
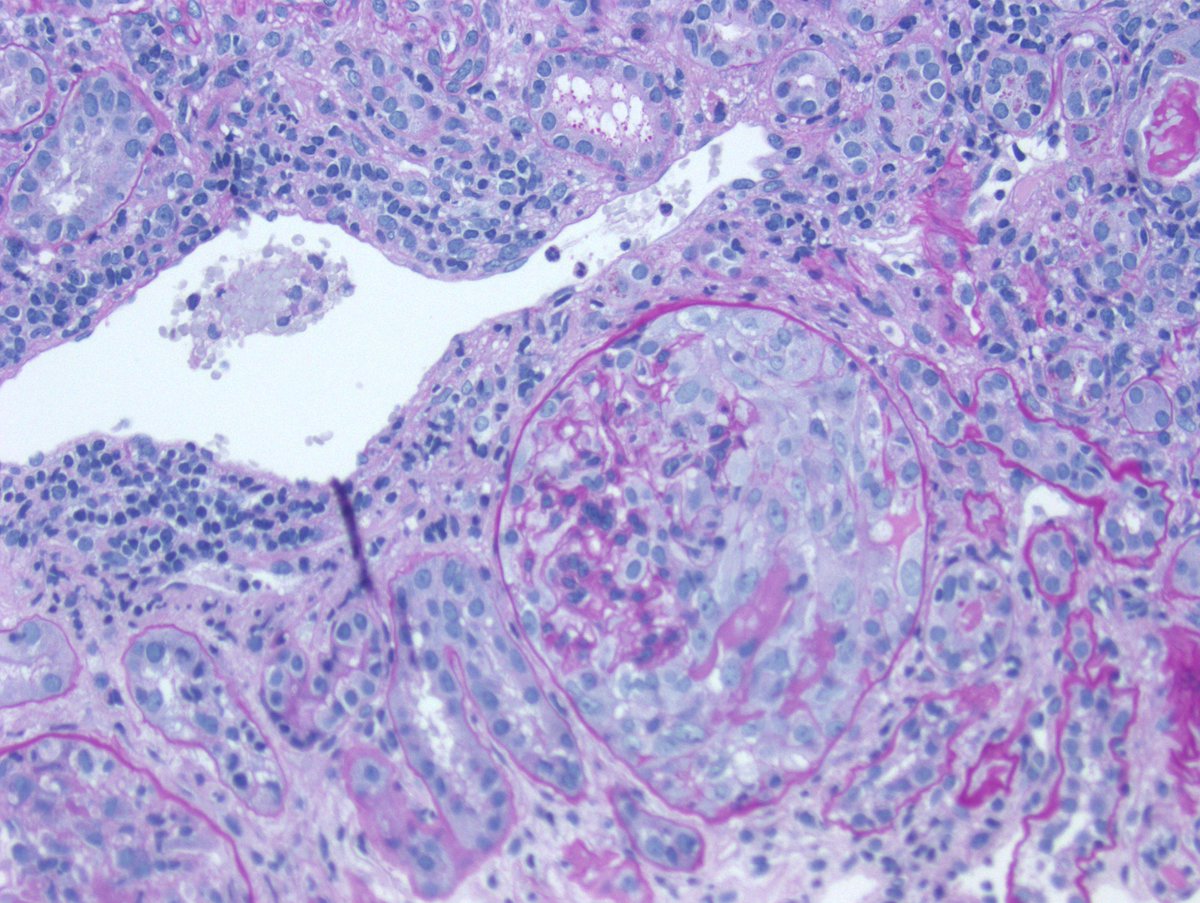
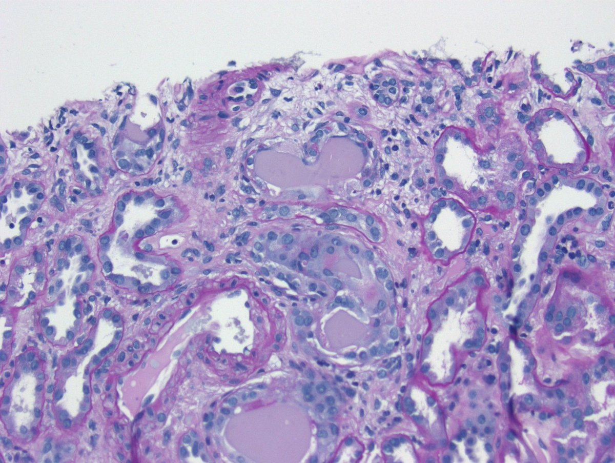
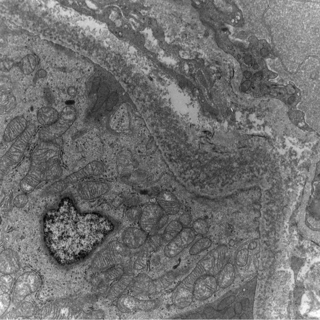
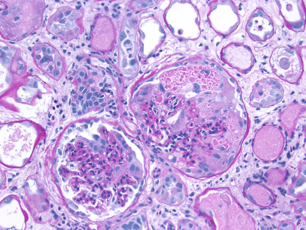
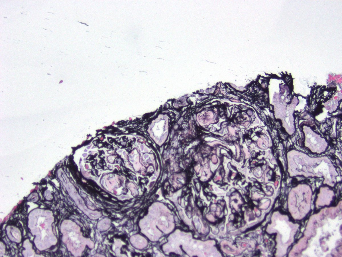
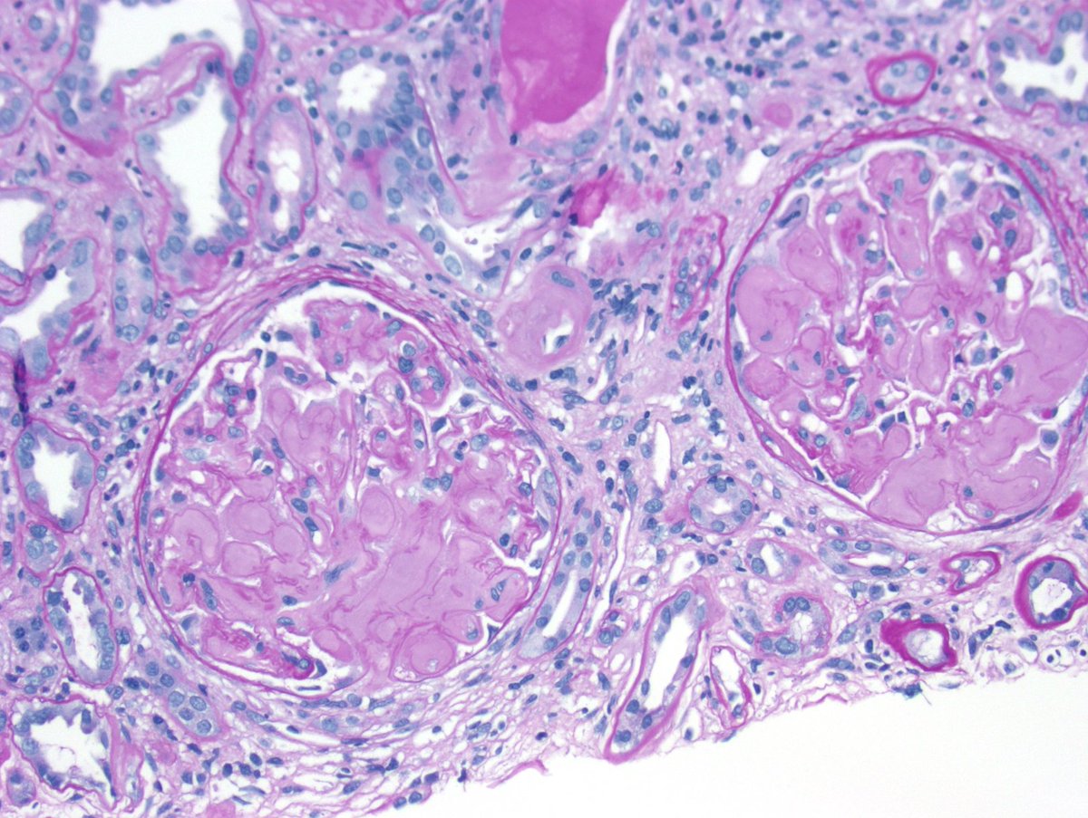
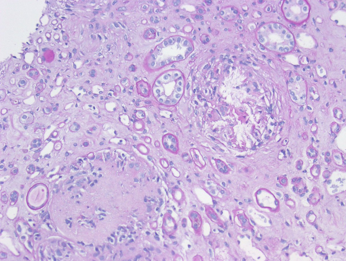
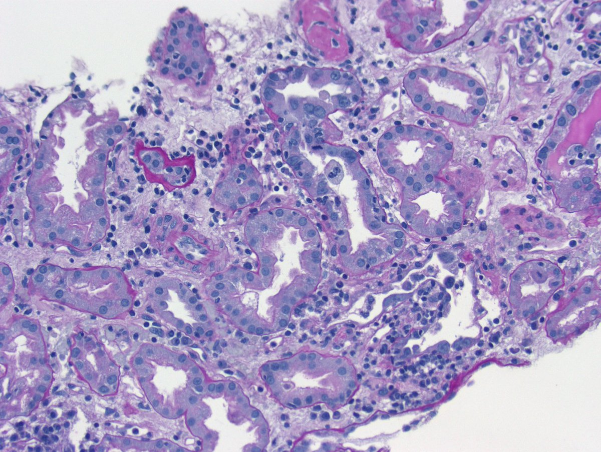
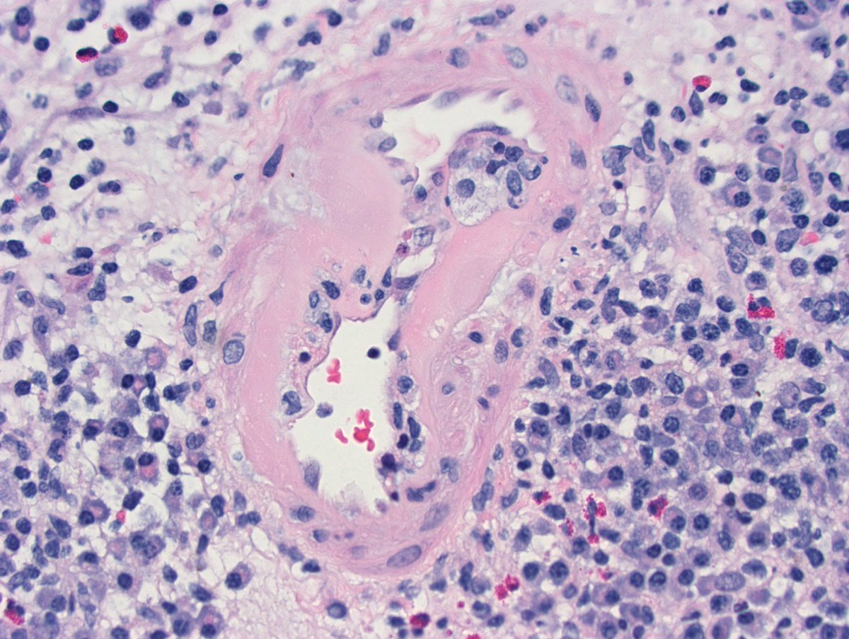
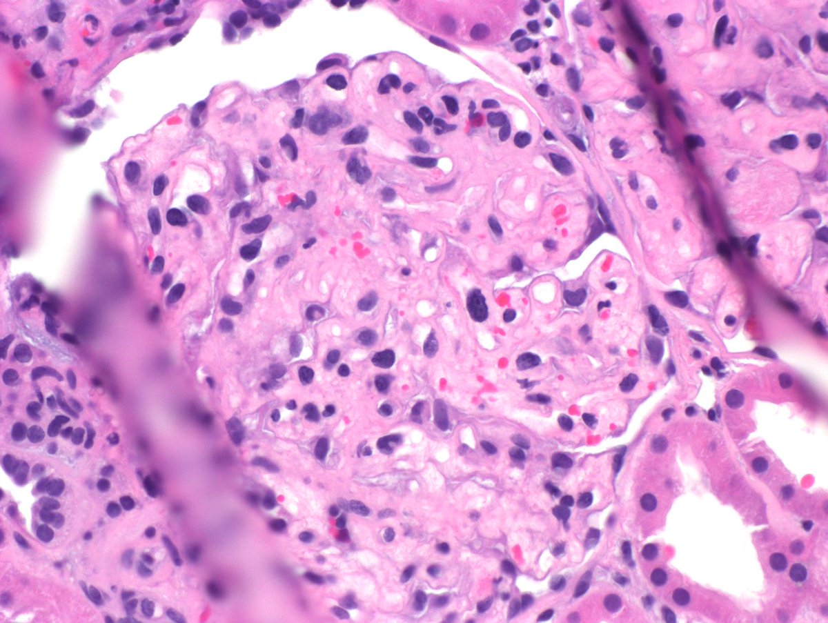
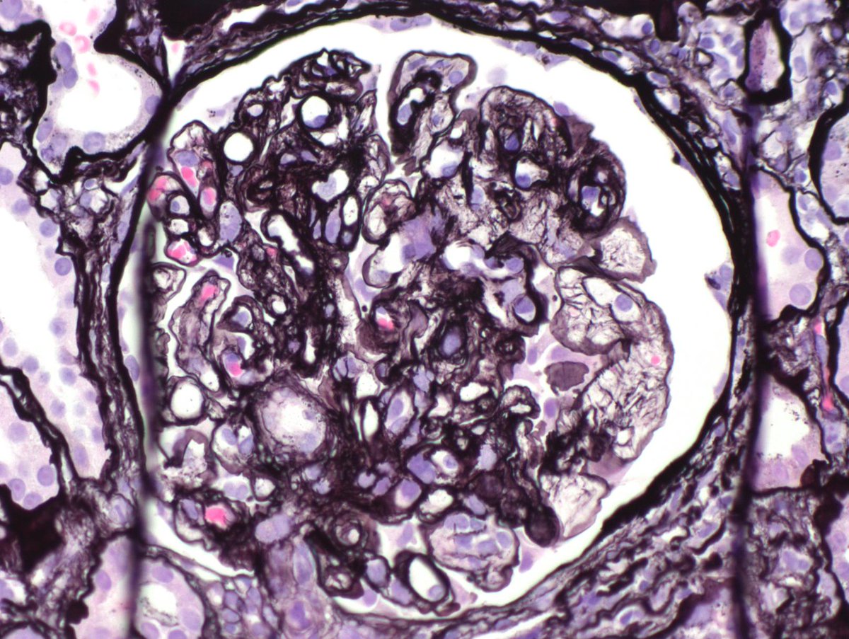
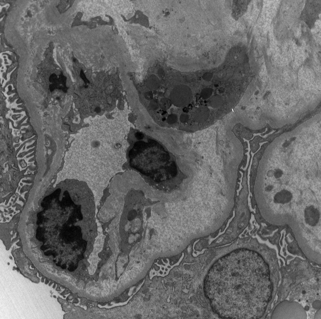
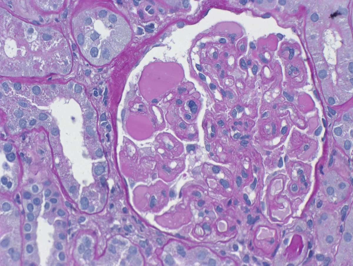
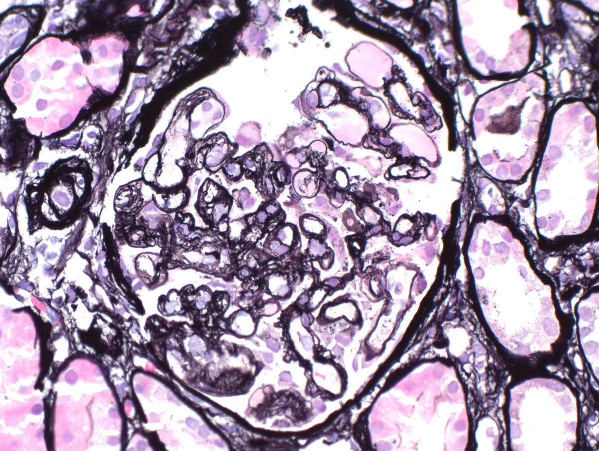
Long weekend often brings urgent cases. Here is one that was STATed, ended up showing anti-GBM GN. Diffuse crescents (nearly 100%). Linear IgG. #RenalPath



English
Kuang-Yu Jen, MD, PhD
132 posts

@KidneyPath
Professor, Department of Pathology, Director of Renal Pathology, UC Davis Medical Center, @UCDPath, @UCDavisHealth, #RenalPath


































































