Sabitlenmiş Tweet

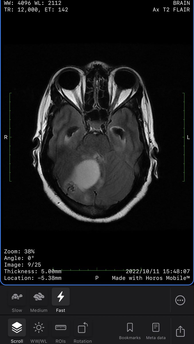
Radiology at your fingertips
Amazing photorealistic 3D renders with #horosmobile on Apple Silicon
#apple #MacBookPro #dicom #medicalimaging #radiology #ct #icatsolutions #norwich
apple.com/healthcare/pro…

Norwich, England 🇬🇧 English




















