Rex Ray

228 posts

Rex Ray banner
Rex Ray

Rex Ray

@RexRayMD

Interventional Radiologist with a Love for IR Devices, brought to you by J. Young, MD

Katılım Şubat 2021
254 Takip Edilen604 Takipçiler
Rex Ray
Rex Ray@RexRayMD·
@shamitsdesai I think an even bigger issue is the turn over. Every month new dialysis techs, and they are still learning how to palpate the fistula, let alone use ultrasound guidance. If you can’t retain employees, then you cannot teach them advanced skills.
English
1
0
2
171
Shamit Desai MD
Shamit Desai MD@shamitsdesai·
HD nurses not being trained in ultrasound guidance is peak laziness, inefficiency, and healthcare waste. Prob 50+ annual fistulas in the lab for “pulling clots” bc the access nurses have no clue where their needle is.
English
3
0
6
904
Rex Ray
Rex Ray@RexRayMD·
Used #RevCore to clean out a troublesome central occluded stent. Put up some discs as embolic protection. These stents were occluded for years, the results speak for themselves. #IRad
Rex Ray tweet media
English
0
0
14
833
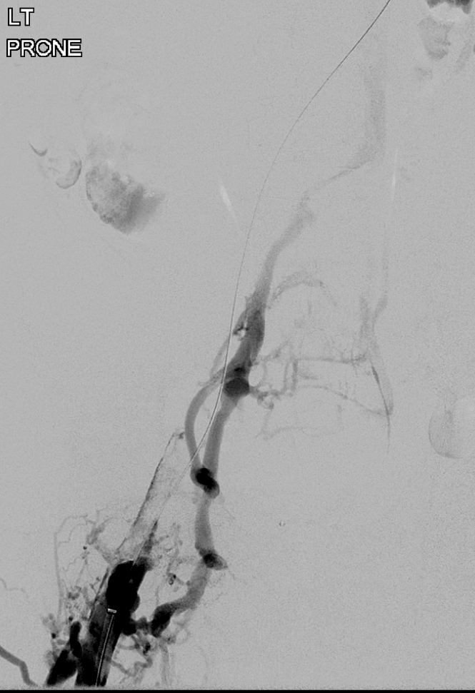
Rex Ray
Rex Ray@RexRayMD·
Double the vessel, double the clot! Prone, Popliteal access, #ClotTriever. Wired up each side sequentially, and pulled out those dark, sticky clots. #DVT #IRad
Rex Ray tweet media
English
0
4
26
1.4K
Rex Ray
Rex Ray@RexRayMD·
Excuse me Dr. Kaufman, what did you use to embolize the Varicocele!?!? #IRad
Rex Ray tweet media
English
2
0
6
1.1K
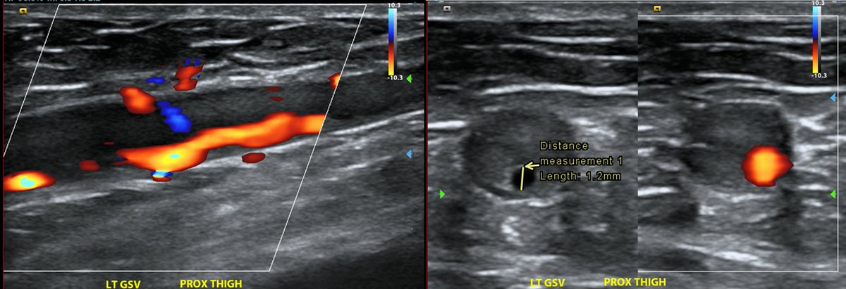
Michael Cumming
Michael Cumming@drmcumming·
Venous insufficiency US shows an arterial structure "inside" the GSV. Diagnosis? @SIRspecialists
Michael Cumming tweet media
English
5
11
70
22.6K
Rex Ray
Rex Ray@RexRayMD·
@aburnett_PharmD Thank you, I’m glad y’all enjoyed my silly stories. We have to fight VTE from all sides, so it was fun and meaningful to share the rural interventional side of the battle!
English
1
0
0
70
Rex Ray
Rex Ray@RexRayMD·
Central occlusion on a fistula arm, with horrible breast swelling from collaterals. Sharp recan success with #Gunsight technique. A very excellent skill to have in your back pocket!! #IRad
Rex Ray tweet mediaRex Ray tweet media
English
2
1
26
1.8K
Rex Ray
Rex Ray@RexRayMD·
Acute, occlusive #DVT cleaned out with #ClotTriever. There was a compression defect at the iliac origin. Brought her back a few days later with #IVUS, confirmed the compression, and stented with #Abre. It felt weird to put a 12mm in the iliac, but she was petite! #IRAD
Rex Ray tweet media
English
0
1
28
1.6K
Rex Ray
Rex Ray@RexRayMD·
Forget the biloma… are those FRENCH FRIES? Is it possible to eat French Fries whole!?!? #Radiology
Rex Ray tweet media
English
3
2
10
2.4K
Rex Ray
Rex Ray@RexRayMD·
So much structural protein in this #DVT, it’s insane!! Removed with #ClotTriever after angioplasty with 8mm balloon. Super difficult to recanalize… you can see why! #IRad
English
0
6
30
2.7K
Rex Ray
Rex Ray@RexRayMD·
@rkryu @SDhandMD @TherealDoctorJ @kmadass @radtrivedi @TLHM_MD @Watts_IR 100% agree. Ptx is easy to fix, but surprise massive hemoptysis is horrendous. I feel like it happens 0.5% of cases, and there is never anesthesia available for endobronchial blocker. I just resuscitate until hemostasis achieved. Horrible risk and stress not conveyed by rVUs.
English
0
0
4
368
Rex Ray
Rex Ray@RexRayMD·
Look at this big booger I pulled out of the IVC!! Is this even considered a thrombus anymore? #IRad Removed with ClotTriever XL
Rex Ray tweet media
English
1
4
24
2.5K