Sabitlenmiş Tweet
Jet Patterson
16 posts

Jet Patterson
@JetPattersonMD
UTSW Med-Peds ‘19, Rheum Fellow ‘23 & IM Chief ‘24 || Adolescent/Young Adult Transitions of Care || Medical Ethics/Humanities ||
Dallas, TX Katılım Kasım 2022
65 Takip Edilen64 Takipçiler

Working hard (we promise! 😉) again today as your rising @UTSWIMchief s at #AIMW24 @UTSWInternalMed @sharlenedong

English

The rising @UTSWIMchief ‘s are already hard at work for you! Smiling at you live from the #AIMW24 Chief Resident meeting 😊@sharlenedong

English
Jet Patterson retweetledi

Fellows and faculty @UTSWRheum taking a moment to enjoy this historic eclipse @AllieB_MD @BlairSolowMD @JetPattersonMD @defoe_melissa @LesleyDavila

Dallas, TX 🇺🇸 English
Jet Patterson retweetledi

Solar eclipse in Dallas- truly a special place to be!
Photo credit: rheum fellow @JetPattersonMD’s talented husband, Gareth Patterson

Dallas, TX 🇺🇸 English
Jet Patterson retweetledi

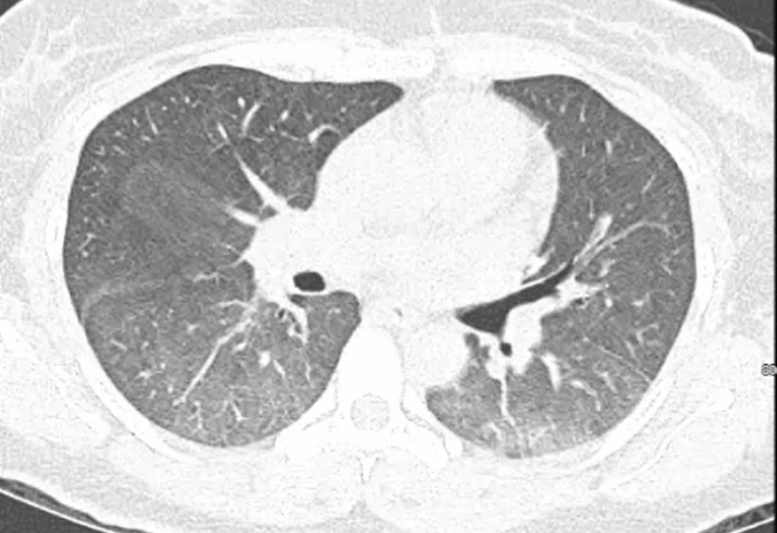
Be aware of rapidly progressive ILD in pts w/high titer MDA5+ &⬆️ferritin. This patient had a clear CXR, but CT showed GGO. The patient decompensated w/in weeks. 2023 ACR guidelines for ILD Rx: assets.contentstack.io/v3/assets/blte…
#dermatomyositis #RheumDermGR @JetPattersonMD @BrookeS_Mills




English

“What we do should be meaningful & also fun.” In the latest episode of ACR Journals on Air, @UnaMakris shares pearls of wisdom her mentor, Dr. Liana Fraenkel, gave to her as she started her career in #rheum. Listen → acrjournalsonair.org @ACR_Journals
English
Jet Patterson retweetledi

Congratulations to @JetPattersonMD on graduating #utswimmedpedsresidency! She will be staying here for a fellowship with @UTSWRheum. @thomasjwang1 #utswimresidency

English
Jet Patterson retweetledi

🚨2024-2025 Chief Residents alert!!🚨 So proud of this amazing group of physician leaders! We're incredibly fortunate to have you at UTSW IM & can't wait to see everything you'll accomplish🤩✨💙 @sharlenedong @MartinezZayasMd @JetPattersonMD @DinoKazi @dhjutsw1 @thomasjwang1



English
Jet Patterson retweetledi

Excited to share the 1st paper of the International cSLE T2T Task Force, setting out a framework for T2T in cSLE. With fantastic teamwork and strong patient involvement I am confident we will achieve our goals and improve outcomes for cSLE! ard.bmj.com/content/annrhe…

English
Jet Patterson retweetledi

Can’t believe I lucked into working with @dhjutsw1 for a 2nd time! He’s always serving up medical wisdom (and fresh post-call doughnuts). Seeing Dr. @bkyalwazi in action is just inspiring, and we had two stellar students. The Seldin spirit is strong! 💪🏻
English

@UTSWRheum @UnaMakris @DrDavidKarp @BlairSolowMD @SwathiReddyMD @_Castillo_Pedro @ACRheum So thankful for the opportunity to continue my training with you all!
English

We are excited to welcome our new fellows next year! #RheumTwitter #Match2023
@UnaMakris @DrDavidKarp @BlairSolowMD @SwathiReddyMD @_Castillo_Pedro @ACRheum

English
Jet Patterson retweetledi

Join us in congratulating our categorical residents, physician-scientists, chief residents, and former residents who deferred fellowship training on successfully matching in their chosen subspecialties! @thomasjwang1 @DinoKazi @UTSWNews

English
Jet Patterson retweetledi
Jet Patterson retweetledi

The future of #rheumatology is bright. Proud of our @UTSWInternalMed and @UTSW_medpeds residents 👏🏻 @DinoKazi @UTSWIMchief @SwathiReddyMD @Guiller56155834 #ACR22
Aradhna-Agarwal@AradhnaAgarwal
Last day of #ACR22! Excited to be back and to present two posters!
English








