

Jenesis K., PhD
127 posts

@Neuro_Jenesis
Neurobiologist studying cellular mechanisms underlying psychiatric disease | Former @NeuroatPitt @GUNeuro @SyracuseUpsych | Horror movie enthusiast




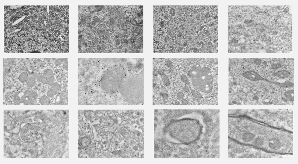
Grateful and thrilled that @Neuro_Jenesis and I could work with @wickedneuro and his group on such an exciting story describing the regulation of fentanyl reward via the circadian transcription Factor NPAS2! @PittResearch @PittPsychiatry @UMassPsychiatry biorxiv.org/content/10.110…











So incredibly proud of the new Dr. @Neuro_Jenesis! What an amazing PhD defense and with many exciting things to come!







Excited to announce our group's first manuscript on BioRXIV! 🎉 We investigate the conserved and distinct molecular signatures of AUD and OUD. Check it out! biorxiv.org/content/10.110…



