

Sona Chikarmane MD
124 posts

@SChikarmaneMD
Associate Chair, Faculty Development / Brigham and Women’s Hospital @brighamrad / @dukeu undergrad, @harvardmed medical school, #BWH residency and fellowship



There is still time to register for this year's foremost radiology meeting. Please visit WorldClassCME.com for more information. #CME #Disney #Radiology #WorldClassCME





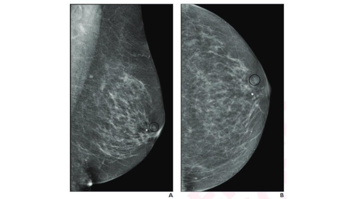
Multimodality Imaging Review of HER2-positive Breast Cancer and Response to Neoadjuvant Chemotherapy Portnow LH et al Breast Imaging doi.org/10.1148/rg.220… @leahportnowmd @SchikarmaneMD #RGphx 2/12















Mass General Brigham is recruiting fellowship-trained breast radiologists #radleaders Find out more: ow.ly/BWeg50ICqSn


That feeling when your 7yo kiddo secretly uses up your last remaining rapid test but you can’t be that mad because the + control looks so good



Congratulations to the following @BrighamSurgery faculty members who were recently promoted @harvardmed! @ReganBergmarkMD, @Putnam_Cole, @dr_laurad, @DrJDGaristo and @OKantorMD.

