
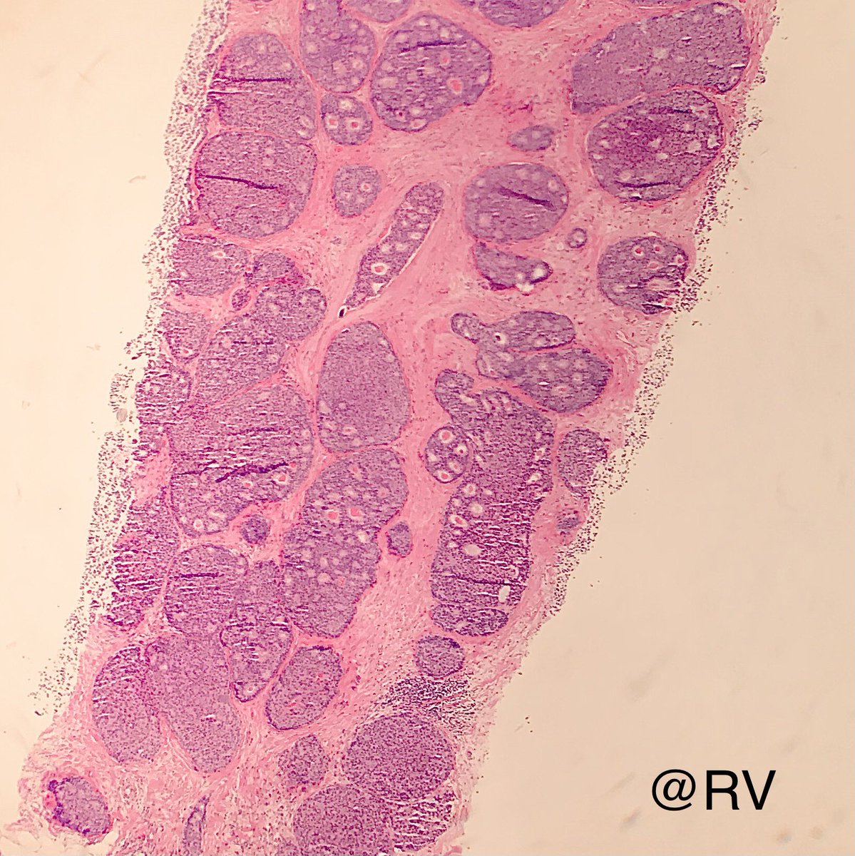
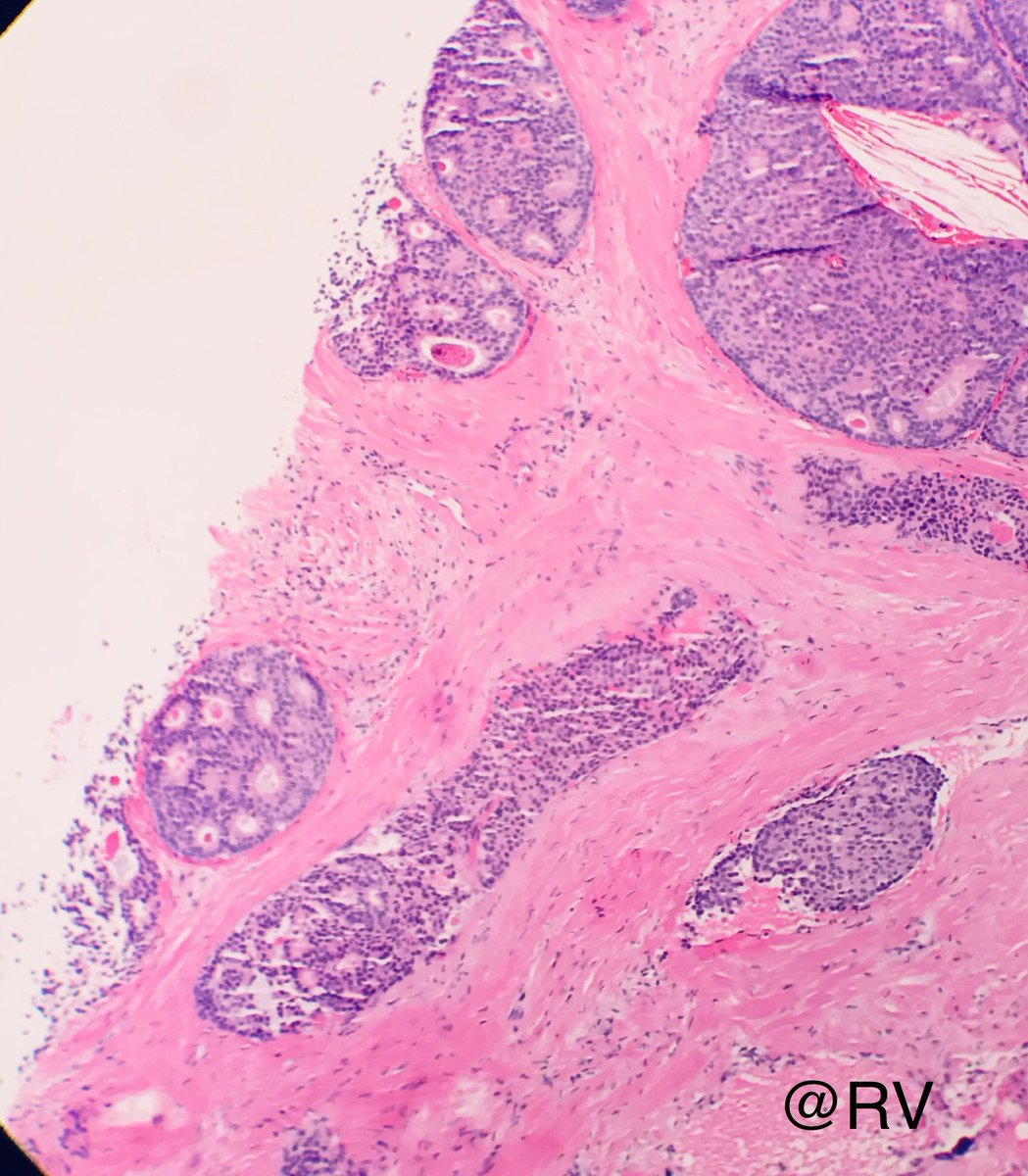
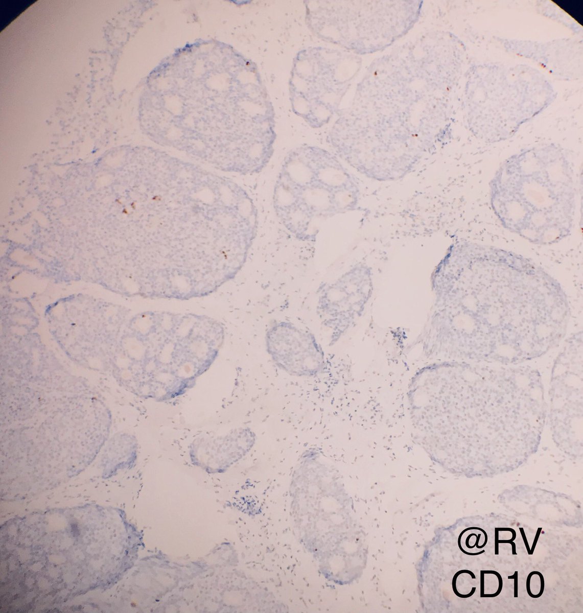
#BreastPath bx done for calcs. Small focus of atypical glands. Radial scar Vs tubular carcinoma




English
Rama Vidhun
5 posts

@Ramavid15
Expertise in breast pathology, AP/CP/Cytology sub specialty at Nuvance Health - Danbury Campus. Program director - Danbury Hospital Pathology Residency Program












