Modern Pathology
1.4K posts

Modern Pathology
@ModernPathology
Official Journal of @TheUSCAP, focused on clinical and translational research in #pathology of #humandisease. Sibling Journal: @LIjournal.
Palm Springs, CA Katılım Ocak 2017
270 Takip Edilen14K Takipçiler

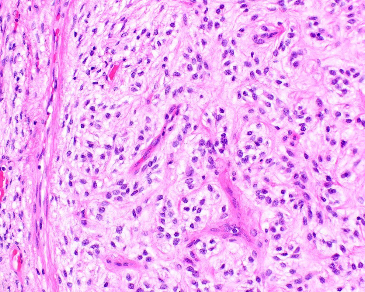
This HPV-associated anal lesion most likely harbors a CYLD mutation based on the morphology. It is essentially a basaloid variant of squamous cell carcinoma that produces peculiar basement membrane material.
Williams EA, Montesion M, Sharaf R, Corines J, Patel PJ, Gillespie BJ, Pavlick DC, Sokol ES, Alexander BM, Williams KJ, Elvin JA, Ross JS, Ramkissoon SH, Hemmerich AC, Tse JY, Mochel MC. CYLD-mutant cylindroma-like basaloid carcinoma of the anus: a genetically and morphologically distinct class of HPV-related anal carcinoma. Mod Pathol. 2020 Dec;33(12):2614-2625. PMID: 32461623; PMCID: PMC7685972.



English

This is a classic bland-appearing ossifying fibromyxoid tumor of soft tissue that would be associated with a favorable outcome. Note the focal shell of bone. Loss of RB protein is associated with malignant behavior.
Hofvander J, Jo VY, Fletcher CDM, Puls F, Flucke U, Nilsson J, Magnusson L, Mertens F. PHF1 fusions cause distinct gene expression and chromatin accessibility profiles in ossifying fibromyxoid tumors and mesenchymal cells. Mod Pathol. 2020 Jul;33(7):1331-1340. PMID: 31932680.




English

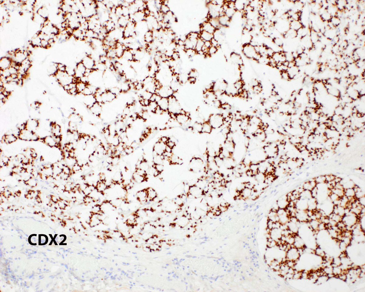
SMAD4/DPC4 deficient colorectal carcinomas can be particularly aggressive, masquerading as "carcinomas of unknown primary" and presenting with widespread disease - they maintain a colorectal phenotype. This article offers a comprehensive look.
Mirzabeigi Y, Shah N, Schwartz KR, Duryea J, Delma KS, Montgomery EA, Poveda JC, McDonald OG. High-Grade Colorectal Adenocarcinomas With SMAD4 Deficiency. Mod Pathol. 2026 Jan 6;39(3):100957. Epub ahead of print. PMID: 41506325; PMCID: PMC12814370.




English

Esophagitis dissecans superficialis, also known as sloughing esophagitis, is associated with infirmity and polypharmacy. Modern Pathology provided a vintage study on this self-limiting condition.
Purdy JK, Appelman HD, McKenna BJ. Sloughing esophagitis is associated with chronic debilitation and medications that injure the esophageal mucosa. Mod Pathol. 2012 May;25(5):767-75. PMID: 22282305.


English

There are still a few slots left for Dr. Nicole Panarelli's USCAP Tutorials of GI Pathology course in Palm Springs. It has a full range of topics and a wide range of speakers.
my.uscap.org/app/program/65…


English

Anal small cell carcinoma is often HPV - associated with molecular underpinnings than may allow for improved outcomes as treatment strategies advince.
Shamir ER, et al. Identification of high-risk human papillomavirus and Rb/E2F pathway genomic alterations in mutually exclusive subsets of colorectal neuroendocrine carcinoma. Mod Pathol. 2019 Feb;32(2):290-305. PMID: 30237525.



English

Reynders C, Bruyere D, Roncarati P, Geuzaine R, Koopmansch B, Gofflot S, Monnien F, Craciun L, Piazzon N, Hendrick E, Poulain F, Lerho T, Miceli S, Pilard C, Ancion M, Luyckx M, Renard M, Lambert F, Gheit T, Molimard C, Bibeau F, Larsimont D, Fasquelle F, de Leval L, Delvenne P, Kervarrec T, Hubert P, Peulen O, Herfs M. Human Papillomavirus Infection Is a Favorable Prognostic Factor for Patients With Stages I to IVA Esophageal Squamous Cell Carcinoma but not Adenocarcinoma. Mod Pathol. 2025 Dec;38(12):100853. doi: 10.1016/j.modpat.2025.100853. Epub 2025 Jul 28. PMID: 40738325.
Modern Pathology@ModernPathology
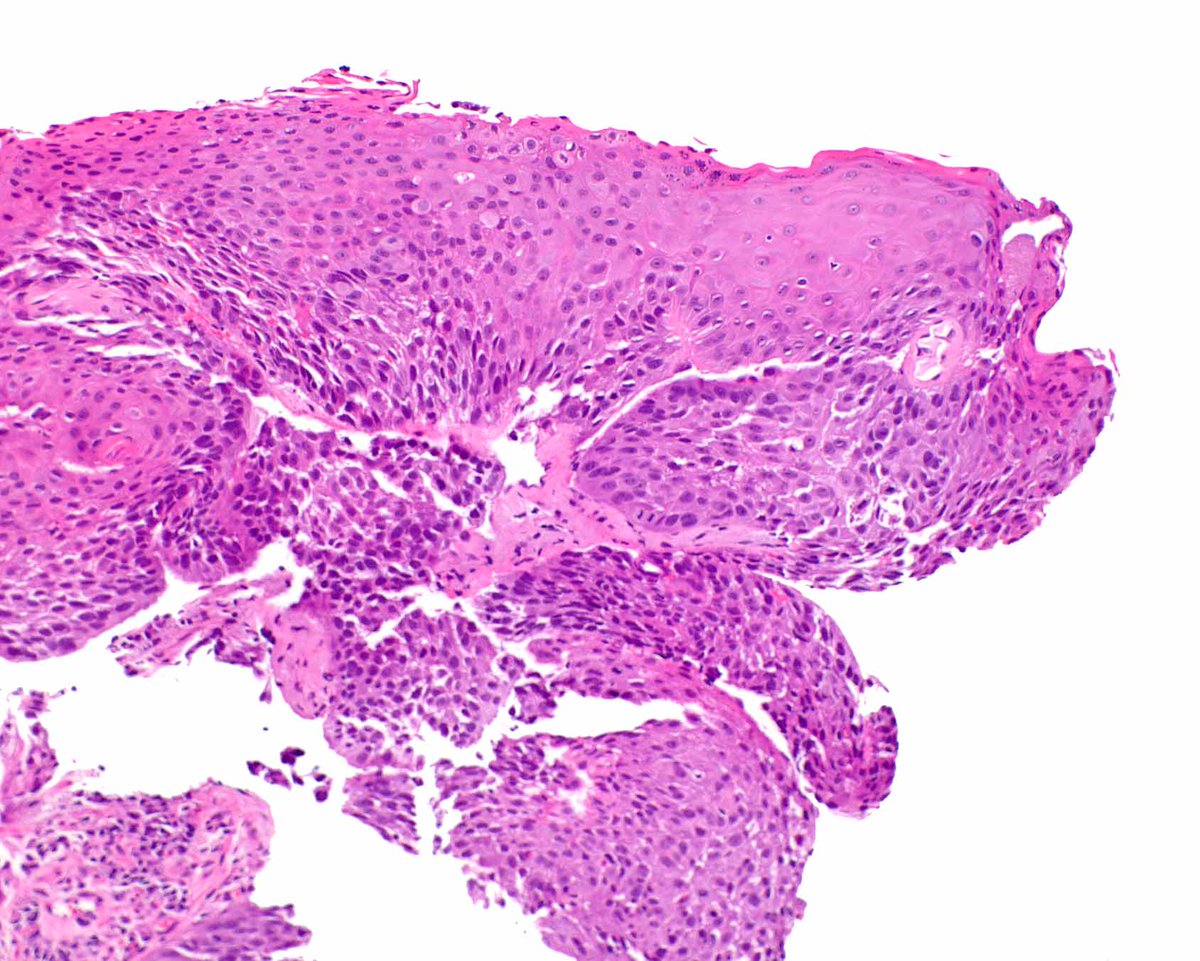
It's a minority of cases, but esophageal squamous cell carcinoma is sometimes HPV-associated, which conveys a better outcome. This example of high grade dysplasia is! Read about it in Modern Pathology! Reynders C, et al PMID: 40738325.
HT

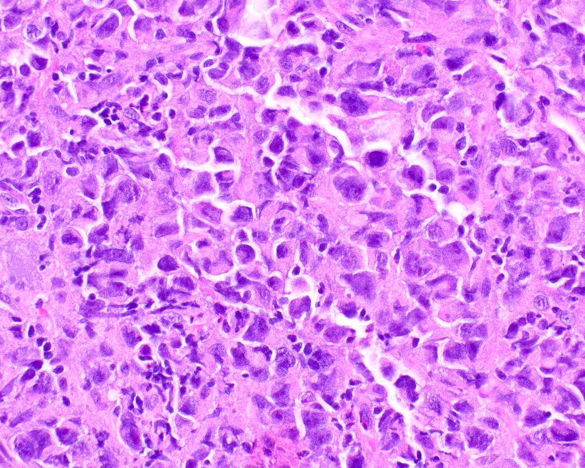
Dr. Sarah Dry has published a wonderful review of fatty tumors and nerve sheath tumors. Check out this malignant triton tumor (malignant peripheral nerve sheath tumor with rhabdomyosarcomatous differentiation) - the muscle differentiation is obvious on H&E.
Dry S. Updates in Peripheral Nerve Sheath and Adipocytic Tumors. Mod Pathol. 2025 Nov 1;39(1):100929. PMID: 41183597.




English

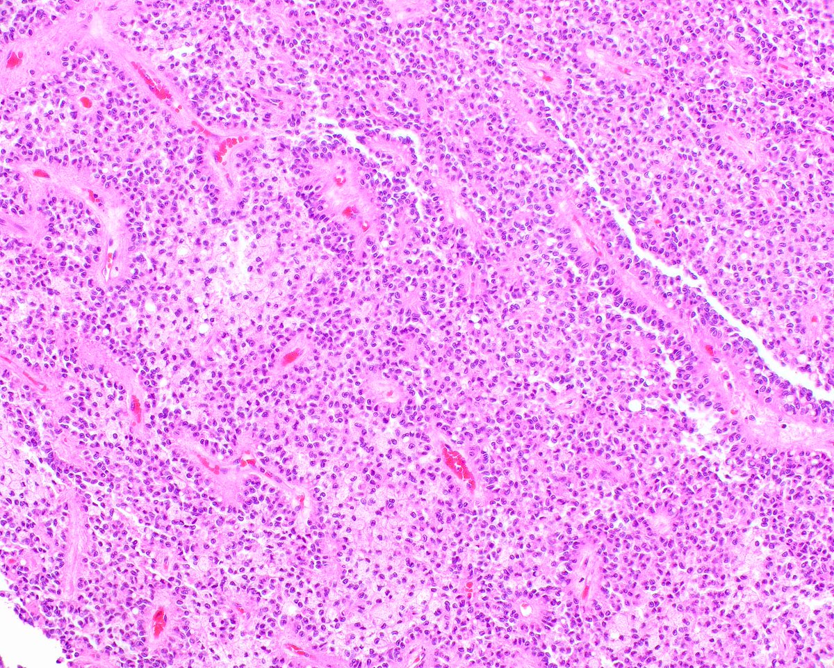
This is an ordinary mantle cell lymphoma of the colon - presenting as multiple nodular areas. However, more aggressive subtypes are in a spectrum with large B cell lymphomas.
Li S, Tang G, Jain P, Lin P, Xu J, Miranda RN, Cheng J, Yin CC, You MJ, Wang ML, Medeiros LJ. SOX11+ Large B-Cell Neoplasms: Cyclin D1-Negative Blastoid/Pleomorphic Mantle Cell Lymphoma or Large B-Cell Lymphoma? Mod Pathol. 2024 Feb;37(2):100405.PMID: 38104893.




English

Check out this leiomyosarcoma involving gastric mucosa and learn about GI tract smooth muscle tumors in Modern Pathology!
Alpert L, Al-Sabti R, Graham RP, Pai RK, Gonzalez RS, Zhang X, Smith V, Wang HL, Westbrook L, Goldblum JR, Bakhshwin A, Shetty S, Klimstra DS, Shia J, Askan G, Robert ME, Thomas C, Frankel WL, Alsomali M, Hagen C, Mostafa ME, Feely MM, Assarzadegan N, Misdraji J, Shih AR, Agostini-Vulaj D, Meis JM, Tang S, Chatterjee D, Kang LI, Hart J, Lee SM, Smith T, Yantiss RK, Hissong EM, Gao ZH, Wu J, Resnick MB, Wu EY, Pai RK, Zhao L, Doyle LA, Chopra S, Panarelli NC, Hu S, Longacre TA, Raghavan SS, Lauwers GY, Ghayouri M, Cooper HS, Nagarathinam R, Bellizzi AM, Kakar S, Hosseini M, Rong J, Greenson JK, Lamps LW, Dong Z, Bronner MP. Smooth muscle tumors of the gastrointestinal tract: an analysis of prognostic features in 407 cases. Mod Pathol. 2020 Jul;33(7):1410-1419. PMID: 32051556; PMCID: PMC8405135.


English

They are usually easy to spot on H&E, but Modern Pathology takes a deep dive into EBV-associated gastric carcinomas.
Angerilli V, Gasparello J, Collesei A, Ceccon C, Bergamo F, Sabbadin M, Parente P, Vanoli A, Niero M, Luchini C, Gafà R, Dei Tos AP, Grillo F, Mastracci L, Lonardi S, Fassan M. Epstein-Barr Virus-Associated Gastric Cancer: A Histopathologic Study With Comprehensive Molecular Profiling. Mod Pathol. 2025 Nov;38(11):100881. PMID: 40912408.




Italiano

A cool unusual tumor that was first reported in Modern Pathology!
1: Carter JM, Weiss SW, Linos K, DiCaudo DJ, Folpe AL. Superficial CD34-positive fibroblastic tumor: report of 18 cases of a distinctive low-grade mesenchymal neoplasm of intermediate (borderline) malignancy. Mod Pathol. 2014 Feb;27(2):294-302. PMID: 23887307.
2: Puls F, Carter JM, Pillay N, McCulloch TA, Sumathi VP, Rissler P, Fagman H, Hansson M, Amary F, Tirabosco R, Magnusson L, Nilsson J, Flanagan AM, Folpe AL, Mertens F. Overlapping morphological, immunohistochemical and genetic features of superficial CD34-positive fibroblastic tumor and PRDM10-rearranged soft tissue tumor. Mod Pathol. 2022 Jun;35(6):767-776. PMID: 34969957.




English

Sign up! Come to palm Springs for a wonderful USCAP course Directed by Dr. Nicole Panarelli. February 1-5, 2026. Register Below.
uscap.org/gi-tutorial/


English

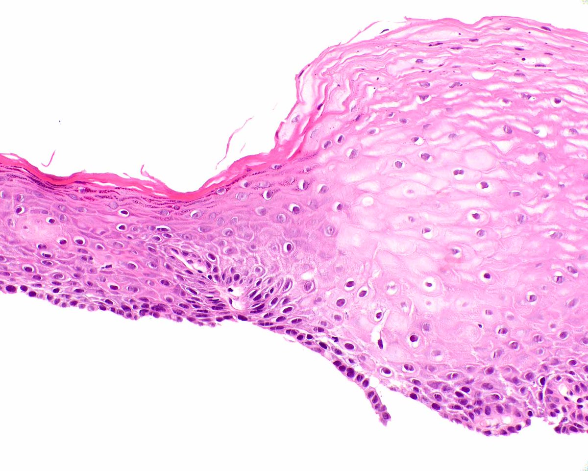
Esophageal epidermoid metaplasia (the presence of a granular layer) is likely a precursor to esophageal squamous cell carcinoma - a vintage report in Modern Pathology showed good evidence.
Singhi AD, Arnold CA, Lam-Himlin DM, Nikiforova MN, Voltaggio L, Canto MI, McGrath KM, Montgomery EA. Targeted next-generation sequencing supports epidermoid metaplasia of the esophagus as a precursor to esophageal squamous neoplasia. Mod Pathol. 2017 Nov;30(11):1613-1621. PMID: 28731047.



English


















