
Mary Mathew
450 posts

Mary Mathew
@MaryMathew77
Professor , KMC Manipal #nephropath #pedipath #gynaecpath #bioethics
India Katılım Şubat 2020
109 Takip Edilen172 Takipçiler


My research is available on @ResearchGate: researchgate.net/publication/36…
English

We congratulate our faculty Dr. Stephen Samuel @DrStephen99 for being awarded Dr.TMA Pai Gold Medal for outstanding research publication @KMC_Mangalore @MAHE_Manipal for the year 2021 @DoRMAHE_Manipal
English

#MTPathUnknown #276
Given that this image is representative, what are the circumstances of this individual's death?
Look very closely.

English

@WKemp_MT_FPDoc KW Nodules Armani Epstein phenomenon in tubules Diabetes
Filipino

#MTPathUnknown #274
What two conditions are occurring in this image?
What underlying disease process is common to both?

English

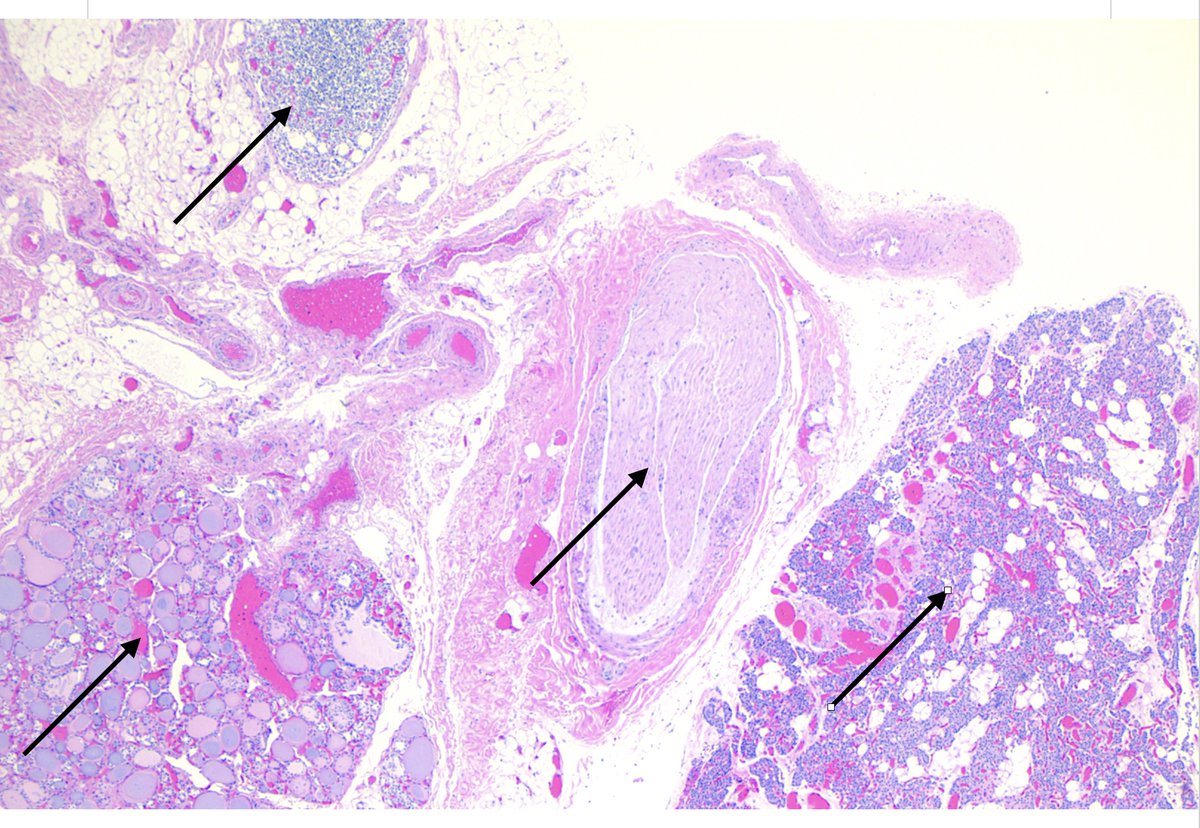
#MTPathUnknown #273
For medical students
Histology review--what are the four things at the arrows.
I just thought this was a neat image with the four different tissues in the same low power field.

English

@WKemp_MT_FPDoc Kidney Thrombi in vessels and glomerular capillaries
English

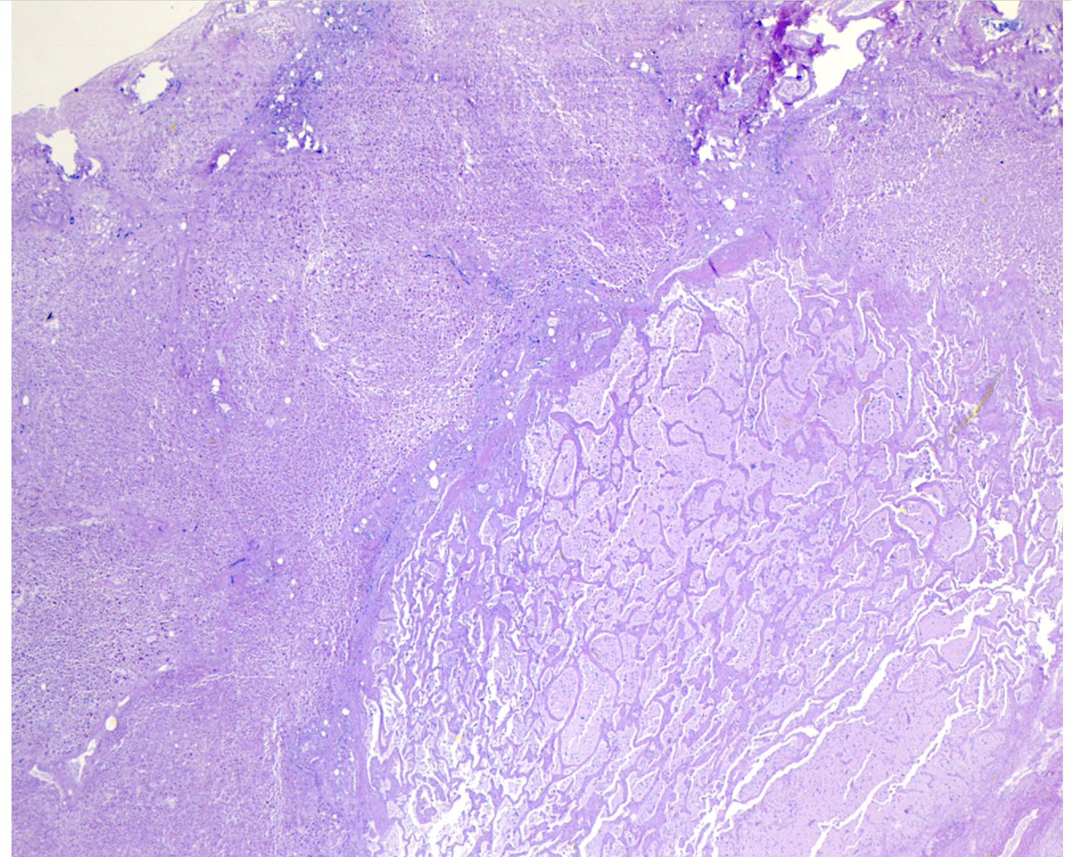
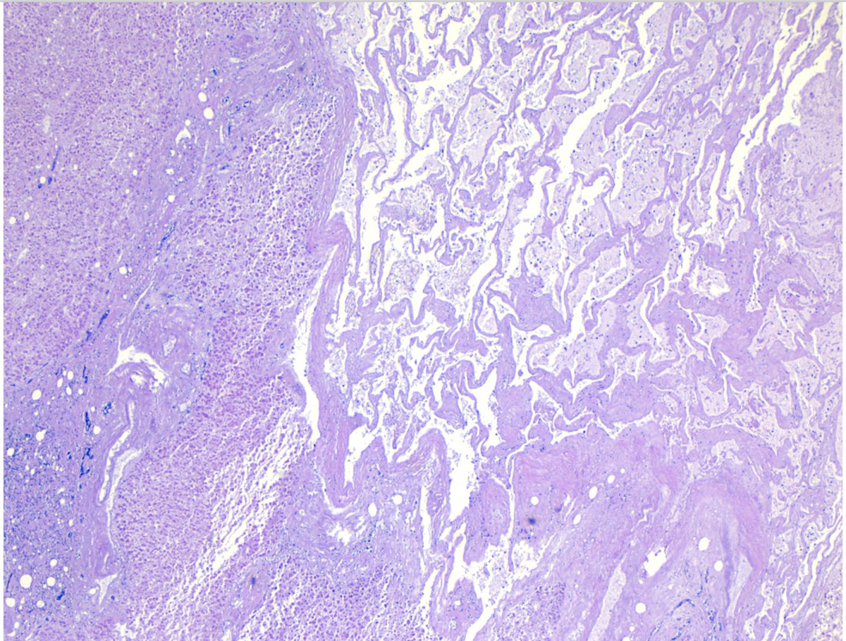
#MTPathUnknown #272
For medical students
What is the organ?
What is the general process (bottom half of image), and what features of the image help you identify the process?
My next YouTube lecture will cover this general topic

English

#MTPathUnknown #271
What is your diagnosis of this incidental autopsy finding?
If you want to see the gross (macroscopic) appearance, I posted it as #MTFPUnknown #33 at @WKemp_MT_4N6


English

@MaryMathew77 Great observations! Why would the dilated sinusoids be so clustered?🤔 Any other thoughts?🤔
English

#MTPathUnknown #269
Another finding in decomposed body.
Two images--first is lower power, second is higher power (and maybe a little easier).
Hint: common finding at autopsy
What is the most likely diagnosis?


English

@WKemp_MT_FPDoc Clear cell renal cell carcinoma (ccRCC), cells with clear cytoplasm and nested pattern.
English

#MTPathUnknown #268
Slide 1 of 3
Incidental mass in decomposed individual.
Slide 2 of 3 is close-up of mass
Slide 3 of 3 is the organ.
What is the most likely diagnosis (based upon common things being common)?
Challenge: can you make diagnosis without slide 3?

English

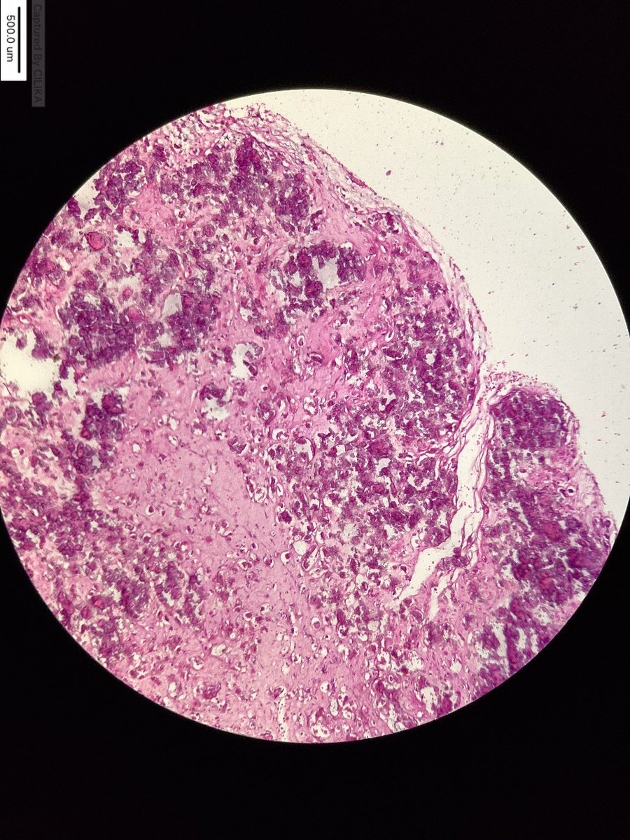
#MTPathUnknown #261
I hope I remember how to do this...
Just an interesting (and fortuitous) microscopic finding.
What is this?

English

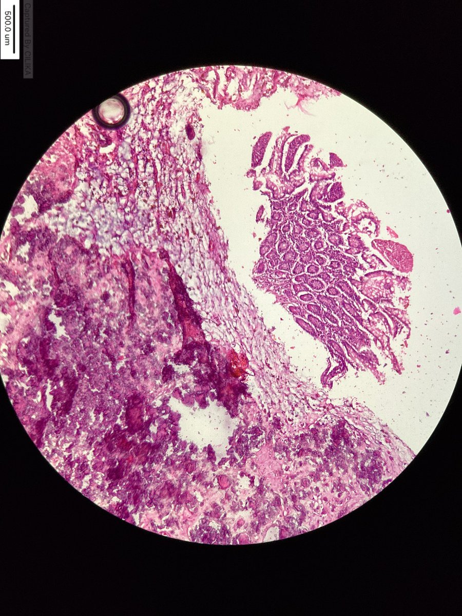
@marquess_raj @WKemp_MT_FPDoc @pepeheffernan @yamahalion @pathologiste08 @glinglerimek Jejunal atresia?
Español

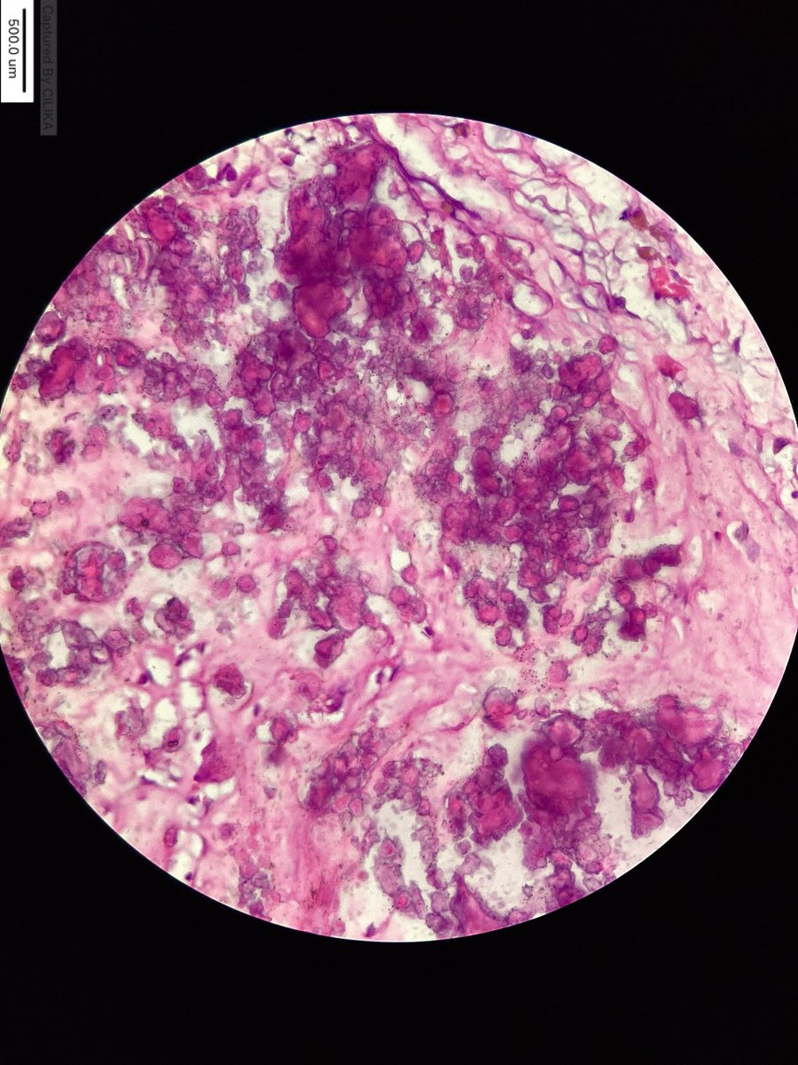
@WKemp_MT_FPDoc @pepeheffernan @yamahalion @pathologiste08 @glinglerimek Was signed off as meconium peritonitis.We couldn't find out any immediate cause for the ileus.A slew of causes have been described - Atresia,bands,hypoxia,Hirscprung's etc.Seldom do we see such heavy calcification in neonatal intestine Thanks @WKemp_MT_FPDoc
English

@WKemp_MT_FPDoc @pepeheffernan @yamahalion @pathologiste08 @glinglerimek Slides from the box ⚰ Neonatal autopsy.The copious calcification is a give away.Will someone suggest a cause of death #Autopsy




English





