Int Soc Dermpath

2K posts

Int Soc Dermpath banner
Int Soc Dermpath

Int Soc Dermpath

@IntSocDermpath

Half Moon Bay, CA Katılım Kasım 2016
863 Takip Edilen2.6K Takipçiler
Int Soc Dermpath
Int Soc Dermpath@IntSocDermpath·
1st European Joint Meeting of the International Society of Dermatopathology #ISDP #dermatopathology Dr. Kempf on CD8 lymphoproliferative disorders
Int Soc Dermpath tweet media
English
0
5
27
1.6K
Int Soc Dermpath
Int Soc Dermpath@IntSocDermpath·
1st European Joint Meeting of the International Society of Dermatopathology an European Society of Pathology starts today in Vienna. First talk is by Dr. Fraitag #ISDP #dermatopathology
Int Soc Dermpath tweet media
English
1
4
20
1.5K
Int Soc Dermpath
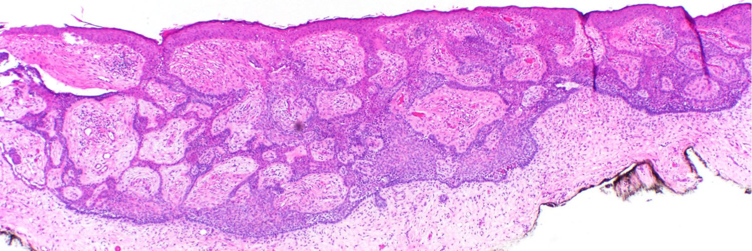
Int Soc Dermpath@IntSocDermpath·
#ISDP #Olympics Spot diagnosis Case 20 - @JCandidoXavier CHROMOBLASTOMYCOSIS •Pigmented (dematiaceous) fungi •Prominent pseudoepitheliomatous hyperplasia •Granulomatous infiltrates with round brownish Medlar bodies resembling copper pennies or coffee beans #path #derm
Int Soc Dermpath tweet media
English
0
11
33
1.6K
Int Soc Dermpath
Int Soc Dermpath@IntSocDermpath·
#ISDP #Olympics Spot diagnosis Case 19 - @JoyceSSLee SEBACEOUS CARCINOMA • Periocular (75%) • Basophilic germinative sebaceous cells • Sebocytes with vacuolated cytoplasm • Nuclear pleomorphism • Increased and atypical mitoses • Necrosis #Path #derm #pathology
Int Soc Dermpath tweet mediaInt Soc Dermpath tweet mediaInt Soc Dermpath tweet mediaInt Soc Dermpath tweet media
English
2
11
36
1.8K
Int Soc Dermpath
Int Soc Dermpath@IntSocDermpath·
#ISDP #OlympicGames Spot diagnosis Case 18 - @JCandidoXavier SYRINGOCYSTADENOMA PAPILLIFERUM •It can occur in naevus sebaceus of Jadassohn •Endophytic crateriform lesion •Two layers of cells forming papillary and cystic structures • Numerous plasma cells #path #derm
Int Soc Dermpath tweet mediaInt Soc Dermpath tweet mediaInt Soc Dermpath tweet media
English
0
5
22
911
Int Soc Dermpath
Int Soc Dermpath@IntSocDermpath·
#ISDP #OlympicGames Spot diagnosis Case 17 - @JoyceSSLee CUTANEOUS ROSAI DORFMAN DISEASE •Non-Langerhans cell histiocytosis •Large histiocytes exhibiting emperipolesis (containing inflammatory cells) •CD68+, S100+, CD1a- •Lymphoplasmacytic infiltrate #Path #derm
Int Soc Dermpath tweet mediaInt Soc Dermpath tweet mediaInt Soc Dermpath tweet mediaInt Soc Dermpath tweet media
English
0
12
29
1K
Int Soc Dermpath
Int Soc Dermpath@IntSocDermpath·
#ISDP #OlympicGames Spot diagnosis Case 15 - @JoyceSSLee PLEVA: •Parakeratosis •Apoptotic keratinocytes •Basal vacuolar alteration •Dermal and intraepidermal hemorrhage •Wedge-shaped lymphohistiocytic infiltrate •+/- Lymphocytic vasculitis #derm #path #pathology
Int Soc Dermpath tweet mediaInt Soc Dermpath tweet mediaInt Soc Dermpath tweet mediaInt Soc Dermpath tweet media
Română
0
5
16
889
Int Soc Dermpath
Int Soc Dermpath@IntSocDermpath·
#ISDP #OlympicGames Spot diagnosis Case 13 - @JoyceSSLee ONYCHOMATRICOMA •Thickened nail plate •Wormwood-like or honeycomb-like cavities •Papillary digitate projections covered by matrix epithelium •V-shaped keratogenouszones •Fibrocellular stroma #path #dermatology
Int Soc Dermpath tweet mediaInt Soc Dermpath tweet media
English
2
6
18
772
Int Soc Dermpath
Int Soc Dermpath@IntSocDermpath·
#ISDP #OlympicGames Spot diagnosis Case 12 - @JCandidoXavier LANGERHANS CELL HISTIOCYTOSIS • Round/ovoid medium-sized cells with indented, lobulated or coffee-bean nuclei. • Abundant and eosinophilic cytoplasm •IHQ markers: CD1a, Langerin and S100 protein #derm #path
Int Soc Dermpath tweet mediaInt Soc Dermpath tweet mediaInt Soc Dermpath tweet media
English
1
0
9
428
Int Soc Dermpath
Int Soc Dermpath@IntSocDermpath·
#ISDP #Olympics Spot diagnosis Case 11 - @JoyceSSLee NECROBIOTIC XANTHOGRANULOMA •Areas of necrobiosis •Xanthogranulomatousinflammation (foamy histiocytes, Touton giant cells) •Cholesterol clefts •Large, bizarre angulated giant cells with many nuclei #PathTwitter #derm
Int Soc Dermpath tweet mediaInt Soc Dermpath tweet mediaInt Soc Dermpath tweet media
Română
1
0
12
956
Int Soc Dermpath
Int Soc Dermpath@IntSocDermpath·
#ISDP #Olympics Spot diagnosis Case 10 - @JCandidoXavier PSEUDOXANTHOMA ELASTICUM • degenerative disease of elastic tissue • autosomal dominant • Elastic fibers are basophilic and irregular, appearing as widely dispersed granular material. #Path #dermpath #derm
Int Soc Dermpath tweet mediaInt Soc Dermpath tweet mediaInt Soc Dermpath tweet media
Română
0
3
12
536
Int Soc Dermpath
Int Soc Dermpath@IntSocDermpath·
#ISDP #Olympics2024 Spot diagnosis Case 9 - @JoyceSSLee NECROTIZING INFUNDIBULAR CRYSTALLINE FOLLICULITIS •Folliculocentric crater •Eosinophilic filamentous material •Material likely derived from Malassezia yeasts, bacteria, and/or sebaceous lipids #path #dermatology
Int Soc Dermpath tweet mediaInt Soc Dermpath tweet media
English
1
10
31
2.1K