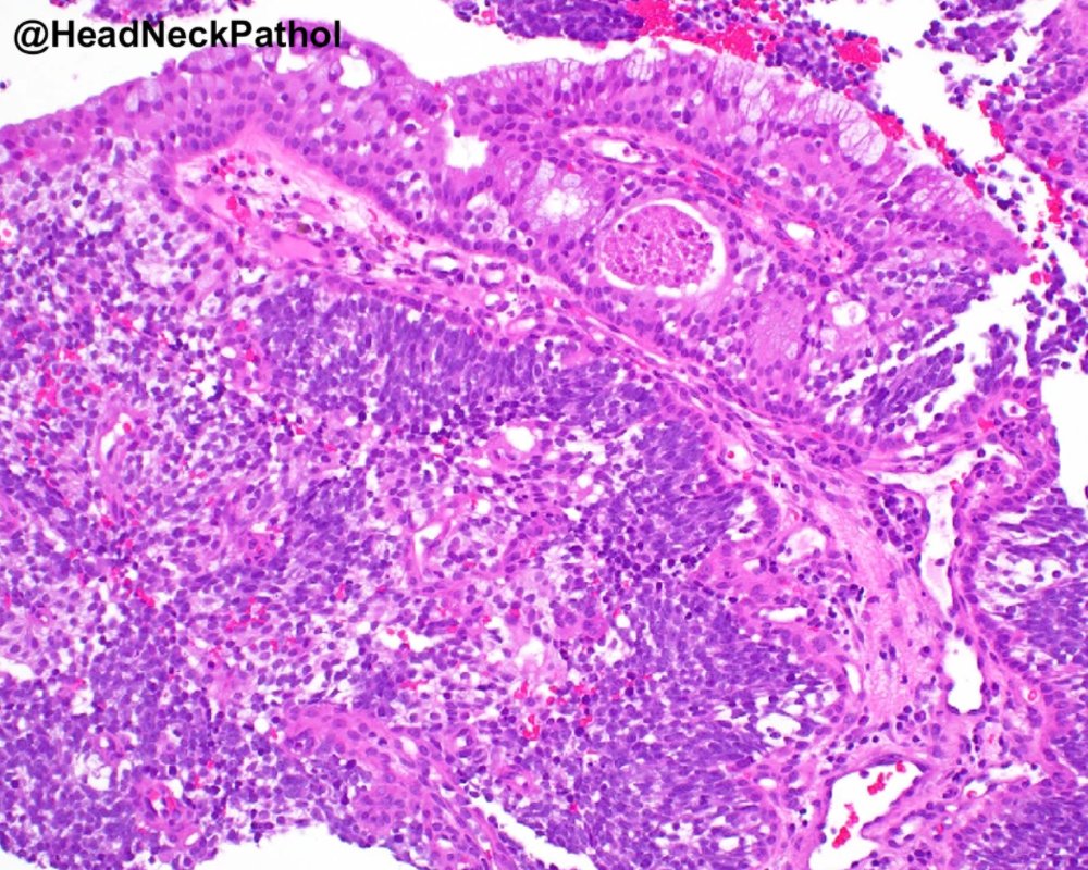
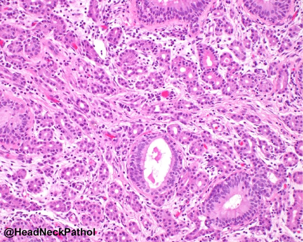
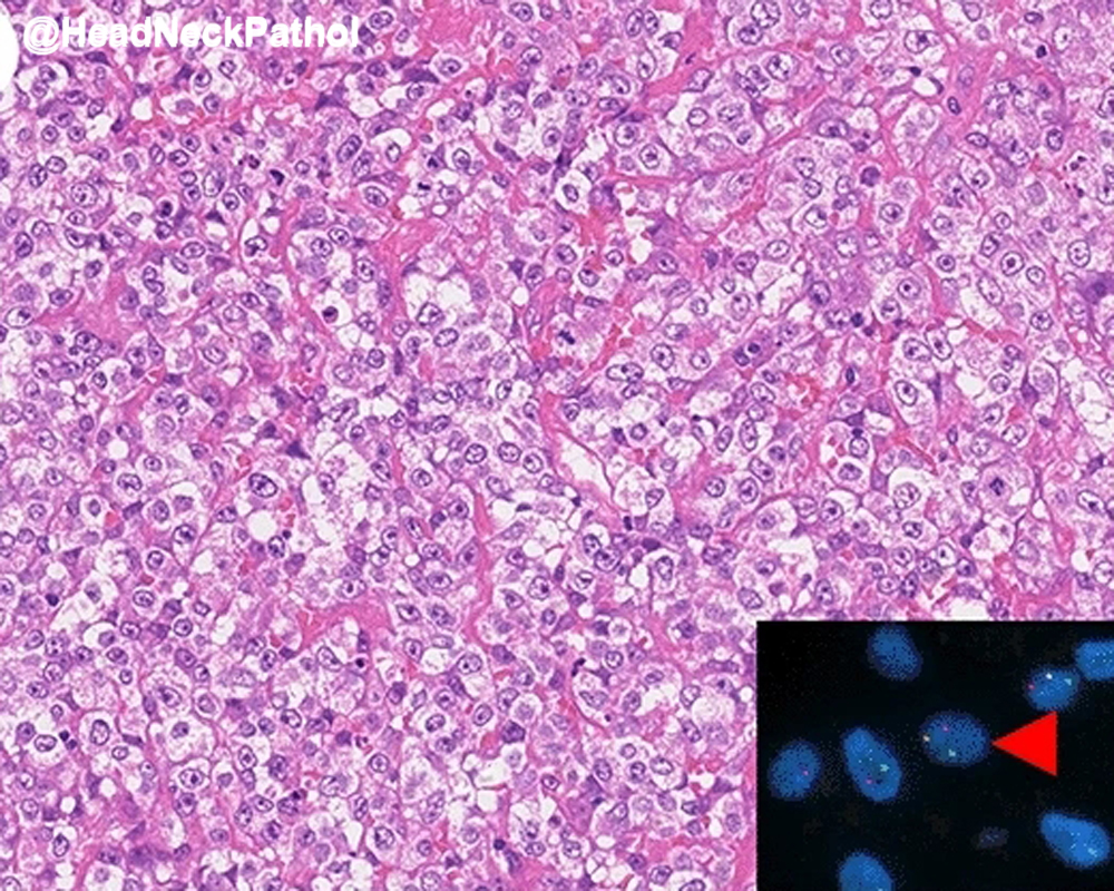
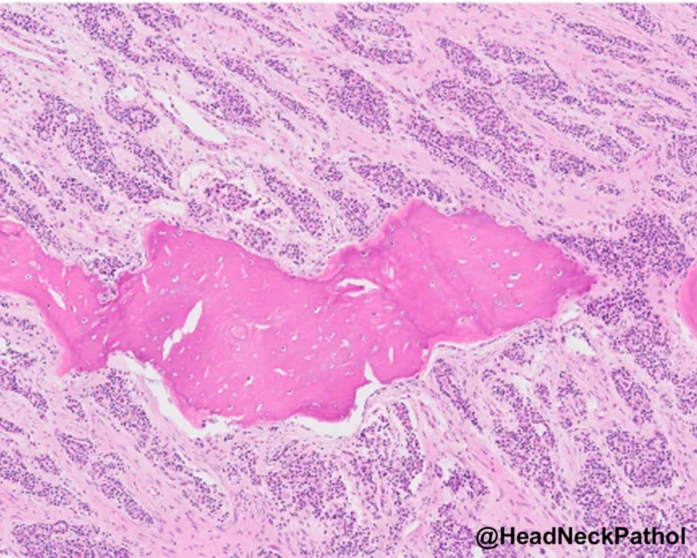
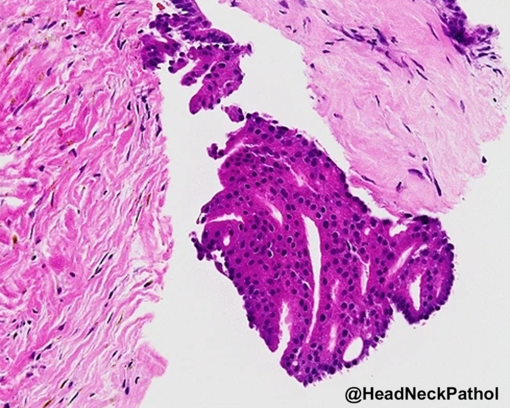
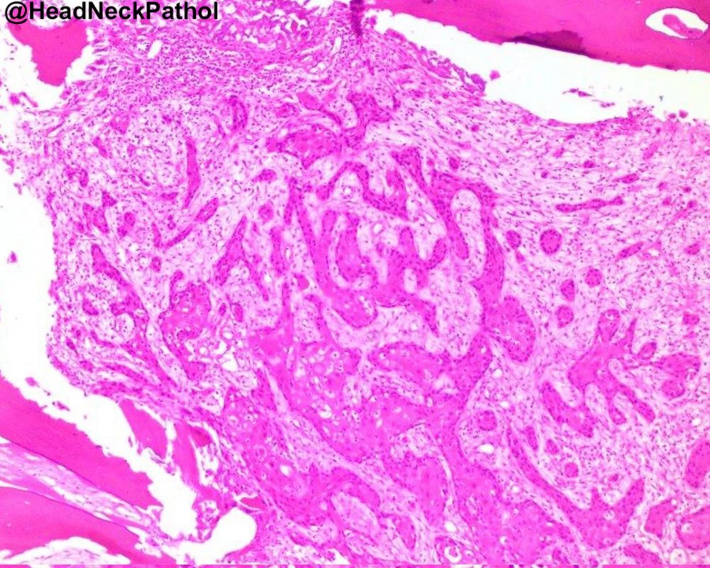
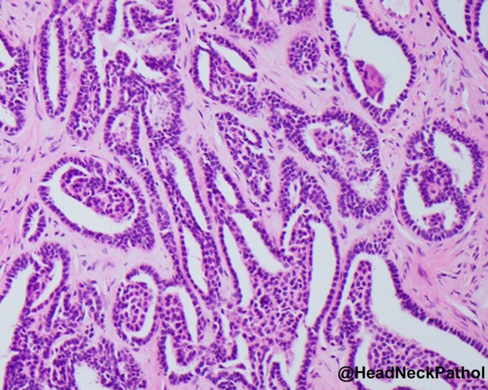
Characterization of CD8 + & CD68 + Microenvironment & PDL1 Expression in HPV-related Multiphenotypic Sinonasal Carcinoma
Silva de Araújo, Gonçalves de Paiva, Lima Fernandes, et al.
rdcu.be/fdSnq
#HeadNeckPathol #HNPJ #HeadandNeckPath #Pathology #ENTPath #PathologyTweet



Română









































