Sabitlenmiş Tweet

💡All articles in Frontiers in Bioscience-Landmark (ISSN: 2768-6698)--Volume 31, Issue 2--, are now freely available to access, read and download: imrpress.com/journal/FBL/31…
The editorial team has selected some featured articles for you—inviting all readers to explore and share!
Featured Article:
1️⃣ #Ferroptosis Induction is Insufficient to Ensure #NKCell Activation in High-Grade Ovarian Cancer: imrpress.com/journal/FBL/31…
2️⃣Prevalence and Molecular Characterization of #βLactamase and Quinolone Resistance Genes in Imipenem-Non-Susceptible Uropathogenic Escherichia coli (#UPEC) Isolates: imrpress.com/journal/FBL/31…
3️⃣ #NeonatalHyperoxia Induces #MetabolicReprogramming in Senescent #AlveolarMacrophages, Leading to Persistent #LungInjury: imrpress.com/journal/FBL/31…
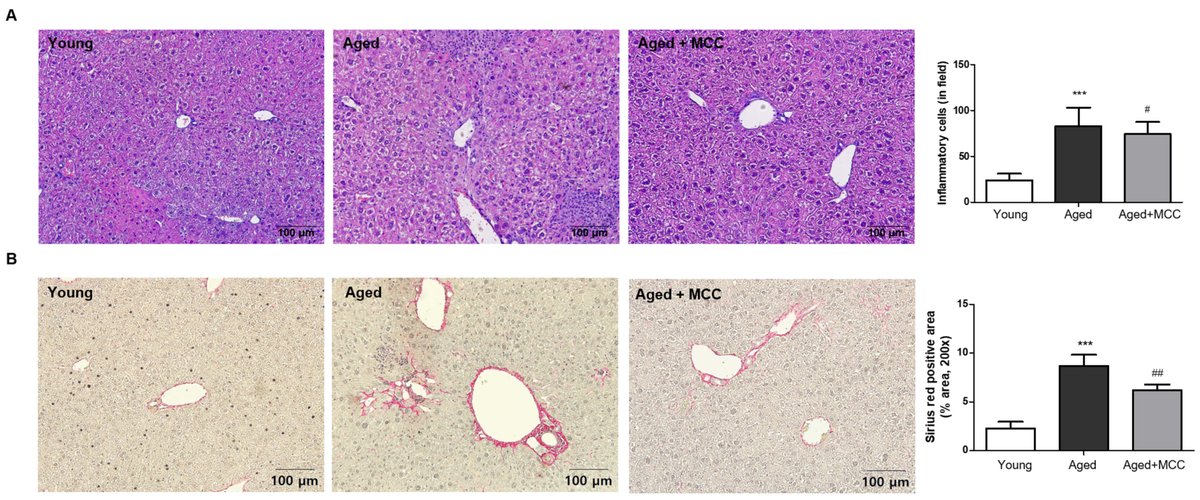
4️⃣ #MCC950 Suppresses Hepatic Inflammaging by Inhibiting #NLRP3Inflammasome Activation in Spontaneously #AgedMice: imrpress.com/journal/FBL/31…
Share your research with us! Submit your work: imr.propub.com
FBL is dedicated to the publication of original articles, reviews, methods and commentaries in all areas of cellular and molecular biology.
📖 Click here for author guidelines: imrpress.com/journal/FBL/pa…
#HighGradeOvarianCancer #CancerImmunology #LiverHealth #UrinaryTractInfection #CellularBiology #MolecularBiology #FBL

English

































