Michael Lev
300 posts

Michael Lev
@MichaelLevMD
Director ED-Rad/ED-Neurorad @MGH, tweets my own
Boston, MA Katılım Aralık 2017
230 Takip Edilen608 Takipçiler

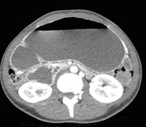
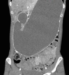
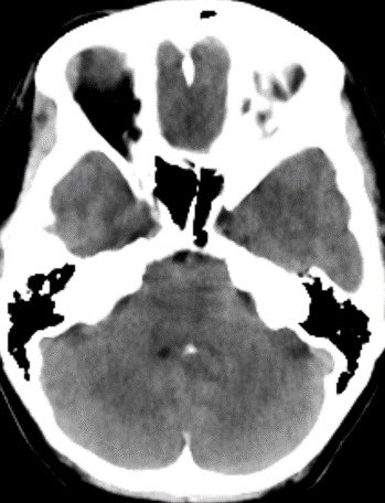
⭐️ What is the most likely diagnosis in this 45 y/o M found down with history of polysubstance abuse?
#Neurology #Medicine #radres #Neurosurgery #futureradres #radres #FOAMed #MRI @AlbanyMedRadRes @TheASNR

English

Joint letter to @NIH from several national physician groups explains the essential role of a research ecosystem that includes federal investment - and why #IndirectCosts are part of @NIH grants. NIH helped make US the global powerhouse in med innovation. aans.org/wp-content/upl…
English
Michael Lev retweetledi

@dyousem1 Nice! We’ve were at Heron Island after ISMRM around 2000 in Sydney, a bit farther south but same general idea …
English

@teachplaygrub @Michael_Iv_MD Nice! Great concise summary! Not too much new, on conventional imaging at least, since 2005 … any hints:clues to IDH mutant type? ajnr.org/content/ajnr/2…
English

Are microtubules the basis of consciousness, owing to their quantum effects? … youtu.be/xa2Kpkksf3k?si…

YouTube
CESAR ALVES@cesaralvesneuro
The beauty of microtubule complexity @TheENRS @amyfjuliano
English
Michael Lev retweetledi

Michael Lev retweetledi

Congratulations to our new #ACRDSI Chief Medical Officer @woojinrad & Associate Chief Science Officer @BernardoBizzo. The future of DSI is very bright with these outstanding #radleaders. 🙌
Woojin Kim@woojinrad
📣 I'm thrilled to announce my new role as Chief Medical Officer at the @RadiologyACR Data Science Institute (#ACRDSI)! I look forward to advancing responsible #AI development and implementation that benefits patient care. acrdsi.org/News-and-Event…
English

@WendeNGibbs @NASSspine @atmghn @The_ASSR @BarrowNeuro Para-spinal muscle and psoas edema … this paper is on epidural abscess but more broadly applies to all discitis vs degenerative changes: ajronline.org/doi/epdf/10.22…
English
Michael Lev retweetledi

@DrCindyCooper multiple myeloma - now a chronic disease superbly responsive to an increasingly complex pharmacopoiea. I tell my patients they easily may outlive their physician!
English
Michael Lev retweetledi

📖 #RadExam Study Guide 📖 21yo woman with weight loss and frequent vomiting. What syndrome likely accounts for the imaging findings?
A. May-Thurner
B. Median arcuate ligament
C. Nutcracker
D. Superior mesenteric artery
Comment your answer below 💭



English
Michael Lev retweetledi

@daniel_gewolb @TheASNR DDx of 4th ventricle masses by LOCATION RELATIVE TO VENTRICLE WALL and AGE: for child, young adult … (1) in 4th = ependymoma or CPP if cauliflower (look for toothpaste sign), (2) midline or paramedian abutting 4th consider medulloblastoma, (3) anywhere else in cerebellum …
English

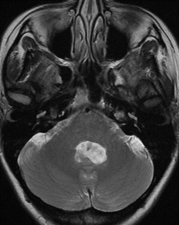
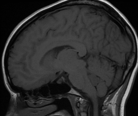
24 y/o patient presents with headache. MR shows a lobulated mass centered in the 4th ventricle. The mass is hyperintense on T2WI with homogenous enhancement and calcifications. What is the best diagnosis? Answer in a few hours. 🧠
#neurotwitter #radres #Neurosurgery @TheASNR




English
Michael Lev retweetledi

See also editorial by @GregZ_MD for great synopsis, critique, and to give broad context to this work! pubs.rsna.org/doi/10.1148/ra…
English
Michael Lev retweetledi

In our latest paper just out in @radiology_rsna, we attempt to address some of the major challenges to #AI in #radiology in context of brain MRI: 1) black box, 2) ddx/probabilities, 3) rare diseases. @RadRudie @MichaelDuongMD @PennRadiology @UCSFimaging pubs.rsna.org/doi/10.1148/ra…

English
Michael Lev retweetledi

One step closer to rigorous reproducible norm-based analysis of brains, this time for fetal brain MRI -- great work by Carol Tran and Pierre Nedelec! #AI4babies ajnr.org/content/early/…

English

Timely pilot study re potential treatment for moderate TBI, available on @ResearchGate: researchgate.net/publication/34…
English










