Marcos A. P. Borges, MD 🇧🇷
6.6K posts

Marcos A. P. Borges, MD 🇧🇷
@MarcosAPBorges2
Vascular Ultrasonography - Author - Angiology and Vascular Surgery - Vascular Access for Hemodialysis Surgeon
Brasília-DF, Brazil Katılım Mayıs 2017
2.3K Takip Edilen782 Takipçiler

Rest in peace Professor Ido Weinberg.
We will miss you very much!
mailchi.mp/vascularmed/64…
😔🙌💎

English
Marcos A. P. Borges, MD 🇧🇷 retweetledi

Misleading Morphology: Histological Diagnosis Reveals Atherosclerotic Plaque Mimicking Carotid Web | Stroke: Vascular and Interventional Neurology ahajournals.org/doi/10.1161/SV… @svinsociety @SVINJournal @StrokeAHA_ASA

English

Troisier's sign (Charles Émile Troisier in 1889) = Virchow's sign (nodule) (in 1848) = metastatic L supraclavicular lymph node of a malignant tumor.
- Most common:
1. Gastric adenocarcinoma: 50 to 70%…
6. Breast cancer (L): (rare) < 3% (patient's case).
#vascularultrasound


Français
Marcos A. P. Borges, MD 🇧🇷 retweetledi

Online First! Nicolaides and colleagues assess the impact of carotid bifurcation plaques (< 50% stenosis) and concomitant common femoral plaques on 10-year risk of atherosclerotic cardiovascular events.
🔗 DOI: 10.1177/1358863X251358270
#Atherosclerosis #CarotidStenosis

English

Incidental findings of anatomical variation.
A tortuous posterior tibial artery: exceedingly rare -> can compress the posterior tibial nerve and cause symptoms.
Problematic during surgery, imaging, and interventional procedures.
#vascularultrasound
📸 2:
share.google/oBNGXISfVAnq1a…


English
Marcos A. P. Borges, MD 🇧🇷 retweetledi

A great reference for lymph node assessment which helps standardized ultrasound terminology and measurements for lymph nodes. This provides clear guidance on describing size, shape, cortex, hilum, and vascularity.
obgyn.onlinelibrary.wiley.com/doi/10.1002/uo…

English

@heatherlgornik We don't know yet! Waiting for the core biopsy result. 🙌
English

Solid cervical tumor surrounding the right common carotid artery, displacing it from its usual path.
#vascularultrasound
#d=gs_qabs&t=1758718318873&u=%23p%3DDlrIoT-VwDcJ" target="_blank" rel="nofollow noopener">scholar.google.com/scholar?hl=pt-…



English
Marcos A. P. Borges, MD 🇧🇷 retweetledi

NEW Focused update of the 2019 #ESCGuidelines on #dyslipidaemias : ow.ly/l2tb50WNYMa
#lipids #riskfactors #cvprev

English

Who hasn't thought, at least once, that they've lost something infinite while wandering through a sunset or trying to reshape a past day in their mind?
Jorge Luis Borges 🇦🇷.
#botd August 24, 1899.

English

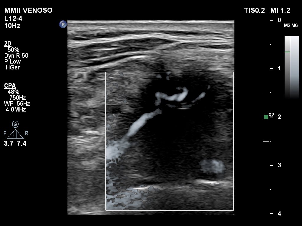
Atypical incompetent perfurating vein:
• posterior in the middle calf (21 cm from the ground).
• UIP name: intergemellar perfurating vein, 3.4.3.
share.google/rEHnAQcTG0CUvl…
#vascularultrasound


English
Marcos A. P. Borges, MD 🇧🇷 retweetledi

Marcos A. P. Borges, MD 🇧🇷 retweetledi
Marcos A. P. Borges, MD 🇧🇷 retweetledi

As summer approaches, are you looking to start a #LittleFreeLibrary? Our kits make it super easy to get your own book-sharing box going! See just how easy as we break down the materials needed and the simple steps for assembly. lflib.org/kit-build

English

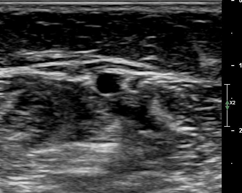
Dilated left intergemellar vein with reflux
(P.S.: The small saphenous vein was atrophic).
#vascularultrasound
search.app/FxHCR55PZqL95L…


English

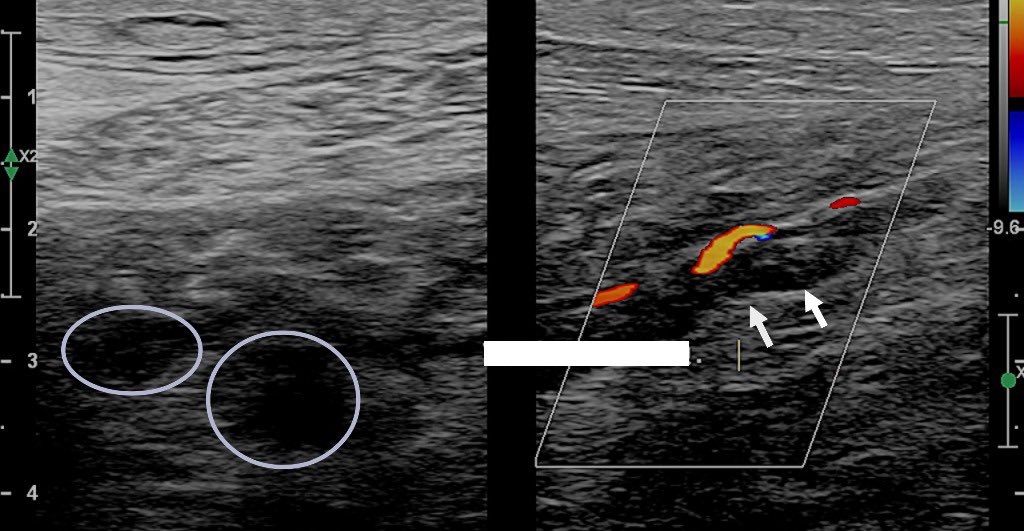
Thromboinflammatory pathways of 🐍 envenoming (bothrops):
•Acute occlusive DVT in veins of the solear plexus: transverse (⚪️) and longitudinal (↖️).
•doi.org/10.3390/ijms24…
#vascularultrasound


English
Marcos A. P. Borges, MD 🇧🇷 retweetledi

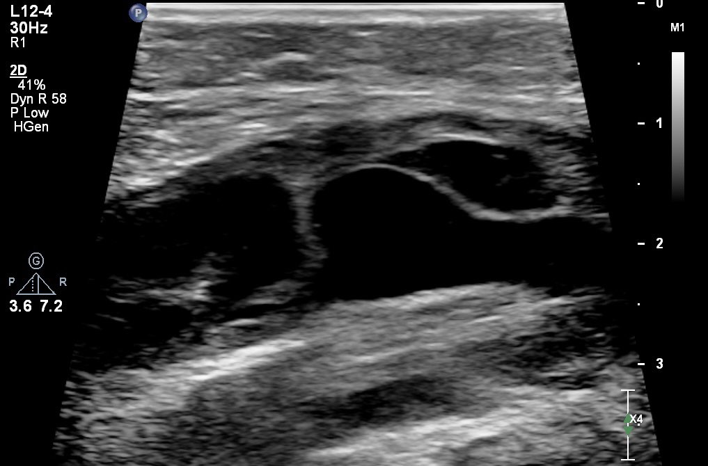
Expanding Baker's cyst causes edema in the lower limb.
#vascularultrasound
search.app/yb3sVUUGve7Kx2…


English



