

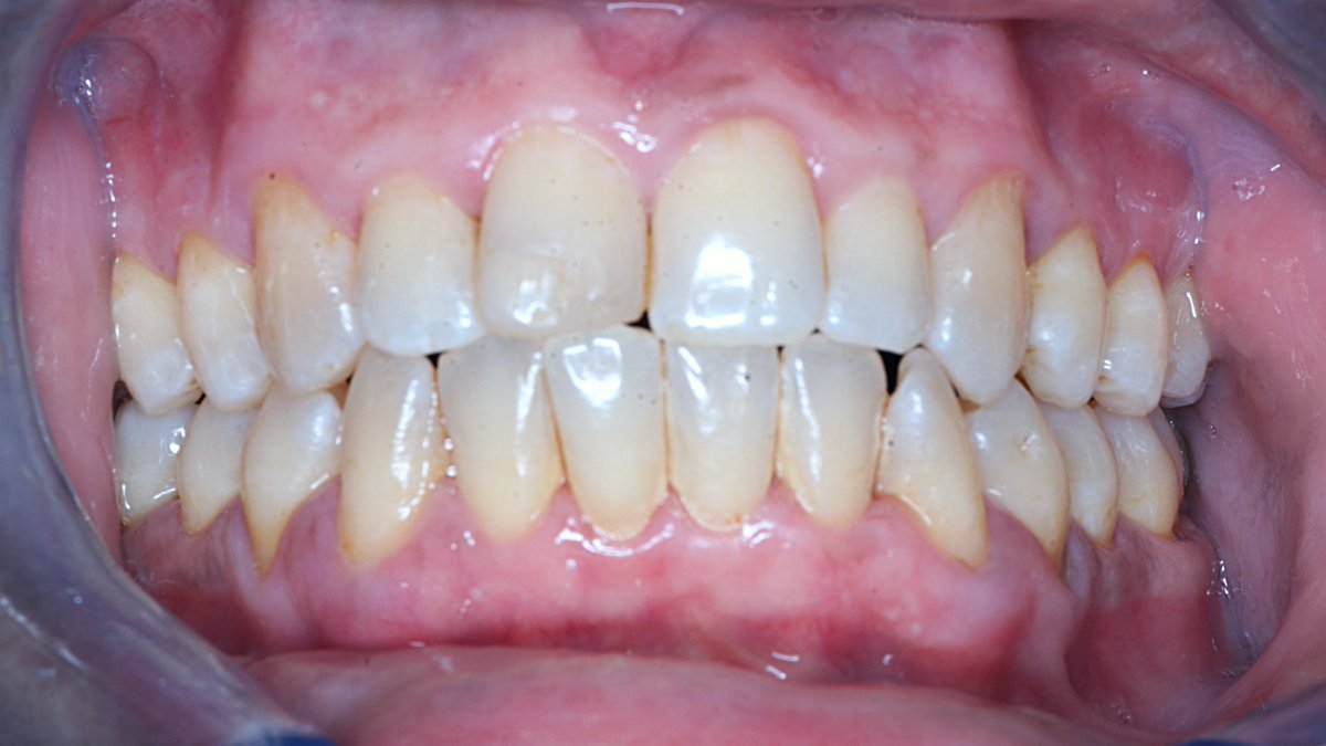
إجراء بسيط غير إبتسامه المريض 👏🏾❤️ ALT
Bader Abdullah
77 posts

@Ionlyb11
DMD Student | President of Student club at @KSAU_DSA | Batch leader | Passionate learner | HWPO


إجراء بسيط غير إبتسامه المريض 👏🏾❤️ ALT


يسرّنا أن نبارك للمقبولين في منافسات مؤتمر التخصصات الصحية العاشر، متمنّين لهم تجربة علمية ثرية ومثمرة إشعارات القبول بانتظاركم الآن في البريد الإلكتروني؛ متمنّين للمقبولين التوفيق في منافسات المؤتمر👏🏻✨ بإرادةٍ تصنع التغيير، وطموح يلامس عنان السماء… تبدأ رحلة التميز!🌟 #نبحث_لصحة_الإنسان #HPCX #كاساو


تزامنا مع الترشيحات للفرص القيادية، يسعدنا الإعلان عن جلسة "رحلة القيادة ونقل الخبرات"🎙️✨. رحلة ملهمة لاكتشاف واقع التجربة القيادية، وفهم تحدياتها، واستلهام الدروس التي تصنع الفارق في مسيرتك. نسعد بتقديم هذه الجلسة الحوارية مع: نخبة من قادة وقائدات هذا العام صُممت الجلسة لتمنحك رؤية واقعية عن العمل القيادي، وتساعدك على الاستعداد بثقة للترشّح للمناصب القيادية العام القادم، وبناء وعي قيادي ناضج يصنع أثرًا حقيقيًا. ما ينتظرك في نهاية الجلسة: 🏆 شهادة حضور 📲 ختم رقمي 🔗 سجّل الآن: forms.office.com/r/TzjuLnf74J #الأكاديمية_الطلابية #كاساو







لا لا ولا شيء بس المس قررت تسحب الاجهزة حقتنا ☺️




