Savith Kumar
270 posts

Savith Kumar
@SavithKumarINR
Neuroradiology and Interventional Neuroradiologist. Army Veteran(Major). SCTIMST alumni.
Apollo Hospitals Bangalore Katılım Nisan 2022
340 Takip Edilen621 Takipçiler

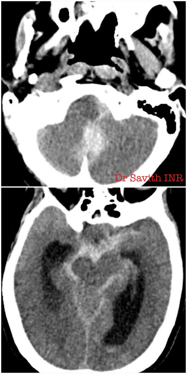
60 year old female with SAH and hydrocephalus from ruptured left PICA dissecting aneurysm. Partent artery occlusion done followed by EVD. Follow up CT showed left PICA territory infarct. Neurological stable. #aneurysm #neurointervention #coiling



English
Savith Kumar retweetledi

Our first effort to organize Apollo NeuroInsight with very good response @ApolloKarnataka. It was exclusive teaching session for post graduates followed by Quiz which was well attended as well.
It was brain child of @SavithKumarINR
instagram.com/reel/C-IIBEHyW…
English

Middle aged lady presented with diplopia. Angiogram showed fusisaccular aneurysm of the cavernous ICA. Flow Diverter(Surpass Evolve) placed across the neck of aneurysm achieving significant stasis. #stroke #aneurysm #neurointervention #flowdiverter @ApolloKarnataka @ApolloInter

English

Basilar artery stenting: Symptomatic mid basilar stenosis. Coronary and DEB plasty followed by stenting(Credo stent).#stroke #neurointervention #ICAD @ApolloKarnataka @ApolloInter



English

Radiofrequence ablation of median nerve for patient with failed carpal tunnel syndrome surgery. Treatment provided immediate pain relief without new motor defecit. #painmanagement #neurointervention #carpaltunnelsyndrome

English

Carotid stenting in 76year old male. #neurointervention #carotidstenting #stroke @ApolloKarnataka @ApolloInter

English

Join Us to Explore the Intricacies of Neuroradiology - Neuroinsights2024.
Click on the link to register: docs.google.com/forms/d/e/1FAI…
#neuroradiology #neurology #radiology #residency




English
Savith Kumar retweetledi

Enhance your expertise with our Neuroradiology fellowship. #fellowship #neuroradiology #radiologyresidency #radiology

English

@karananandpara @BhaveshPopat7 @SIRRFS @SIR_ECS @SIRspecialists @cirsesociety @_backtable Nice. Thank you for explaining.
English

@SavithKumarINR @BhaveshPopat7 @SIRRFS @SIR_ECS @SIRspecialists @cirsesociety @_backtable Hi sir. Lesion was subcapsular. Wasn’t sure if we would get adequate posterior coverage of the margin. Plus although this CT is not representative, the lesion appeared ill defined on USG. Since this was with a curative intent, combining therapy seemed more advisable
English

Case 73: with @BhaveshPopat7
.
CLD, Seg III subcapsular HCC/LIRADS V, conventional Lipiodol TACE f/b Percut USG guided RFA; images 👇
.
#irad #MedTwitter #gitwitter #oncotwitter #radres @SIRRFS @SIR_ECS @SIRspecialists @cirsesociety @_backtable


English
Savith Kumar retweetledi

New visual abstract on shoulder #embolization for adhesive capsulitis, another innovative approach in MSK procedures from #IRad!

English
Savith Kumar retweetledi

Tips and Pitfalls of New Endosaccular Aneurysm Technology on @EVToday evtoday.com/articles/2024-…

English
Savith Kumar retweetledi

Venous Stenting for Pulsatile Tinnitus: The St. Michael’s Hospital Experience on @EVToday evtoday.com/articles/2024-…

English
Savith Kumar retweetledi

CT guided biopsy of parapharyngeal space lesions(3 cases)
With good anatomical knowledge and careful planning, biopsies of parapharyngeal space lesions can be performed safely.
#interventionalradiology
#minimallyinvasive



English

Stent assisted coiling. 71 year old female with wide necked ruptured ACOM aneurysm. Neuroform Atlas with coils. #aneurysm #neurointervention #endovascular #neuroradiology

English

TRENZA Embolisation Device: Ruptured MCA bifurcation aneurysm in an elderly female measuring 11 x 10mm(D x W), neck of 6mm incorporating superior and inferior divisions. Deployed TRENZA Embolisation Device 10 x 18 followed by 7 coilis.#aneurysm #endovascular #neurointervention


English


