
Manisha Joshi
225 posts

Manisha Joshi
@Mjoshiindia
Interventional and neuro-radiologist, endovascular specialist







Share. Learn. Evolve – Contribute to the Case of the Month in Neuroradiology! Every case holds the potential to teach and inspire!!! Inviting passionate radiologists to contribute their most intriguing cases, fostering a culture of continuous learning and knowledge sharing.



Share. Learn. Evolve – Contribute to the Case of the Month in Neuroradiology! Every case holds the potential to teach and inspire!!! Inviting passionate radiologists to contribute their most intriguing cases, fostering a culture of continuous learning and knowledge sharing.

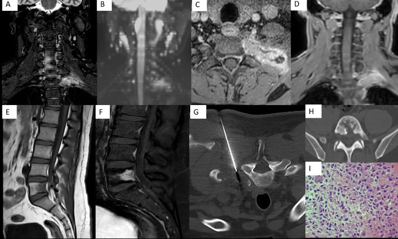
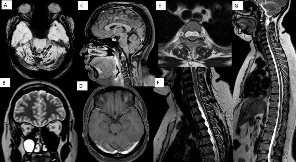
As people of science, the hunger to upskill never really settles — science, medicine, innovation, intervention. Ending 2025 with two ISNR Case of the Month offerings for the ever-curious neuroradiologist 🧠 isnr.in/december-2025-… isnr.in/december-2025-…







♦️ ISNR Case of the month ♦️ isnr.in/july-2025/ Thanks to the contributors Dr Rakesh @DrSmilySharma @drbejoy2002 @ Dr Kesavadas Share your interesting cases @ case.isnr@gmail.com to be featured in the case of the month platform of ISNR website










