
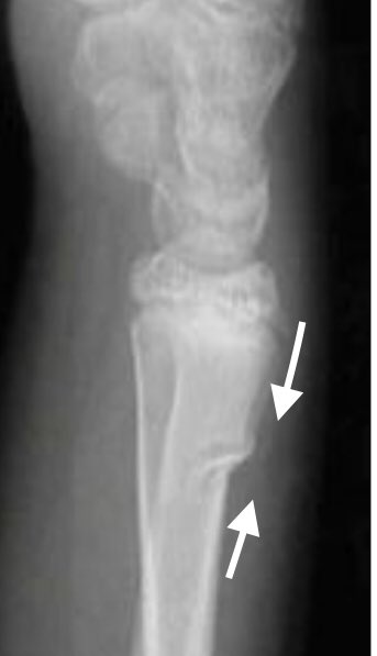
A Buckle (or Torus) fracture of the distal radius in a child - failure in compression of the dorsal cortex - a stable common injury : @AOUKEd @KidsRbh #forcetrial
Reading Kids Ortho Team
43 posts

@KidsRbh
‘Making Good for Life’ A team of Trauma & Orthopaedic Consultant Surgeons, physios and Specialist Nurses looking after the kids of Reading and surrounding area.

A Buckle (or Torus) fracture of the distal radius in a child - failure in compression of the dorsal cortex - a stable common injury : @AOUKEd @KidsRbh #forcetrial












As well as treating adult knee conditions, both @mrnevdavies & @rdadodds have a specialist interest in Children’s Orthopaedics & Trauma. Accessory Navicular Bone is one of the conditions we treat. There is lots of helpful information on our website. buff.ly/2NRpOvN #RHKU










