Runjan Chetty
14.4K posts

Runjan Chetty
@RunjanChetty
Anatomic Pathologist, Emeritus Professor, Alumnus St John’s College, Oxford, Chief Medical Officer @Deciphex @Diagnexia. The Arsenal.
Reading, United Kingdom Katılım Ocak 2011
833 Takip Edilen3.6K Takipçiler

Richard Byers -Dr Patrick Shenjere - Soft Tissue Tumours September 10 2025 youtu.be/ea3DAcAOIzo?si… via @YouTube

YouTube
English
Runjan Chetty retweetledi

Join Dr. Victor Prieto for:
Tumores superficiales de Partes Blandas
March 19, 2026 | 11AM EST | 3PM GMT | En español
A focused session on practical diagnostic considerations in superficial soft tissue tumors.
¡Webinar en español!
👉 Register: news.diagnexia.com/407B91R
#Diagnexia #PathologyEducation

Català
Runjan Chetty retweetledi

Upcoming French Webinar
Dr Soufiane Zakaria Azdad presents: Le pathologiste assisté par l'IA : Transformer la formation médicale et la gestion des connaissances grâce aux outils d'IA avancés
March 10,2026
🕐 1PM CET | 12PM GMT | 8AM EST
En français
Discover how AI tools can support pathology education and training.
👉 Register: news.diagnexia.com/4u5rEht
#Diagnexia #AIinPathology #WebinarEnFrançais

Français
Runjan Chetty retweetledi

Just a few days to go – don’t miss out!
Join José A Jiménez-Heffernan for:
Evaluación citológica de los tumores cerebrales con énfasis en variantes infrecuentes
February 26, 2026 | 11AM EST | 4:00 PM GMT | En español
¡Webinar en español!
👉 Register: news.diagnexia.com/4t5lJrY
#Diagnexia #PathologyEducation #LatamWebinar #WebinarEnEspañol

Español

@diagnexia New venue with great speakers and content for practicing pathologists and trainees.
English
Runjan Chetty retweetledi

The early bird discount for the Diagnexia Histopathology Symposium 2026 ends in 4 days!
20–21 August | Oxford
Pathologists £270
Trainees £170
Use code EARLYBIRD to get your ticket before prices increase.
Register now: news.diagnexia.com/4ubA8Un
#Histopathology #Pathology

English

Diagnexia is now downloading educational content like webinars by Kum Cooper and Richard Byers on our Diagnexia YouTube channel. Please visit and subscribe. Lots more to come like educational podcasts. @diagnexia
English
Runjan Chetty retweetledi

#Diagnexia #BSTPath #Hemepath #Pathresidents #Pathologists
Initiatives like Dianexia truly make a difference in pathology education.
Through their webinars in hematopathology and bone and soft tissue pathology, among others ,they are creating meaningful learning opportunities and fostering a culture of collaboration.
The fact that they are sharing these webinars openly through their channel is invaluable for residents and pathologists at all stages of training. Education grows when knowledge is shared—thank you for contributing to our community.
Thank you Prof @RunjanChetty for sharing with us 💫💫💫💫🙏
GIF
Runjan Chetty@RunjanChetty
Diagnexia is now downloading educational content like webinars by Kum Cooper and Richard Byers on our Diagnexia YouTube channel. Please visit and subscribe. Lots more to come like educational podcasts. @diagnexia
English
Runjan Chetty retweetledi

We’re excited to welcome Dr David Dorward for this week’s webinar on Mediastinal pathology.
Topic: Mediastinal pathology
Date: January 28 2026
Time: 8AM EST | 1 PM GMT | 2 PM BST | 3 PM Lusaka | 4 PM Nairobi
Access Link: news.diagnexia.com/4qmqlID
🎓 CPD-accredited – earn 1 CPD point by attending live.
#PathologyEducation #CPDWebinar #Diagnexia #RichardByersSeries

English
Runjan Chetty retweetledi

Early bird tickets are live for the Diagnexia Histopathology Symposium 2026.
📍 Oxford | 20–21 Aug 2026
💷 Save £40 with early bird pricing
⏳Discount only available until Feb 28
Get your ticket now: news.diagnexia.com/49WOzmN
#Histopathology #Diagnexia

English
Runjan Chetty retweetledi

⏰ 1 DAY TO GO!
The next #CooperConference is happening tomorrow, January 14 at 1PM EST! Join Dr. Kumarasen Cooper for an interactive pathology session with digital slides on soft tissue pathology & more.
Don’t miss out!
🔗news.diagnexia.com/4p9YR7E
#Pathology #Diagnexia

English
Runjan Chetty retweetledi

#GUpath orchiectomy:
mixed germ cell tumor (GCT) with admixed syncytiotrophoblasts
✔️may account for low serum elevations of HCG but NOT diagnostic of choriocarcinoma elements




English

@drtimbracey @DrGeeONE @SumantaDas_7 @padmapathology1 @slusagar @glinglerimek @kis_lorand The imaging suggested it was an intrinsic kidney tumour. Hence, a partial nephrectomy was done.
English

@RunjanChetty @DrGeeONE @SumantaDas_7 @padmapathology1 @slusagar @glinglerimek @kis_lorand Beautiful. It would be nice to see the cross-sectional imaging to see if it’s a retroperitoneal mass infiltrating the kidney or vice versa.
English

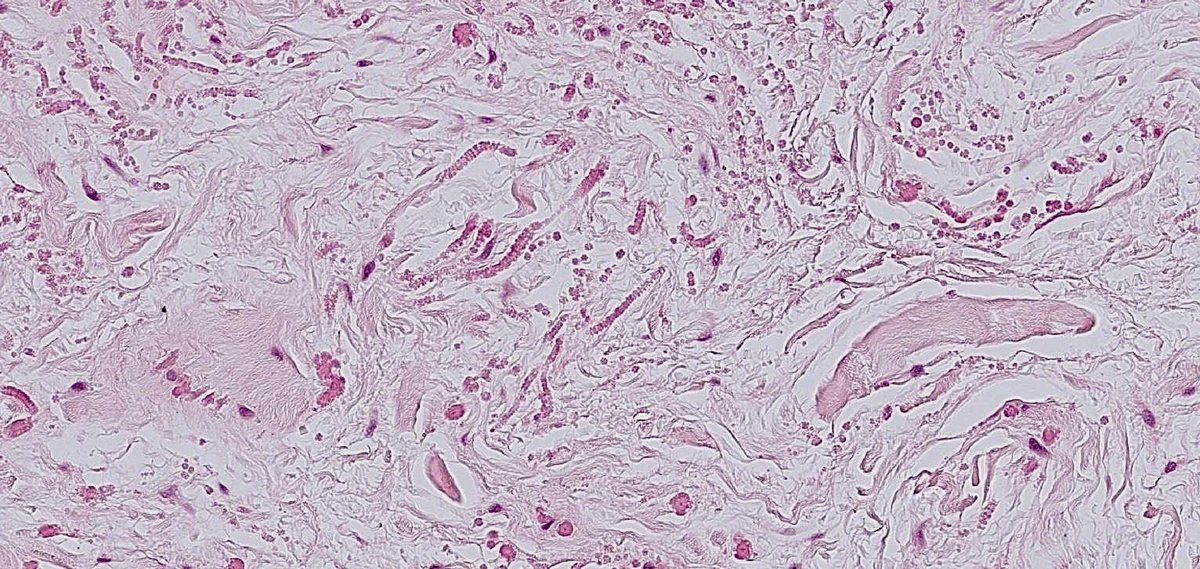
@kriyer68 @DrGeeONE @glinglerimek @kis_lorand @padmapathology1 @SumantaDas_7 @vi_monappa @maldovi @GeminiApp Chenille bodies are the clue!!
English

@DrGeeONE @RunjanChetty @glinglerimek @kis_lorand @padmapathology1 @SumantaDas_7 @vi_monappa @maldovi @GeminiApp Ha ha tough one that!
English

@DrGeeONE @glinglerimek @kis_lorand @padmapathology1 @SumantaDas_7 @vi_monappa @maldovi @GeminiApp The “caterpillar bodies” of clumped fragmented elastic fibres are called Chenille bodies. Chenille bodies are also fuzzy yarn fabric material used for fly fishing, simulating flies that attract the fish.
English

@RunjanChetty @glinglerimek @kis_lorand @padmapathology1 @SumantaDas_7 @vi_monappa @maldovi No flies on this case, but there are plenty bugs (caterpillar bodies)…is that the connection?
I had to use @GeminiApp to understand the idiomatic expression-it was totally lost on me
English

@kriyer68 @DrGeeONE @glinglerimek @kis_lorand @padmapathology1 @SumantaDas_7 @vi_monappa @maldovi No it’s about flies!!🤔
English

@RunjanChetty @DrGeeONE @glinglerimek @kis_lorand @padmapathology1 @SumantaDas_7 @vi_monappa @maldovi Easily recognisable leaving no room for diagnostic confusion or error ?
English

@Markie27070028 @DrGeeONE @glinglerimek @kis_lorand @padmapathology1 @SumantaDas_7 @vi_monappa @maldovi Mmm, good analogy but not quite there.
English

@RunjanChetty @DrGeeONE @glinglerimek @kis_lorand @padmapathology1 @SumantaDas_7 @vi_monappa @maldovi no flies because the elastic fibers look like larvae?
English







