NiChart

15 posts

NiChart banner
NiChart

NiChart

@NiChart_AIBIL

A free open-source framework to process multi-modal MRI images, harmonize to reference data, apply ML models and derive individualized biomarkers.

Philadelphia, USA Katılım Ekim 2023
13 Takip Edilen138 Takipçiler
NiChart
NiChart@NiChart_AIBIL·
Save the dates: We're hosting webinars on the first, second, and third weeks of December. Registration link: forms.office.com/r/eFXUAH6nmv
NiChart tweet media
English
0
0
1
46
NiChart
NiChart@NiChart_AIBIL·
#AAIC2025 "ISTAART Intermissions: NiChart: A Neuroimaging Platform For AI-Based Precision Medicine" session is happening today at 12:15 - 2 PM. Please join us at Metro Toronto Conention Centre, 808
English
0
0
2
42
NiChart
NiChart@NiChart_AIBIL·
We value your opinion😇 Please take just a minute to share your feedback on NiChart—your insights make a difference! github.com/CBICA/NiChart_…
English
0
2
1
572
NiChart
NiChart@NiChart_AIBIL·
Interested in learning about the latest release? Please join our first-ever Zoom meeting for a brief overview and a live Q&A on Friday, Dec. 20 2024, 1 PM (EST) 🙌 pennmedicine.zoom.us/j/99909933810
English
1
0
0
71
NiChart
NiChart@NiChart_AIBIL·
Want to segment and analyze brain MRIs in seconds? Come see NiChart at #RSNA2024 booth 3448! Our app quantifies imaging AI biomarkers for Alzheimer's, aging, cardiovascular disease, and more! #RSNA #AI #neuroimaging
English
0
1
8
120
NiChart
NiChart@NiChart_AIBIL·
Excited to showcase NiChart at #AAIC’24! Discover cutting-edge brain MRI analysis at Booth 628. Join us to explore how we're advancing neuroscience with computational methods! #Neuroimaging #AI
English
0
3
9
261
NiChart
NiChart@NiChart_AIBIL·
Users can explore our open-source packages for local installation. NiChart consists of modular components that can be installed and run independently, providing an extendable framework that will grow with time. [3/4]
English
1
0
6
891
NiChart
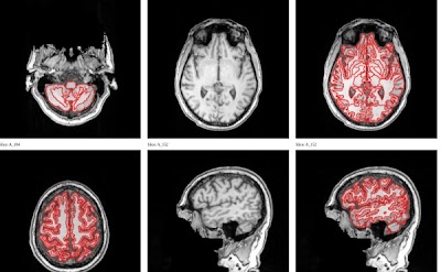
NiChart@NiChart_AIBIL·
Introducing NiChart v1: a multi-modal MRI brain chart built from over 50,000 individuals that provides imaging signatures of aging, neurodegenerative diseases, and neuropsychiatric disorders. neuroimagingchart.com A 🧵 [1/4]
NiChart tweet media
English
1
40
109
21.5K