Sabitlenmiş Tweet
No SuperDoc
22.7K posts

No SuperDoc
@NoSuperDoc
Médecin du Sport, Échographiste MSK. Escalade, Football, Gaming.
Paris, France Katılım Mart 2012
534 Takip Edilen5.3K Takipçiler

Le 0-1 se précise… Ça sera peut-être un vieux coup de pied arrêté sinon #PSGLIV
totomathon sur piaille.fr et bsky.social@totomathon
OK allez bonne nuit on connaît l’histoire, défaite sur une vieille contre-attaque #PSGLIV
Français
No SuperDoc retweetledi

@DrJN_SportsMed L5/S1 discopathy with modic changes and disc bulging ?
English

Consent ✅
F 60s
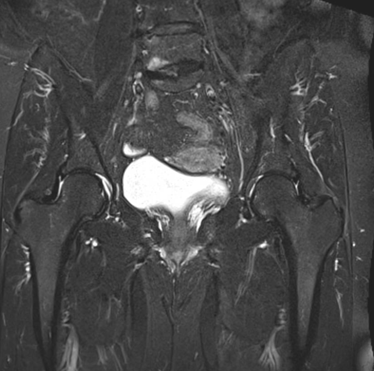
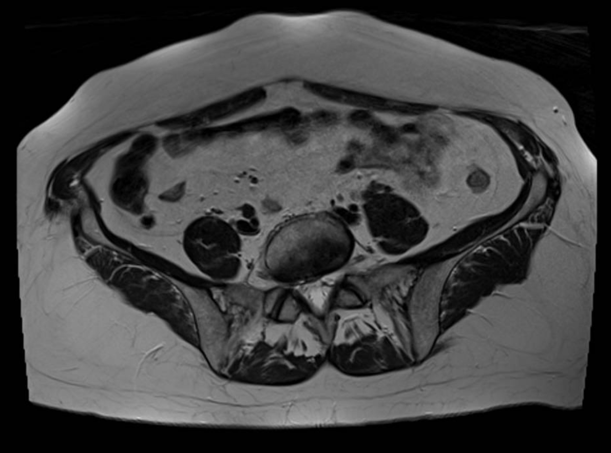
Years of diffuse R gluteal, hip & thigh pain, constant, stairs & sitting aggravates
Seen by orthopaedics to evaluate hip & knee (previous patellectomy this side) - referred to me as unable to identify pain driver & MRI scans 'normal'
MRI pelvis - hip joints & lateral soft tissues are fine
Clear suspect for her pain though, even on first glance - what do you see?
I've put the skyline view x-ray of her knee in too coz it's cool
Always check the images yourself - and bear in mind can pick up helpful pathology on non-dedicated series so worth scrutinising it all



English

@NoSuperDoc Je te remercie car j’ai vu un patient le lendemain de ton twitt !! Sans toi j’aurai jamais trouvé!
Français

@BordesJeremie Si la lésion n'est pas trop grave on peut assez vite regrimper dessus avec une syndactylie
Français

@BordesJeremie Syndactylie entre les deux doigts concernés (3/4 pour le 3e, 4/5 pour le 4e), puis kiné faite par quelqu'un qui connait l'escalade. En gros on va remettre en charge en isolant progressivement le 4e doigt
Français














