Psychoradiology

491 posts

Psychoradiology banner
Psychoradiology

Psychoradiology

@PSYRAD2

Psychoradiology is an open access journal which aims to bridge the gap between neuroscientists and clinicians.

Katılım Ağustos 2020
311 Takip Edilen95 Takipçiler
Psychoradiology
Psychoradiology@PSYRAD2·
Results(2) · ALFF (left paracentral lobule) correlated with visuospatial skills. · Sex significantly moderated the relationships between brain activity (ReHo, ALFF, sFC), cognition, and depressive symptoms in the LLD group. Link: doi.org/10.1093/psyrad… #SexDifference #rsfMRI
Psychoradiology tweet media
English
0
0
0
10
Psychoradiology
Psychoradiology@PSYRAD2·
🚨New research investigating sex-specific aberrant brain activity in LLD finds: ·Significant interaction effects found for ALFF (paracentral lobule), ReHo (superior temporal gyrus), and static FC. ·ReHo and sFC correlated with weight... Link: doi.org/10.1093/psyrad… #Depression
Psychoradiology tweet mediaPsychoradiology tweet mediaPsychoradiology tweet media
English
1
0
1
86
Psychoradiology
Psychoradiology@PSYRAD2·
🔹Analysis: Used correlation and moderation analyses to examine if sex moderates associations between brain activity, cognitive impairment, and depressive symptoms. Link: doi.org/10.1093/psyrad…
English
0
0
1
18
Psychoradiology
Psychoradiology@PSYRAD2·
x.com/PSYRAD2/status… Study Design👇: 🔹75 LLD patients and 164 HCs. 🔹Compared static and dynamic metrics of ALFF, ReHo, and functional connectivity (FC). 🔹Analyzed 4 groups (LLD-female, LLD-male, HC-female, and HC-male). #LateLifeDepression #SexDifference #rsfMRI
Psychoradiology tweet media
Psychoradiology@PSYRAD2

📢New study out in @Psychoradiology (Zheng et al., 2026)! Scientists reveal how sex differences in ALFF, ReHo, and FC are related to clinical symptoms and cognitive impairment in patients with late-life depression. 👉Learn more:doi.org/10.1093/psyrad… #Depression #SexDifference

English
1
0
1
68
Psychoradiology
Psychoradiology@PSYRAD2·
x.com/PSYRAD2/status… - Why do men and women experience Late-Life Depression differently? 🧠⚧️ - This study investigates sex-specific aberrant brain activity to uncover the neural roots of these disparities.🔗: doi.org/10.1093/psyrad… #Depression #Neuroscience #BrainFunction
Psychoradiology@PSYRAD2

📢New study out in @Psychoradiology (Zheng et al., 2026)! Scientists reveal how sex differences in ALFF, ReHo, and FC are related to clinical symptoms and cognitive impairment in patients with late-life depression. 👉Learn more:doi.org/10.1093/psyrad… #Depression #SexDifference

English
0
1
1
87
Psychoradiology
Psychoradiology@PSYRAD2·
Suicide has profound global effects, underscoring the urgent need for early detection.🧠 This comprehensive meta-analysis by Qianlan Yin et al. investigates event-related potentials (ERPs) as a tool for identifying suicide risk. 🔗:doi.org/10.1093/psyrad… #SuicidePrevention #ERPs
Psychoradiology tweet media
English
0
0
0
31
Psychoradiology
Psychoradiology@PSYRAD2·
x.com/PSYRAD2/status… Final Takeaway: ✅Changes in causal connections between specific brain regions significantly contribute to neurological deficits in anti-LGI1 encephalitis. ✅Hippocampal-striatal inhibitory connectivity may serve as a biomarker for personalized diagnosis.
Psychoradiology@PSYRAD2

How does LGI1 antibody encephalitis disrupt the brain's causal network? 🧠🚨 This spectral dynamic causal modeling study by Qiao et al. reveals the specific cause and underlying mechanisms of LGI1 encephalitis. 🔗: doi.org/10.1093/psyrad… #brain #Encephalitis #LGI1 #BrainNetwork

English
0
0
0
21
Psychoradiology
Psychoradiology@PSYRAD2·
x.com/PSYRAD2/status… Key findings reveal distinct effective connectivity (EC) patterns:📉✨ - Circuit: Inhibitory EC from hippocampus to STG; excitatory EC in reverse. - PCC: Patients showed reduced inhibitory self-connections in the posterior cingulate cortex #LGI1 #Neurology
Psychoradiology tweet mediaPsychoradiology tweet media
Psychoradiology@PSYRAD2

How does LGI1 antibody encephalitis disrupt the brain's causal network? 🧠🚨 This spectral dynamic causal modeling study by Qiao et al. reveals the specific cause and underlying mechanisms of LGI1 encephalitis. 🔗: doi.org/10.1093/psyrad… #brain #Encephalitis #LGI1 #BrainNetwork

English
1
0
0
28
Psychoradiology
Psychoradiology@PSYRAD2·
Study Design: 🔹27 patients with anti-LGI1 encephalitis vs 28 HC. 🔹ALFF analysis used to identify altered brain regions. 🔹Spectral dynamic causal modeling to assess effective connectivity (EC). 🔹Analysis of EC strength vs clinical severity & cognitive function.#fMRI #Neurology
Psychoradiology tweet media
English
1
0
1
26
Psychoradiology
Psychoradiology@PSYRAD2·
x.com/PSYRAD2/status… The specific cause and underlying mechanisms of LGI1 antibody encephalitis remain unclear.🔍 The study aims to uncover the pathological insights of this disorder by examining the causal connections and effective connectivity between altered brain regions.
Psychoradiology@PSYRAD2

How does LGI1 antibody encephalitis disrupt the brain's causal network? 🧠🚨 This spectral dynamic causal modeling study by Qiao et al. reveals the specific cause and underlying mechanisms of LGI1 encephalitis. 🔗: doi.org/10.1093/psyrad… #brain #Encephalitis #LGI1 #BrainNetwork

English
0
0
0
34
Psychoradiology
Psychoradiology@PSYRAD2·
🌟This commentary explores the potential of 7Li-MRI in Bipolar Disorder. By utilizing 7T high-field scanners and 7Li-CSI, researchers can now map brain lithium distribution in vivo to predict treatment response and enable patient stratification. 🔗:doi.org/10.1093/psyrad… #7T
English
0
0
0
29
Psychoradiology
Psychoradiology@PSYRAD2·
x.com/PSYRAD2/status… Final Takeaway:🧠🧩 ✅Establishing a novel molecular–neural pathway where DMN activity mediates the link between GDNF and rumination in MDD. ✅Highlights GDNF as a potential therapeutic target for depression. Follow #Psychoradiology for more!🔔#Depression
Psychoradiology tweet media
Psychoradiology@PSYRAD2

🚨New study alert in @Psychoradiology!🧠 How do peripheral GDNF levels influence the depressed brain? This study by Fennan Jia et al. reveals the relationships between glial cell line-derived neurotrophic factor, brain circuits, and clinical symptoms in depression.#MDD #fMRI #DMN

English
0
0
0
57
Psychoradiology
Psychoradiology@PSYRAD2·
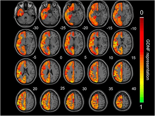
x.com/PSYRAD2/status… Results: A new study reveals a novel mediation pathway in the depressed brain: 📉✨ 🔹Serum: MDD patients showed significantly reduced GDNF and IL-8 levels. 🔹DMN: Interaction effects in fALFF within both DMPFC and MTL subsystems.#Depression #fMRI #DMN
Psychoradiology tweet mediaPsychoradiology tweet media
Psychoradiology@PSYRAD2

🚨New study alert in @Psychoradiology!🧠 How do peripheral GDNF levels influence the depressed brain? This study by Fennan Jia et al. reveals the relationships between glial cell line-derived neurotrophic factor, brain circuits, and clinical symptoms in depression.#MDD #fMRI #DMN

English
1
0
0
28
Psychoradiology
Psychoradiology@PSYRAD2·
x.com/PSYRAD2/status… Methods🔬📊: 🔹Sample: 33 MDD patients vs 33 HC. 🔹Task: fMRI during a sustained, active rumination task & RRS assessment. 🔹Imaging: fALFF and functional connectivity within DMN subsystems. 🔹Biomarkers: Quantified serum GDNF and inflammatory markers.#MDD
Psychoradiology tweet media
Psychoradiology@PSYRAD2

🚨New study alert in @Psychoradiology!🧠 How do peripheral GDNF levels influence the depressed brain? This study by Fennan Jia et al. reveals the relationships between glial cell line-derived neurotrophic factor, brain circuits, and clinical symptoms in depression.#MDD #fMRI #DMN

English
0
0
0
35
Psychoradiology
Psychoradiology@PSYRAD2·
x.com/PSYRAD2/status… Rumination is a pivotal psychopathological process in #MDD.🔍 Using a modified rumination paradigm, the study explored how neurotrophic factors and immune activation interact to mediate brain activity associated with depressive cognition.#Depression #brain
Psychoradiology tweet media
Psychoradiology@PSYRAD2

🚨New study alert in @Psychoradiology!🧠 How do peripheral GDNF levels influence the depressed brain? This study by Fennan Jia et al. reveals the relationships between glial cell line-derived neurotrophic factor, brain circuits, and clinical symptoms in depression.#MDD #fMRI #DMN

English
0
0
0
34