Danijela V Mozetic
983 posts

Danijela V Mozetic
@MozeticV
Clinical Cytologist, MD, PhD, Assistant Professor, EFCS Secretary General
Rijeka, Croatia Katılım Mart 2020
74 Takip Edilen552 Takipçiler
Danijela V Mozetic retweetledi

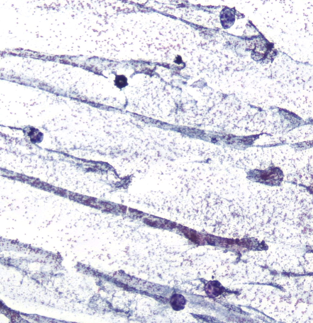
Sometimes carcinomas appear as loose cells in effusion and can be mistaken for reactive mesothelium. Caution!! 🆘🧠🧐 This case shows a lung adenocarcinoma in pleural fluid. TTF1 (performed on Smears) confirms that most of the cells are tumor cells #cytopathology @IACytology




English
Danijela V Mozetic retweetledi

"Scratches..."
Lung adenocarcinoma. Pleural fluid. TTF-1 positive (on Pap-stained smear) @IACytology @CytologyEFCS @SECitologia @cytopathology @asocolpat @SEAP_IAP @BenServiceNotes


English
Danijela V Mozetic retweetledi

Our new molecular paper in thyroid indeterminate lesion. Thyroid my passion and field of research.. cancer cytopath 🥰🤩
Cancer Cytopathology@CancerCytopath
New this week! | Molecular profiling of thyroid nodules on cytologic samples: Findings from an Italian multi-institutional cohort acsjournals.onlinelibrary.wiley.com/doi/10.1002/cn… #CytoPath @DianaEstherossi @pietro_tralongo
English

@sza_jhcyto @JM_CytoBox @IACytology @cytopathology Sincerely honored to be a part of this amazing story👏👏👏
Republic of Slovenia 🇸🇮 English
Danijela V Mozetic retweetledi

“It’s a reality now”
The Asian Federation of Cytology Societies (AFCS), a HISTORICAL moment.
Read the brief history.
afcscytology.org/about-afcs/
@MozeticV @JM_CytoBox @IACytology @cytopathology

English
Danijela V Mozetic retweetledi

Small tissue diagnosis in #headandneck #cytology by @IvanaKholova FNA vs CNB routine scenarios #MolCytoPath25




English
Danijela V Mozetic retweetledi

COMING SOON, the “Cells in Session”, an exciting new educational initiative of @IACytology, organized by the “Leaders of Future” and “Cytotechnology Committees”. A monthly series of live teaching sessions emphasizing cellular morphology and diagnostics. cytology-iac.org/cells-in-sessi…
English
Danijela V Mozetic retweetledi

Wonderfull sesión. Thanks so much @sza_jhcyto ,@IACytology
BTW, considering become a member asap, you'll get all the benefits for 2026 👍🏻✨👌🏻#ProudMIAC
Esther Diana Rossi@DianaEstherossi
Us...IAC-ing in the AP-IAP 2025. Bangkok. @mdlozanoe @MozeticV @sza_jhcyto @PVielh
English
Danijela V Mozetic retweetledi

@IvanaKholova @CytologyEFCS @EfcsYoung @cytopathology @CancerCytopath @DiagnosticCyto @Mansour_cytopat @mdlozanoe @DianaEstherossi @Sinchita_Roy @eva_wojcik @NayarRitu @IACytology Congratulations to the EFCS cyto team representing Europe in US. So proud of you! Thank you💗💗💗
Wat Ratchabophit, Thailand 🇹🇭 English
Danijela V Mozetic retweetledi

This morning @CytologyEFCS Companion meeting #ASCyto25 with #cytopath European perspective @EfcsYoung @cytopathology @CancerCytopath @DiagnosticCyto




English
Danijela V Mozetic retweetledi

🧐🙋♀️ #OpenAccess study evaluated 112 cases of #endometrial #cytology on ThinPrep using the novel preparation technique. Samples showed high accuracy in detecting endometrial malignancies, even by inexperienced examiners using the Yokohama System.
#CytoJ ⬇️
doi.org/10.1111/cyt.13…
English
Danijela V Mozetic retweetledi

🚨Next-generation cytopathologists, take advantage of this opportunity to become an #IACmember for only 25€ 🔬Advance your skills-Expand your impact-Connect-Lead! cytology-iac.org/membership-and… #cytopath #cytology #cytopathworldwide #IAC @PVielh @MassimoBongi @MozeticV @IvanaKholova
International Academy Cytology@IACytology
Spread the word: We have reduced the annual IAC membership fees for Jr. Medical Members to only 25 euros per year. What are you waiting for? Apply for membership now here: cytology-iac.org/membership-and…
English
Danijela V Mozetic retweetledi

IAC Tutorial "Cytopathology Update 2026” 📅 15-16 January, 2026
📍Gothenburg, Sweden 🇸🇪
ℹ️ event.trippus.net/Home/Index/AEA…
FNA pre-tutorial course #cytology #cytopath #IAC #IACtutorial
@sza_jhcyto @MassimoBongi @PVielh @AshishC97225686 @IACytology

English
Danijela V Mozetic retweetledi

It feels like looking down at a billiard table 🧐 🎱. Submandibular mass, FNA: Malignant (The Milan System); adenoid cystic carcinoma.
Don’t miss @MarcPusztaszeri’s webinar tomorrow: cytology-iac.org/educational-re…
#IACwebinar
@IACytology
@CytologyEFCS
@DianaEstherossi
@bfaquin

English

Full room, learning cytology hands on. Every year EFCS Tutorial is organized in different European city. Now in Halle, Germany.@IvanaKholova @DianaEstherossi @mdlozanoe @sza_jhcyto

Republic of Croatia 🇭🇷 English
Danijela V Mozetic retweetledi

@MozeticV Dear Danijela, it was truly wonderful to come together and create memories in Samarkand, one of the beautiful cities along the historic Silk Road. Thank you for your contributions, your warmth, and your kindness.
English



