Pathologie_MedUniWien
60 posts

Pathologie_MedUniWien
@Pathologie_MUW
The Department of Pathology performs essential functions in diagnostics, medical education and research at the Medical University of Vienna.
Katılım Şubat 2021
33 Takip Edilen188 Takipçiler

A publishes outreach article in the leading science communication publication, Scientia
Doi: doi.org/10.33548/SCIEN…
Scientia@scientia_social
Fighting systemic viral infections! Dr Hermann Salmhofer explores new ways to minimize damage & improve treatments. doi.org/10.1093/ckj/sf… more: scientia.global/dr-hermann-sal… #Virology #MedicalResearch
English

@kidneypathology Do you want to know how we did that? Check this one out: doi.org/10.3389/ti.202…

English
Pathologie_MedUniWien retweetledi

Do you want to know the Minimal Diagnostic Criteria for TMA?. Finally a consensus for the morphologic diagnosis of TMA frontierspartnerships.org/articles/10.33…


English

Interested in spatial transcriptomics? Consider reading our pilot study on spatial profiling of glomeruli in pauci-immune focal necrotizing glomerulonephritis!
kidney360.asnjournals.org/content/early/…
English

ASN Kidney360@ASNKidney360
Pauci-immune focal necrotizing glomerulonephritis entails heterogeneous glomerular lesions. This study shows benefits of spatial profiling heterogeneous glomerular injury characterization, indicating molecular correlates of glomerular injury in piFNGN bit.ly/KID0004612022
ZXX

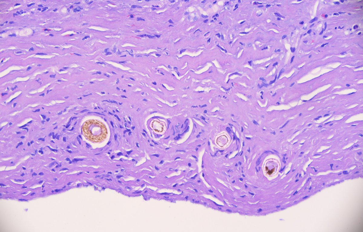
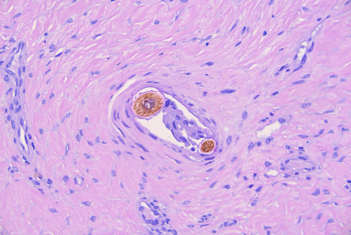
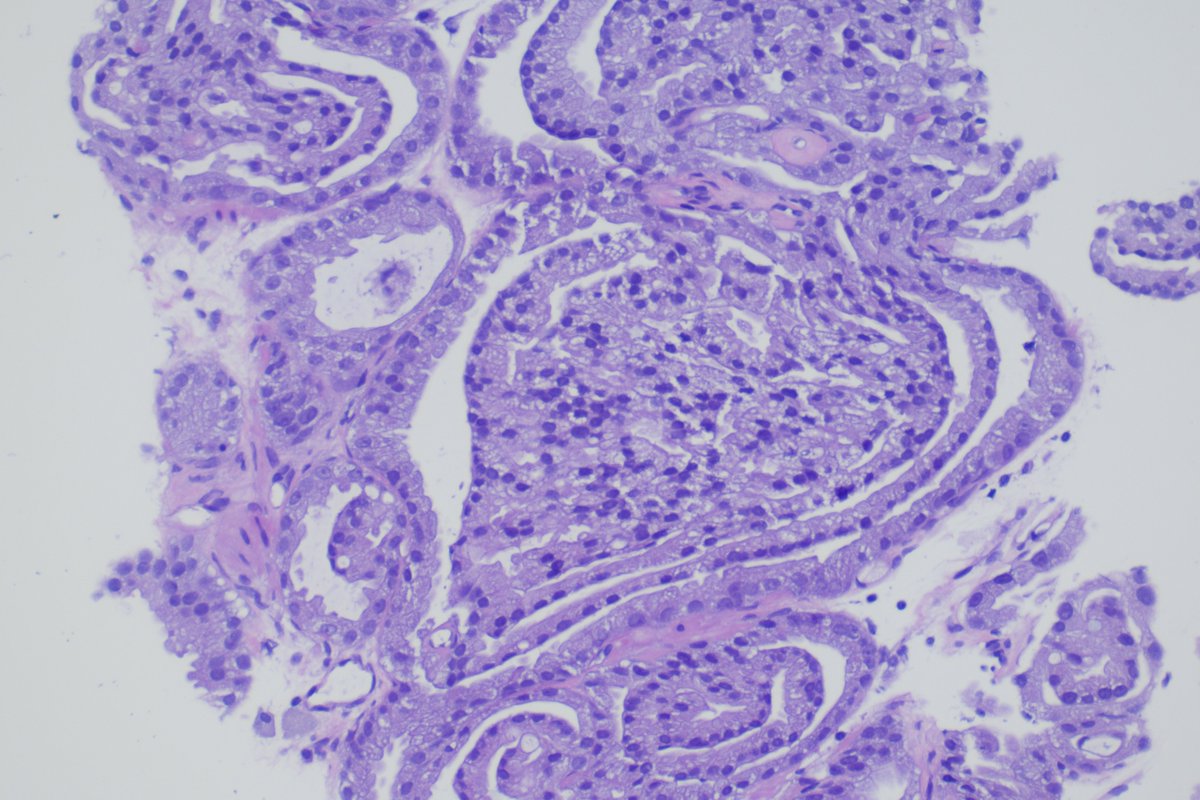
What are these structures doing in a piece of peritoneal tissue from a continuous ambulatory peritoneal dialysis catheter site? #PathTwitter #pathology


English

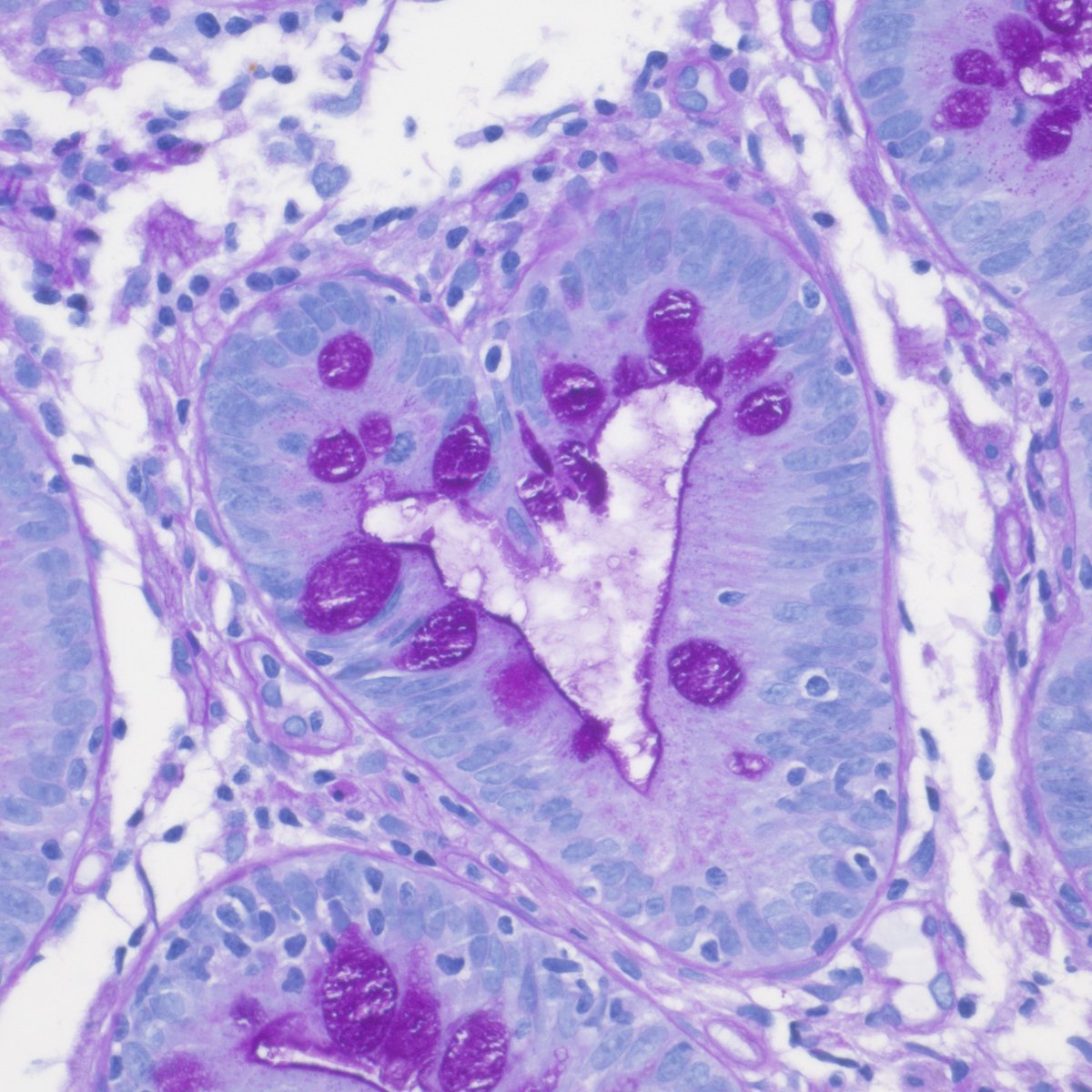
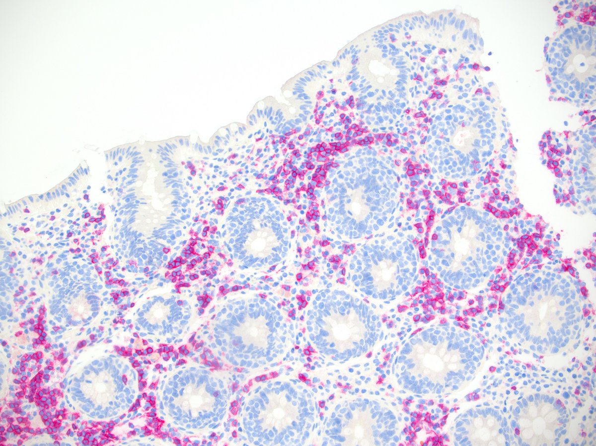
jejunal biopsy; marked villous atrophy, IEL increase, crypt hyperplasia, absent plasma cells in LP- your Dg?
❤️❤️#gipath


English

Clear cell renal carcinoma with rhabdoid features - could be challenging at first sight but shows quite typical ccRCC nuclei and positive CAIX (bottom left), negative CK7 (bottom right). #pathology




English

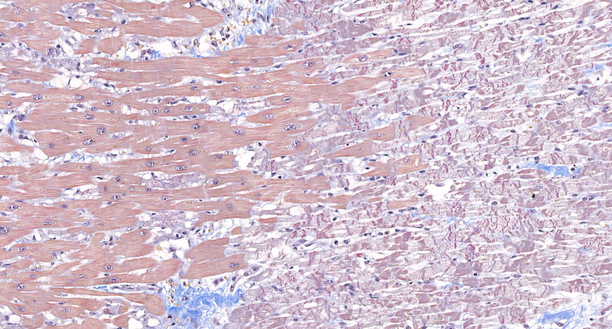
@goziemnweke @AmyHDeekenMD Acid Fuchsine Orange G - one of our favorites for renal pathology because it highlights connective tissue in blue and fibrin in bright red.
English






















