Mohammed Alhazzaa
1.4K posts

Mohammed Alhazzaa
@MFHazza
- Dentist - Amateur Boxer 🥊 BDS,PGDip
Katılım Ağustos 2011
223 Takip Edilen703 Takipçiler
Mohammed Alhazzaa retweetledi

اللهم اجعلني نافعاً منتفعاً، وأداةً للخير حيثما كنت
الحمدلله الرغبة الاولى والوحيدة 🙏🏼
#matching2025


العربية

@Waf098 ماشاء الله ألف ألف مبروك ياحبيبي تستاهل والله يا وافي 🎊❤️
العربية

اللهم لك الحمد كله، ولك الشكر كله، وإليك يرجع الأمر كله علانيته وسره،
بفضل من الله وكرمه ، تم قبولي في برنامج البورد السعودي لإكمال الدراسات العليا في تخصص طب جذور وعصب الأسنان 🔬🤍
اللهم اجعلها بداية خير ووفقني لما تحب وترضى.
#matching2025

العربية

الحمدلله حمداً كثيراً..
بفضل الله تم قبولي بتخصص تقويم الأسنان وعظام الوجه والفكين.
أسأل الله التوفيق والسداد والتمام 🤍🤍
#matching2025

العربية

الحمدلله الذي بنعمته تتم الصالحات.
تخرّجت بفضل الله من برنامج الماجستير في الإدارة (MIM) من كلية الأمير محمد بن سلمان للإدارة وريادة الأعمال مع التركيز على Helthcare wellbeing.
@mbsckaec
رحلة غنية بالتجارب والدروس، ولله الحمد على التمام.
.The best yet to come




العربية


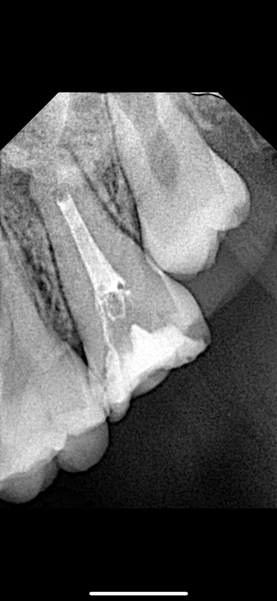
@MFHazza تبارك الرحمن هذي من الحالات اللي تسعد ، بارك الله في علمك وعملك❤️
العربية


@MFHazza @Mohammed1soo @HrbiHaneen @Dr_abubakr1 @mutaz_alj @Khalid_6dent ماشاء الله تبارك الله تسلم يدينك دكتور 👍🏻
العربية

@Dr_abubakr1 @Mohammed1soo @HrbiHaneen @mutaz_alj @Khalid_6dent @amallllll775 الله يسلمك دكتورنا 🙏 ، تعتمد على الحاله بس هنا استخدمت راوند بير وحبيت تكون minimal عشان عليها كران
العربية

@MFHazza @Mohammed1soo @HrbiHaneen @mutaz_alj @Khalid_6dent @amallllll775 تسلم يدك د محمد 🌹،
سؤل
deroofing ايش الاشياء اللي تفيدك فيه ؟
العربية

@mohedsu @Mohammed1soo @HrbiHaneen @Dr_abubakr1 @mutaz_alj @Khalid_6dent @amallllll775 الله يسلمك من بعدك 🙏
العربية

@MFHazza @Mohammed1soo @HrbiHaneen @Dr_abubakr1 @mutaz_alj @Khalid_6dent @amallllll775 فنان ماشاء الله 🤩🔥
العربية


















