Isa
463 posts

Isa
@IsaRCaamano
Neurointerventional radiology 🧠 💜🌈🥦 Hospital Germans Trias i Pujol
Barcelona Katılım Kasım 2012
243 Takip Edilen1.2K Takipçiler

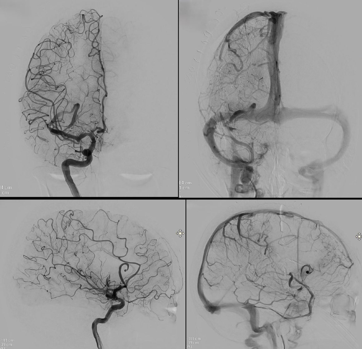
Distal M2 occlusion NiHSS 10. Complete recanalization using RED43 (@penumbrainc) aspiration catheter. NIHSS 2 at 24h.


English
Isa retweetledi

Magníficas presentaciones y posterior debate acerca del manejo del hematoma subdural crónico y de la trombosis venosa, con las doctoras I. Bermúdez, I. Rodríguez Caamaño, y los doctores N. Romero, G. Dolz y P. Videla #neurorradiologia #neurointervencionismo #SENR_SILAN_2025

Español

Gracias al comité científico y organizadores de la SILAN2025 por invitarme a participar como ponente . Ha sido un placer compartir con tantos expertos en el campo del neurointervencionismo
#silan2025 #hospitalgermanstriasipujol
#neurointerventional @CarlosC74716941


Español
Isa retweetledi

Mycotic (infectious) cerebral aneurysm (CA) resulting from infection of the arterial wall secondary to bacterial endocarditis. Represent < 5% of all CA
We treated it with endovascular glue (NBCA) embolization, complete closure, no deficit
@Sremollo
@IsaRCaamano
Rosa García Sort




English

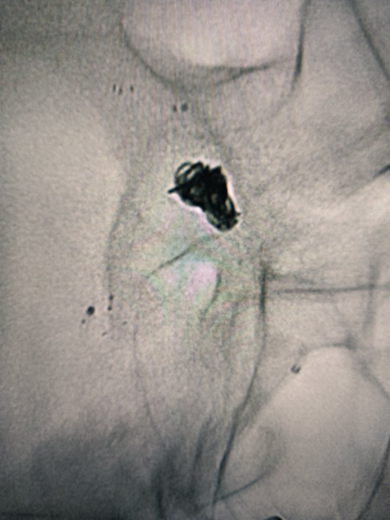
Thrombous at the tip of the iNstroke catheter @CARDIVAGROUP @iVascularGlobal and ICA stenting.


English

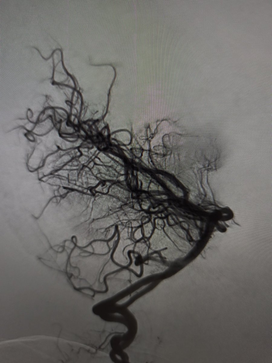
Stroke due to left tandem occlusion After crossing the ICA occlusion direct aspiration using nobel 4F iNstroke catheter @iVascularGlobal @CARDIVAGROUP was performed wirh complete recanalization Finally ICA stenting was performed with Wallstent @bostonmedical NIHSS 1 at discharge




English
Isa retweetledi

To clip or to embolize? All ruptured aneurysms treated in Germany from 2013-2022 show the following:
🔹 Higher annual volume centers provide lower mortality and better outcomes
🔹 Endovascular treatment showed better functional outcomes, shorter hospital stays,
less intensive care, and lower costs compared to clipping
🔹 Mortality rates for EVT have remained stable over time, but have increased for clipping
bit.ly/4mQ7qol #Endovascular #Aneurysm #Subarachnoid #Hemorrhage #Clip

English
Isa retweetledi

Ruptured cerebral arteriovenous malformation (#AVM), S&M grade IV
#Embolization + #Surgery
Complete Removal !!
Great team !!
Dr. Alberto Blanco (NSG)
Dr. Raquel Alcaraz (AN)
Dr. Raquel Tolos (AN)
Dr. Nerea Joshua (Neurophysiol)
@Sremollo
@IsaRCaamano
Rosa García-Sort (INR Nurse)




Română

@jomajop @PenumbraEMEA Individulizamos según paciente/clínica (la experiencia con el estudio DISTAL) en circulación anterior ha sido +/- pero mi sensación ha sido mejor con la aspiración (menos complicaciones). Aunque también siento que es más operador dependiente.
Español

@IsaRCaamano @PenumbraEMEA ¿Qué clínica tenía? ¿Tenéis buena experiencia con oclusiones posteriores distales?
Español

Distal occlusion in right PCA recanalized using 3Max (@PenumbraEMEA). In my opinion aspiration should be the first option in distal occlusions (let's wait for randomized trials stent versus aspiration in DMVOs).



English

Acute ischemic stroke due to tandem occlusion (Left ICA+MCA) treated with direct aspiration and carotid accute stenting with the nobel balloon guiding catheter Emboguard (#cerenovus #J&J) with complete recanalization.
See how the guiding catheter navigates till petrous segment.




English

Patient with SHA due to AcomA aneurysm treated previously with remodelling and recanalized. Retreatment with Y stenting using Pegasus @phenox_neuro and coils @BaltSpain with complete clousure.
See below 3D post treatment.




English

Carotid-cavernous fistula (Barrow D) treated transvenously with intercavernous sinus catheterization and doble arterial access for control series (radial and femoral).
#neurointervention @WomenInNeuroIR
#neuroradiology




English

Some cases radial access should be the first option! Complete recanalization in 3 minutes with ADAPT technique.
#radialfirst #neurointerventional #womaninneurointervention




English

@IsaRCaamano Do you take the long sheath over a diagnostic catheter or with you use the sheath dilator ?
English

@IsaRCaamano Do you take the long sheath over terumo wire ( or you use a stiff wire ) ?
English




