Sabitlenmiş Tweet
ToothsDay
710 posts

ToothsDay
@NairobiPremier
Every Smile Tells A Story
CBD and UpperHill Katılım Ekim 2012
367 Takip Edilen786 Takipçiler

Having any #dentalemergency? We are open today till 3pm.
Walk-Ins Accepted….

Nairobi, Kenya 🇰🇪 English

No cavities allowed on the weekend agenda! 😄🦷
Schedule your appointment with us today.
#WeekendDentalCare
bit.ly/47Z94vF


Nairobi, Kenya 🇰🇪 English

Braces on, confidence up. Here's to the road to a brighter smile!
bit.ly/40OpjJv

Nairobi, Kenya 🇰🇪 English

A Full-Filling Gets To The Root of The Problem.
#permanentfilling #rootcanaltreatment #restorativedentistry #familydentistry #pediatricdentistry #cosmeticdentistry #preventivedentistry #nairobi #smile

Nairobi, Kenya 🇰🇪 English

Gum Health is wealth: Invest in your smile, prevent gum disease!
Schedule an Appointment with us Today.
#familydentistry #pediatricdentistry #cosmeticdentistry #smile

English

@NairobiPremier is a Cavity-Free Zone: Where Fillings Bring Teeth Back to Life. 💙

Nairobi, Kenya 🇰🇪 English
ToothsDay retweetledi

Celebrating 10 years of creating healthy smiles.
Book an appointment with us today.
#generaldentistry #pediatricdentistry #familydentistry #cosmeticdentistry



Nairobi, Kenya 🇰🇪 English

Book an appointment with us today since @nairobipremierdental Every Smile Tells A Story. 💙
English

10 years ago, @nairobipremierdental opened its Patient-Centered Dental Facility at Kimathi House, 7th Floor. We have since created over 20,000 beautiful smiles opening a branch at Tourism Fund Building, Ground Floor to accomodate even more Happy Patients.



Nairobi, Kenya 🇰🇪 English

Every Dental Story is Beautiful, but our AFFORDABILITY is your favorite. 💙
#generaldentistry #cosmeticdentistry #pediatricdentistry #familydentistry #CBD #upperhill #nairobi

English

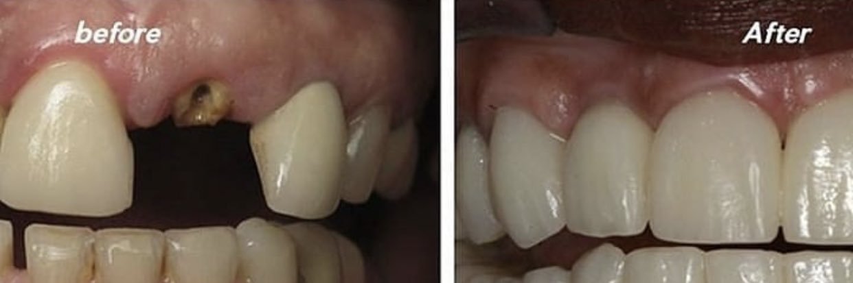
Have you undergone #toothextraction procedure and you need the tooth replaced?
Book an appointment with us today!

English





