Sabitlenmiş Tweet
Metilfenidato se salió del grupo .
37.8K posts

Metilfenidato se salió del grupo .
@MIPserable
Homonormado 🏳️🌈 Muy hater.
Locus coeruleus Katılım Eylül 2010
2.2K Takip Edilen8.9K Takipçiler
Metilfenidato se salió del grupo . retweetledi

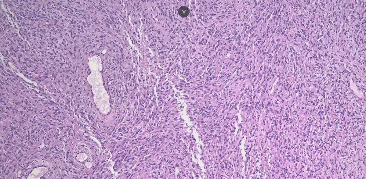
Pitfall ⚠️ Peripheral Nerve Sheath Tumors
Schwannomas can show CD34 positivity, especially in Antoni B regions.
This staining pattern may lead to overdiagnosis of hybrid nerve sheath tumors.
Dr. Dehner #USCAP2026 #pathology #PathX #PathTwitter



English
Metilfenidato se salió del grupo . retweetledi

🗞️| NEW! Deadline just confirmed tv show "The Wheel Of Time" was picked up by @AppleTV after Amazon Prime's cancellation in may, 2025 deadline.com/2025/05/the-wh…

English
Metilfenidato se salió del grupo . retweetledi
Metilfenidato se salió del grupo . retweetledi
Metilfenidato se salió del grupo . retweetledi

Here is Version 2.0 of when to hold systemic tx during RT. Updated & w 3 additional drug categories (ADCs, CDK4/6 inhibitors, PARPi).
More details on newer drugs in 🧵 below.
Please use this version as reference & thanks for all input/experience crowdsourcing! (1/3)

Dr. Nina Niu Sanford@NiuSanford
Someone suggested I make a table summarizing the video. Here it is!
English
Metilfenidato se salió del grupo . retweetledi
Metilfenidato se salió del grupo . retweetledi
Metilfenidato se salió del grupo . retweetledi

CDK 4/6 inhibitors in metastatic ca breast - current standard of care in HR+ MBC
Partnered with AI & fulvestrant - trial data
PALOMAs, MONALEESAs & MONARCHs!
Ribo stands tall 👑
#breast #cancer #oncology #bcsm #onctwitter

English
Metilfenidato se salió del grupo . retweetledi

Consensus recomendations for peripheral nerve sheath tumors arising in the setting of Neurofibromatosis Type 1
Dr. Dehner #USCAP2026 #pathology #PathX #pathtwitter


English
Metilfenidato se salió del grupo . retweetledi

Case of Pseudoangiomatous Stromal Hyperplasia (PASH) 🔬
A benign stromal proliferation with interanastomosing slit-like spaces lined by myofibroblasts—typically positive for CD34 and negative for desmin.
#PathX #PathTwitter #breastpath

English
Metilfenidato se salió del grupo . retweetledi
Metilfenidato se salió del grupo . retweetledi
Metilfenidato se salió del grupo . retweetledi
Metilfenidato se salió del grupo . retweetledi

Some differences between Molluscum contagiosum and myrmecia wart #molluscum #dermpath #pathology #skinpathology #pathologyresidency #pathologyresidents #pathologist -#pathologists #pathological #warts #myrmecia #molluscumcontagiosum #morphology #viral #virus #pathtwitter

English
Metilfenidato se salió del grupo . retweetledi

A practical paper exploring the value of renal mass biosy for diagnosing oncocytic neoplasms of the kidney. The authors show good concordance with the histology of resections / repeat biopsies and note the potential impact of changing classifications. onlinelibrary.wiley.com/doi/10.1111/hi…
English
Metilfenidato se salió del grupo . retweetledi

🧬 Bispecific ADC breaks new ground in #NSCLC
Phase Ib study of #Izalontamab #brengitecan (EGFR/HER3 ADC) in genomically driven NSCLC beyond classical EGFR mutations shows promising activity.
● N=83 patients with actionable alterations
● ORR 46.2% | DCR 85.9%
● EGFR exon20/non-classical: ORR 69.2%
● HER2-mut: ORR 52.9%
● mPFS: 7.0 months
⚠️ Hematologic toxicity common but manageable
🚀 A potential new option in a highly unmet population
🔗 ascopubs.org/doi/abs/10.120…
@JCO_ASCO @ASCO
@BalazsHalmosMD @dplanchard @DrJNaidoo @JulienMazieres @RManochakian @herbloong @LaurenMachos @LeXiuning @g_mountzios @ManuelDomine @SuyogCancer @UOzkerim @Latinamd
#NSCLC #LCSM #ThoracicOncology #PrecisionOncology #ADC #OncoTwitter

English
Metilfenidato se salió del grupo . retweetledi
Metilfenidato se salió del grupo . retweetledi















