PathSpotters

858 posts

PathSpotters banner
PathSpotters

PathSpotters

@PathSpotters

We are collecting cool Pathology spotters & cases in one place. If you have one, tag us. We will feature you! #pathspotter #pathtwitter

United States Katılım Mayıs 2020
69 Takip Edilen1.8K Takipçiler
PathSpotters retweetledi
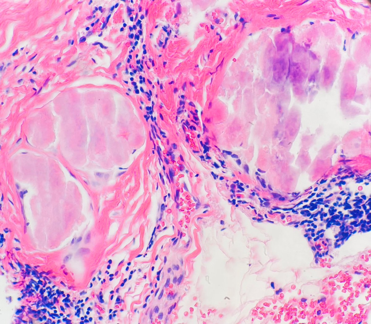
Hansini Laharwani
Hansini Laharwani@HansiniMD·
Primary localized amyloid of the breast #breastpath #PathTwitter #MedTwitter #pathology 🍏Detected on screening mammography as clusters of calcifications 🍏 25% do not develop a hematologic disorder or systemic amyloidosis 🍏Apple-green on polarized light
Hansini Laharwani tweet mediaHansini Laharwani tweet media
English
2
40
120
0