
Patrick Doyle
18 posts

Patrick Doyle
@PW_Doyle
Northwestern MechE | Vanderbilt IR Resident | Vanderbilt School of Medicine











So grateful to @PW_Doyle just finished a year research immersion with us. I am so happy to have met and worked with him. He will shine on the interview trail for IR residency this year! @VUmedicine @VUMCradiology @SIRRFS @SIR_ECS


Out for dinner @trattoriaNY after first day @thegestgroup 2023 Great food and better company @PW_Doyle @HannahHund @TWongMD @VUMCradiology @VUmedicine












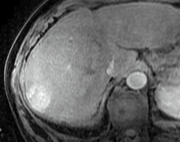
📅 Mark your calendars for these #SIR23PHX presentations on dosimetry findings from a study directed by @danbrownIO and the @VUMCradiology team. ⭐️ Today, 3/6 at 3p.m. MST by @PW_Doyle ⭐️ Wednesday, 3/8 at 3p.m. MST by @sworkman90 @SIRspecialists



Awesome job @DrEvaParker, @kelsey_barter, @BordenLacy, & Dr. Keith Meador @VUMChealth #StrategyShare2023! So proud to be a part of the Environmental Sustainability Working Group at VUMC! Love the shout out to #IR and their proper use of #RedBag waste #QI project! #ClimateChange



