
Jessica Wilcox, MD
26 posts

Jessica Wilcox, MD
@JessicaWilcoxMD
Assistant Attending Neuro-Oncologist @sloan_kettering | Focus on CNS metastases | Views are my own






Congratulations to Dr. Yasmin Khakoo, the Editor-in-Chief-designate of the journal "Pediatric Neurology"! This important print voice of our field is in outstanding hands! Thanks to current Editor, Dr. Steve Roach, for many years of exceptional leadership!

















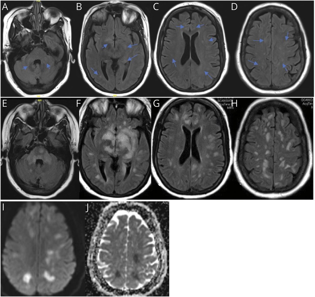
We have found that patients with neurologic manifestations of #COVID19 have inflammatory cytokines in their CSF, at levels approaching that of CAR T cell neurotoxicity. What’s more, this can be detected weeks after the acute infection. Role for steroids? mskcc.org/news/msk-resea…





We have found that patients with neurologic manifestations of #COVID19 have inflammatory cytokines in their CSF, at levels approaching that of CAR T cell neurotoxicity. What’s more, this can be detected weeks after the acute infection. Role for steroids? mskcc.org/news/msk-resea…

