SALMAN
1.3K posts

SALMAN
@SallDent
Dentist 🇸🇦 | interested in endodontics.
Kingdom of Saudi Arabia Katılım Ocak 2017
153 Takip Edilen253 Takipçiler
SALMAN retweetledi

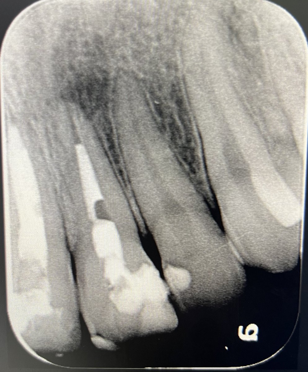
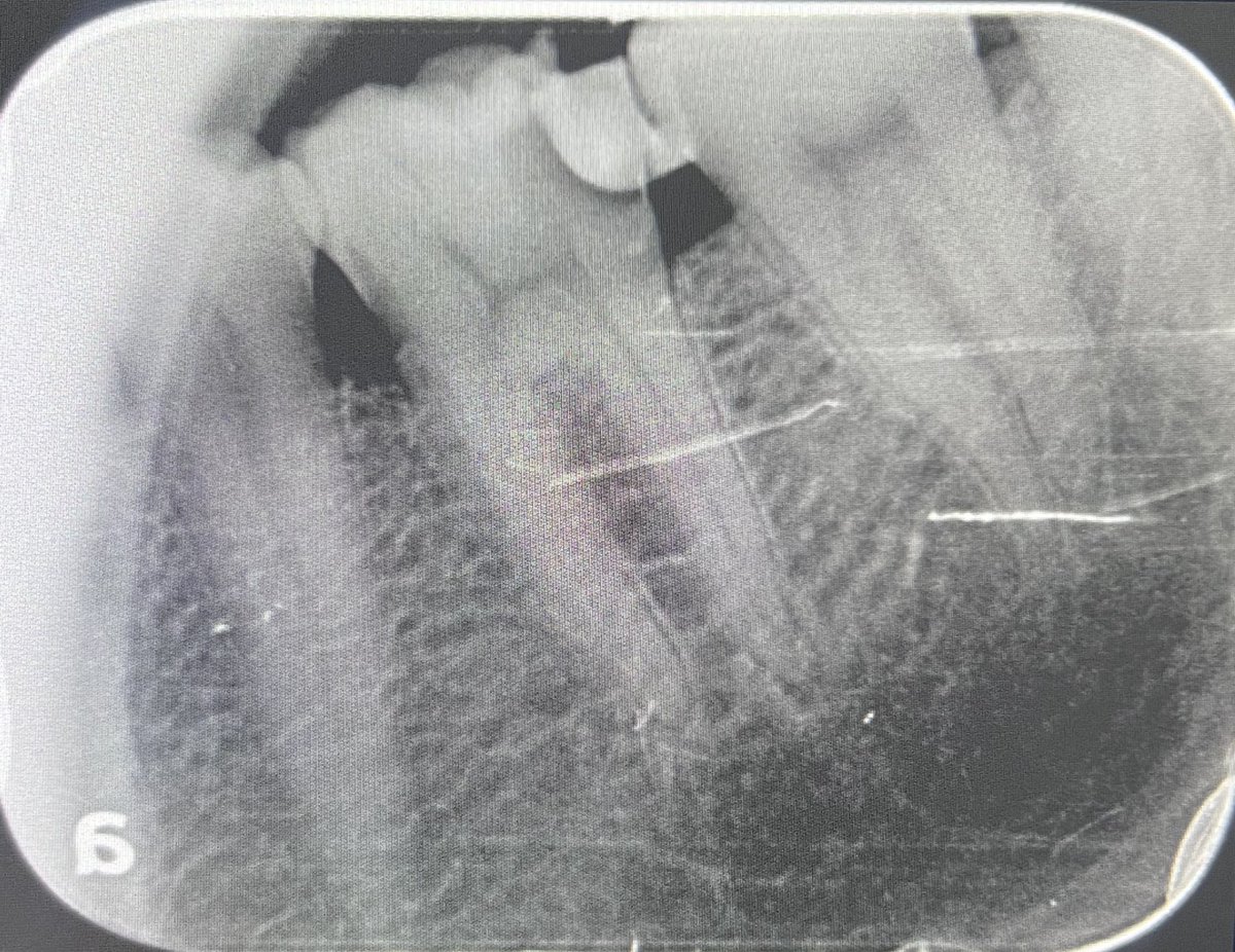
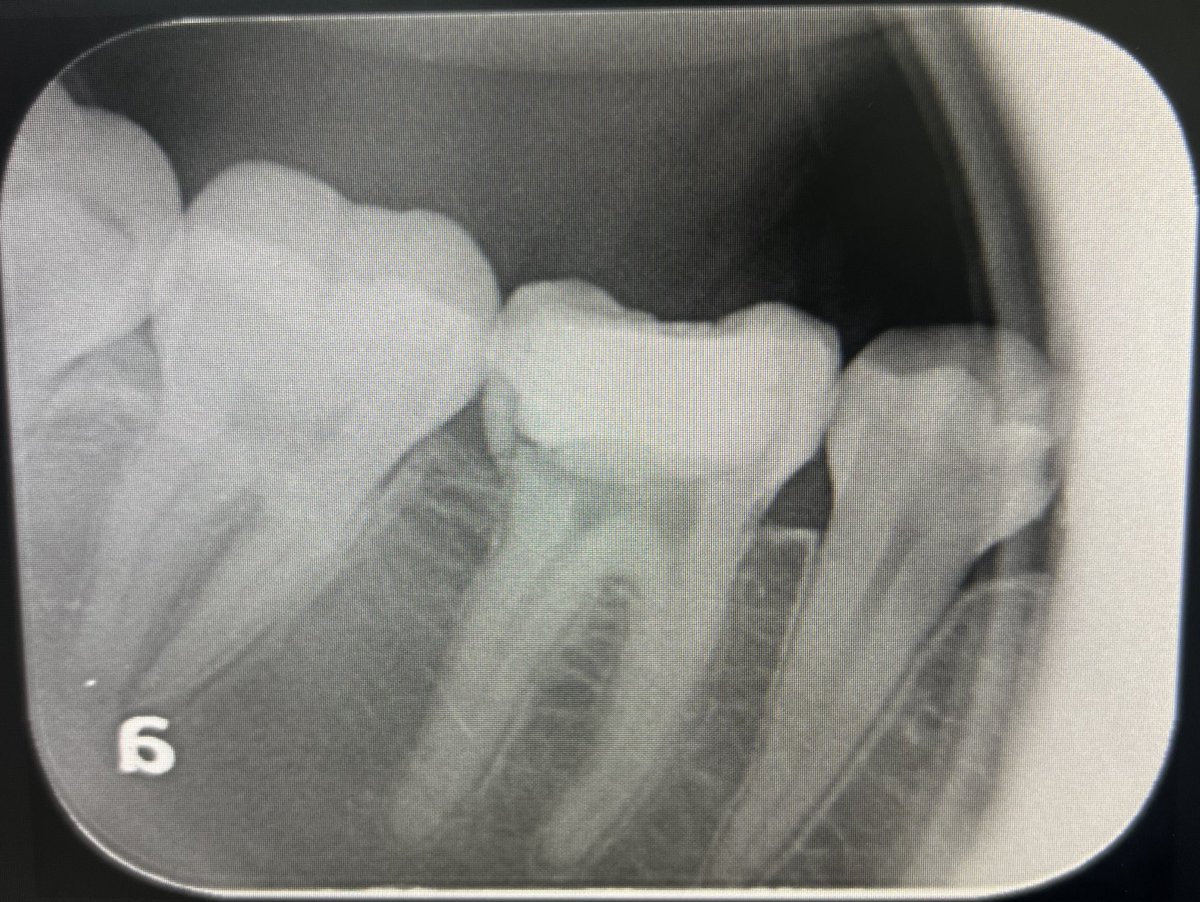
حالة جديدة اليوم ❤️
Root Canal Treatment for #36
The patient complained of severe pain,after examination we decided to do RCT.
Dx: SIP,NAP
ML wall is replaced then started RCT.
Single Cone and BC Sealer are used
✅✅
#endodontics




English

دام عزك يا وطن💚
اللهم احفظ قادتنا وولاة أمورنا، ووفّقهم لما تحب وترضى، وأدم على بلادنا الأمن والاستقرار.
أخبار السعودية@SaudiNews50
🇸🇦 🇸🇦 🇸🇦 المُؤسس المُوحد المُجدد
العربية
SALMAN retweetledi


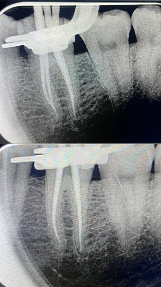
Today’s case:
Rct of #11 Dx : PI/AAA
• 1st visit: Open access, irrigation, abscess drainage, and dressing the canal with Ca(OH)₂.
• 2nd visit (after 30 days): Reopening the tooth, irrigation performed; the canal was completely dry and ready for obturation.
Patient is fine😁




English

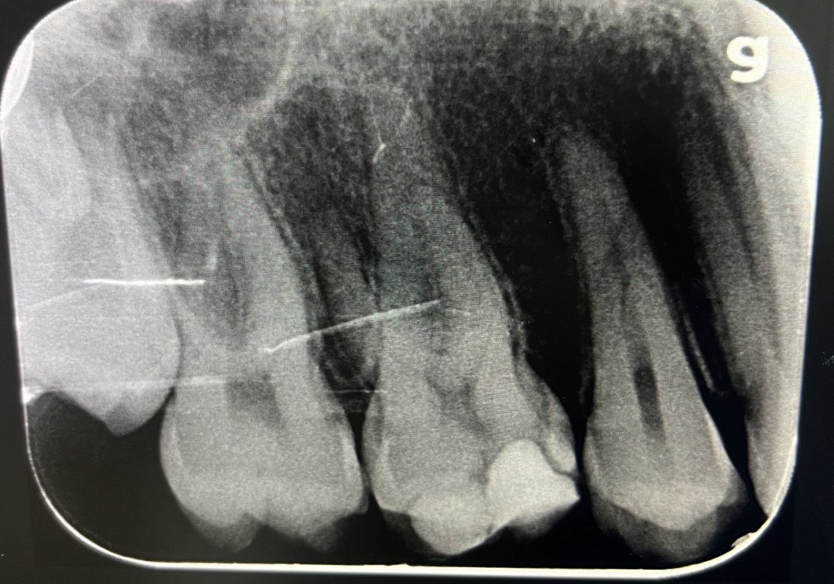
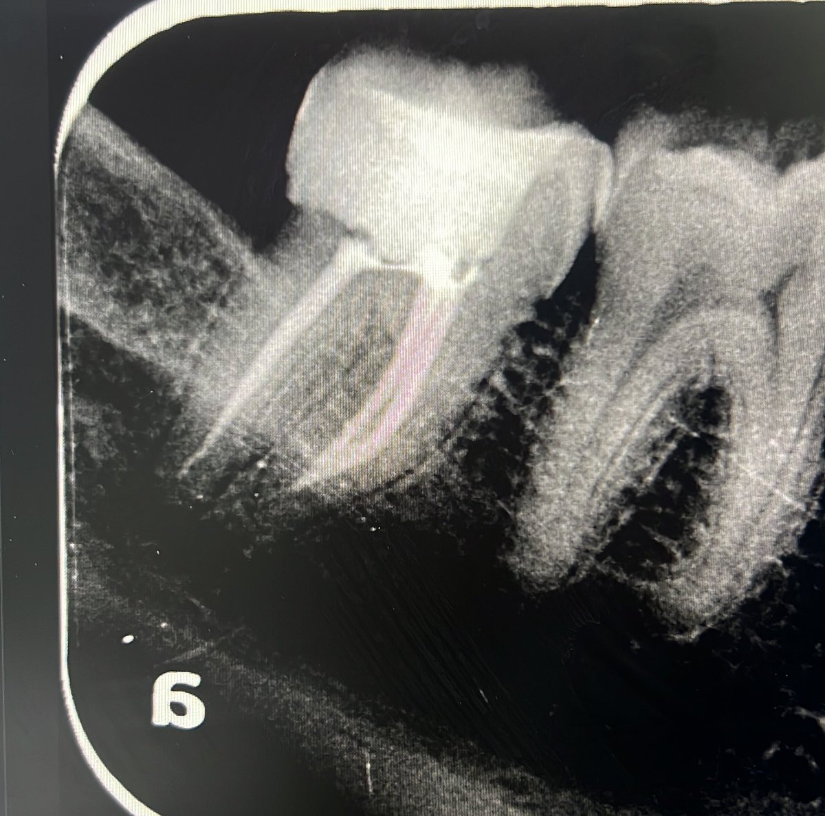
حالة جميلة لصباح اليوم 🙏🏻
Root Canal Treatment #34
Dx:SIP+SAP
Gingival overgrowth and deep caries in the distal wall, Rebuild the distal wall to achieve optimum isolation ✨
Next Step: Crown
#Endodontics











































