Luay sayed
521 posts

Luay sayed
@LuaySayed
interventional cardiology, Vascular interventions. Director cath lab at Troy Beaumont Hospital
Bloomfield Hills, MI Katılım Nisan 2018
168 Takip Edilen756 Takipçiler

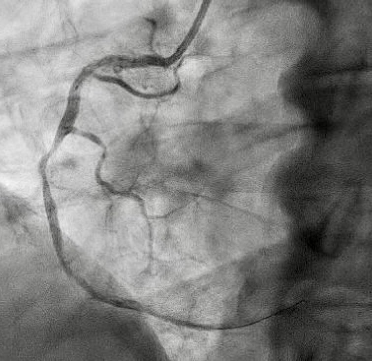
@amin_mulji @ramymandoMD @IvanHansonMD @amrabbasmd @BeaumontIC @BeaumontCards @Babar_Basir @CMichaelGibson @NalassaadNihad @ANbilolikar @OliviaMAllenDO Moderate LAD stenosis. Medical tx despite the significant “ angiographic “ shunt his R heart data and echo do not suggest clinically significant shunting.
English

@LuaySayed @ramymandoMD @IvanHansonMD @amrabbasmd @BeaumontIC @BeaumontCards @Babar_Basir @CMichaelGibson @NalassaadNihad @ANbilolikar @OliviaMAllenDO Wow is it emptying in the CS? How does the LCA appear? How are planning to treat? Thx for sharing.
English

1/2 71M presents e UTI syncope fever EKG e Inf stemi but no cp hs trop 570. ST⬆️ resolves in ER cath day 3. #cardiotwitter @ekgpdx @RajTayal2
@heartdoc45 @DrAmirKaki
#ACCFIT @HadyLichaaMD @DrJayMohan
@chadialraies @BaoGTran @AKassier @raatassi @ShariqShamimMD @trivaxheartmd
English

@DrJayMohan It was checked twice so I’m hoping you can provide the answer 😊
English

Biggest fistula I’ve seen! How can the RA sat only be 60%????
Luay sayed@LuaySayed
1/2 71M presents e UTI syncope fever EKG e Inf stemi but no cp hs trop 570. ST⬆️ resolves in ER cath day 3. #cardiotwitter @ekgpdx @RajTayal2 @heartdoc45 @DrAmirKaki #ACCFIT @HadyLichaaMD @DrJayMohan @chadialraies @BaoGTran @AKassier @raatassi @ShariqShamimMD @trivaxheartmd
Sterling Heights, MI 🇺🇸 English

@yasirjawaid888 @ekgpdx @RajTayal2 @heartdoc45 @DrAmirKaki @HadyLichaaMD @DrJayMohan @chadialraies @BaoGTran @AKassier @raatassi @ShariqShamimMD @trivaxheartmd It’s 5f JR4 at RA/ CS junction
English

@amrabbasmd @ramymandoMD @IvanHansonMD @BeaumontIC @BeaumontCards @Babar_Basir @CMichaelGibson @NalassaadNihad @ANbilolikar So how do you explain the inferior ST elevation And troponin bump when he was dehydrated with relatively lower blood pressure? Just slower coronary flow in that huge artery ?
English

@LuaySayed @ramymandoMD @IvanHansonMD @BeaumontIC @BeaumontCards @Babar_Basir @CMichaelGibson @NalassaadNihad @ANbilolikar Nice case
You may not have shunt detected in coronary RA fistula due to dilution of minimal coronary flow compared to systemic flow and unless you sample at the mouth of fistula. If PA sat is normal, then there is no shunt, if elevated, then fistula mouth in RA wasn’t sampled.
English

@amrabbasmd @ramymandoMD @IvanHansonMD @BeaumontIC @BeaumontCards @Babar_Basir @CMichaelGibson @NalassaadNihad @ANbilolikar Oh that makes sense. The sampling was at the CS/ RA junction not exactly at the month of the fistula. What you’re saying about coronary flow makes sense but it’s just hard to imagine that that big of a fistula does not cause much shunting
English

@HoumanKhalili @Wisam_Alhumam @ramymandoMD @IvanHansonMD @amrabbasmd @BeaumontIC @BeaumontCards @Babar_Basir @CMichaelGibson @NalassaadNihad @ANbilolikar Mid RA was 61 SVC 62. Repeated and rechecked twice
English

@LuaySayed @Wisam_Alhumam @ramymandoMD @IvanHansonMD @amrabbasmd @BeaumontIC @BeaumontCards @Babar_Basir @CMichaelGibson @NalassaadNihad @ANbilolikar What was SVC sat?
English

@Wisam_Alhumam @ramymandoMD @IvanHansonMD @amrabbasmd @BeaumontIC @BeaumontCards @Babar_Basir @CMichaelGibson @NalassaadNihad @ANbilolikar It did not detect a shunt
English

@LuaySayed @ramymandoMD @IvanHansonMD @amrabbasmd @BeaumontIC @BeaumontCards @Babar_Basir @CMichaelGibson @NalassaadNihad @ANbilolikar What was QP/QS?
English

@LuaySayed @ramymandoMD @IvanHansonMD @amrabbasmd @BeaumontIC @BeaumontCards @Babar_Basir @CMichaelGibson @NalassaadNihad @ANbilolikar I wonder if there is persistent left cs too..
Can we see ecg, my question is what caused syncope?
And how would you approach this anatomy ?
Great case
English

@raatassi @ramymandoMD @IvanHansonMD @amrabbasmd @BeaumontIC @BeaumontCards @Babar_Basir @CMichaelGibson @NalassaadNihad @ANbilolikar Planning CTA as OP to better understand. I’m still puzzled by the lack of high RA sat and significant RV dilation with the amount of “ contrast shunt”
English

@raatassi @ramymandoMD @IvanHansonMD @amrabbasmd @BeaumontIC @BeaumontCards @Babar_Basir @CMichaelGibson @NalassaadNihad @ANbilolikar Yes I put a swan from R Fem. When RA sat didn’t make sense to me I put a wire to prove the connection RCA- RA is real.
He was initially septic dehydrated which I think caused near syncope. That’s why I waited on cath 3 days. In addition has persistent A fib on warf INR > 9
English

@LuaySayed @ramymandoMD @IvanHansonMD @amrabbasmd @BeaumontIC @BeaumontCards @Babar_Basir @CMichaelGibson @NalassaadNihad @ANbilolikar Is it rca - cs- ra?
And the wire from Dr femoral v: is it to prove the cs?
English

2/2 large RCA-RA /CS fistula. AO 90/63 PA 53/15. O2% RA 61 PA 65 AO 96. How do you explain RA sat( I expected 80s) and normal RV size? @ramymandoMD @IvanHansonMD @amrabbasmd @BeaumontIC @BeaumontCards @Babar_Basir @CMichaelGibson @NalassaadNihad @ANbilolikar
English

@raatassi It’s interesting that even with ultrasound guided access they still had 6% accidental arterial access. That’s still very high number
English

Ultrasound-Guided Venous Axillary Access Versus Standard Fluoroscopic Technique for Cardiac Lead Implantation: ZEROFLUOROAXI Randomized Trial | JACC: Clinical Electrophysiology jacc.org/doi/abs/10.101…
English

@agtruesdell @ShariqShamimMD Good job and Thanks for sharing … I would be concerned about Balloon expandable stent in the brachial. I think high risk of external compression and deformity. Have you done this before ?
English

@ShariqShamimMD Duplex surveillance for now. Very short 8mm DES: and inflated to 5mm…
English

1/2 #StentLoss Acute Inferior MI: complicated by incessant VF⚡️and pt movement. Culprit proximal RCA thrombotic occlusion: with severe diffuse underlying dz. Distal-to-ostial IVUS-guided 👁️ PCI/DES: but…final (short) ostial stent mis-deployed. Recaptured over new balloon🎈and…




English

@raatassi @RajTayal2 @heartdoc45 @DrAmirKaki @HadyLichaaMD @DrJayMohan @chadialraies @BaoGTran @AKassier @dr_rothschild @ramymandoMD @ShariqShamimMD Yes will do both 👍
English

@LuaySayed @RajTayal2 @heartdoc45 @DrAmirKaki @HadyLichaaMD @DrJayMohan @chadialraies @BaoGTran @AKassier @dr_rothschild @ramymandoMD @ShariqShamimMD What about the loop? Most of TIAs are AFib related.
English

50 yo healthy TIA 3 month ago - WU no fever just had TEE looks like small myxoma. Anticoagulate vs OR? #cardiotwitter @RajTayal2
@heartdoc45 @DrAmirKaki
#ACCFIT @HadyLichaaMD @DrJayMohan
@chadialraies @BaoGTran @AKassier @dr_rothschild @raatassi @ramymandoMD @ShariqShamimMD
English

@raatassi @RajTayal2 @heartdoc45 @DrAmirKaki @HadyLichaaMD @DrJayMohan @chadialraies @BaoGTran @AKassier @dr_rothschild @ramymandoMD @ShariqShamimMD I like that idea . Clinically it’s very unlikely to be an infection. I started him on xarelto will see if it looks different on repeat TEE in few months
English

@LuaySayed @RajTayal2 @heartdoc45 @DrAmirKaki @HadyLichaaMD @DrJayMohan @chadialraies @BaoGTran @AKassier @dr_rothschild @ramymandoMD @ShariqShamimMD If no other explanation for the thromboembolic event, how about noacs, implantable loop, repeat tee in 3-6 months?
English



