
Sherrin Jacob
251 posts

Sherrin Jacob
@SherrinJacob
Pathologist, PGY 3+2





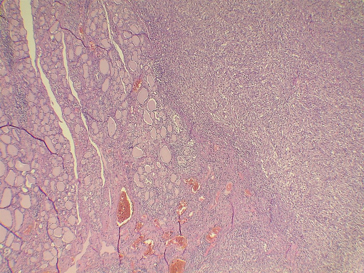
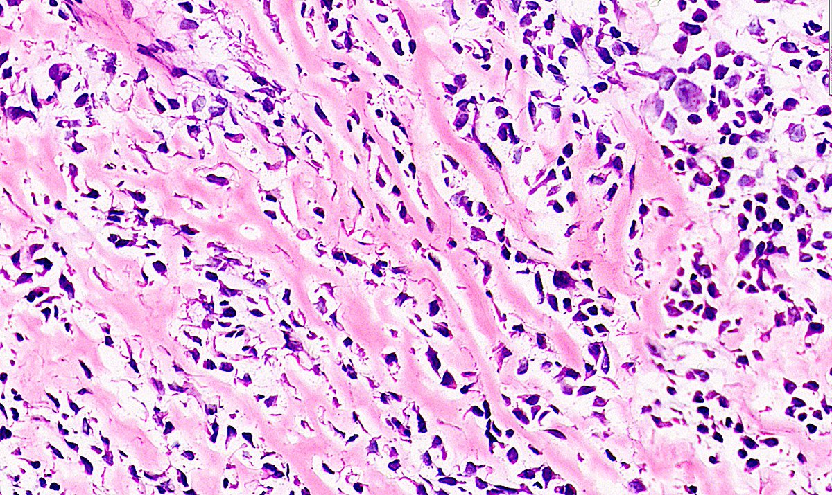
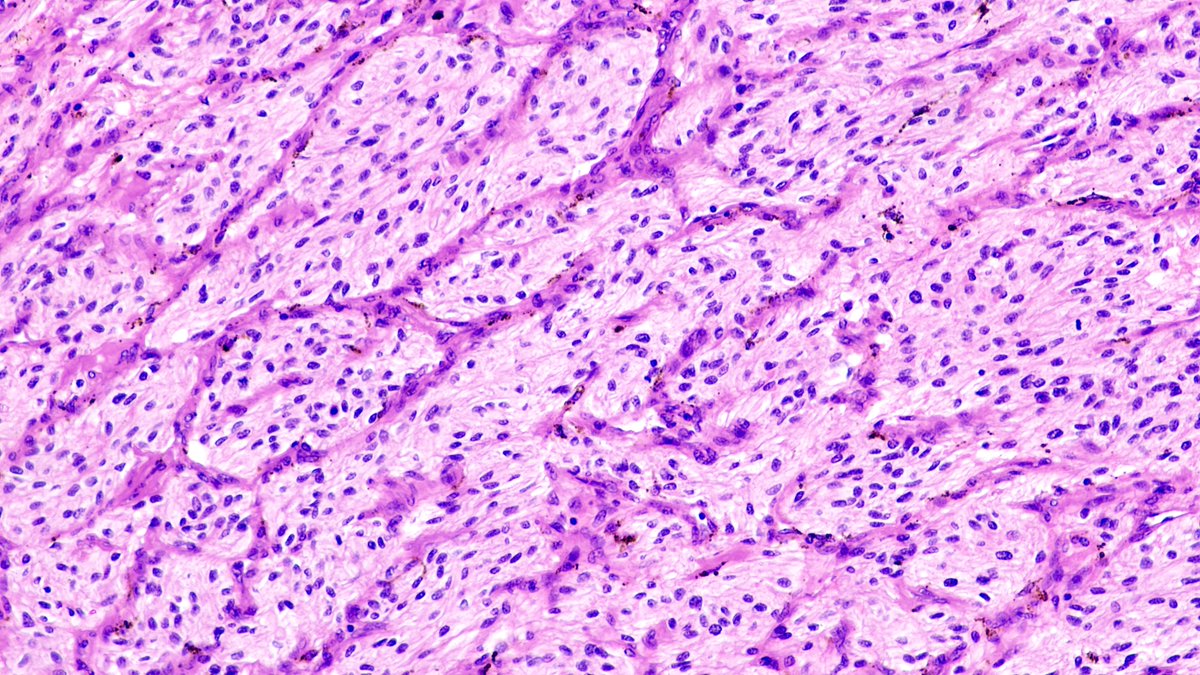
Adult male. Arm swelling. Frozen section. #PathX #PathTwitter #BSTPath







I'm working on a teaching presentation on Hodgkin's lymphoma. Picture below contains HRS-like cells from 9 different cases. Which ones are classical Hodgkin's lymphoma and which ones are something else? #hemepath #pathtwitter #pathology

Happy New Year to everyone! First case of 2026. Female in her 50s. Multiple mixed sclerotic and lytic lesions involving the thoracic spine and pelvis. #PathX #PathTwitter #BSTPath



The Epigenetic Engines of Cancer: Decoding the SWI/SNF Complex 🧬⚙️ From the brain (AT/RT) to the lung (SMARCA4-def) to the kidney (MRT). Different organs. Different ages. Same Molecular Culprit. Why does the loss of one "Chromatin Remodeler" create the most aggressive, chemo-resistant tumors? A Mega-Thread on SWI/SNF, SMARCA4, & INI1. 🧵👇 #PathX #PathTwitter #MedEd #Oncology













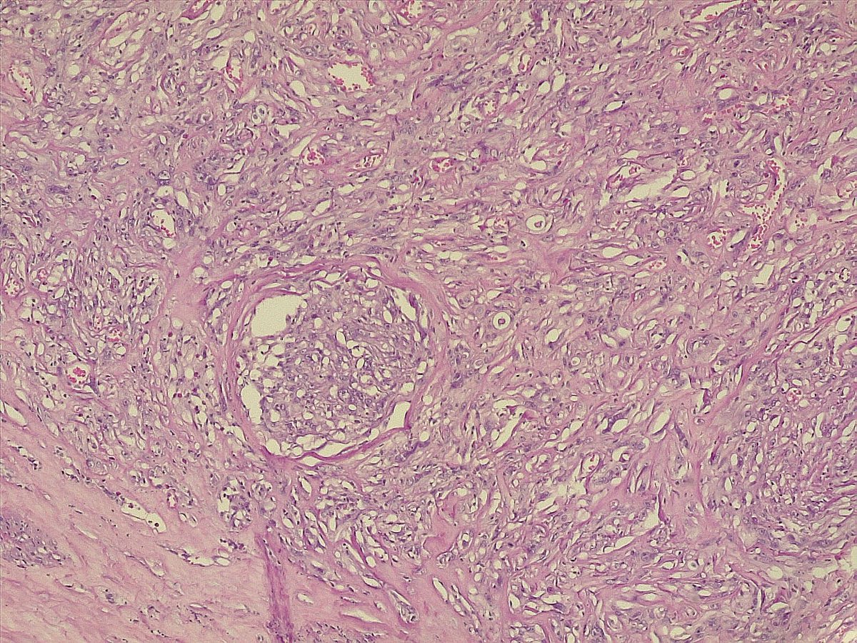
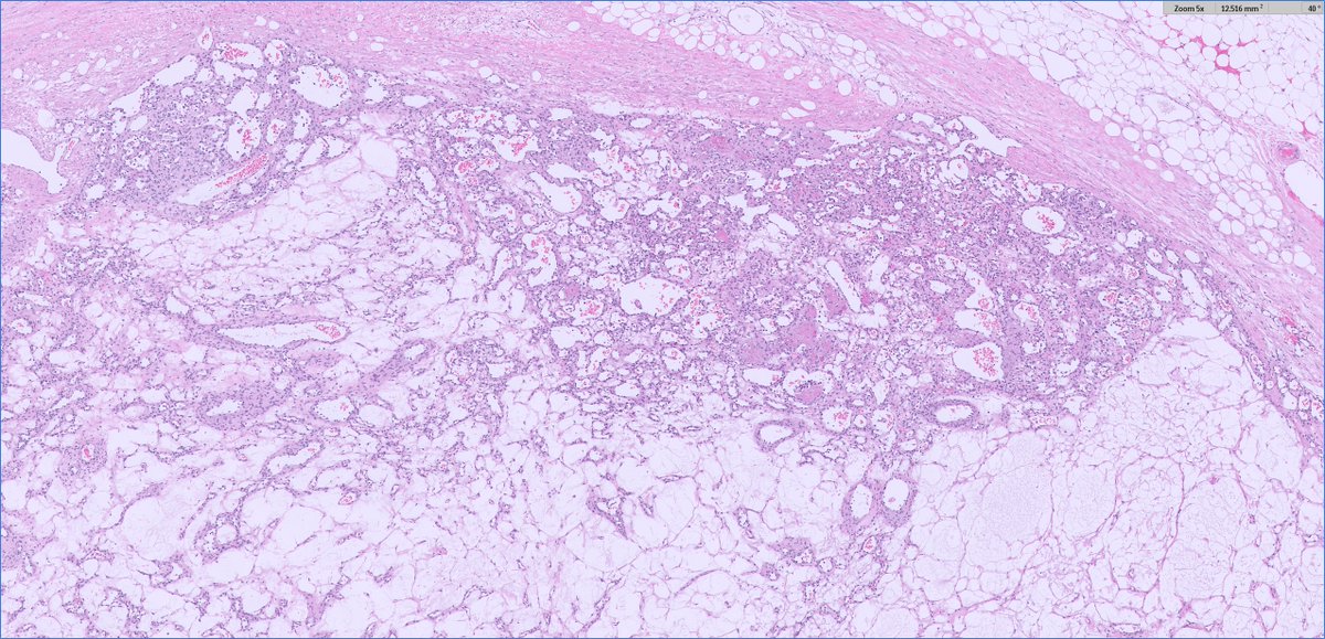
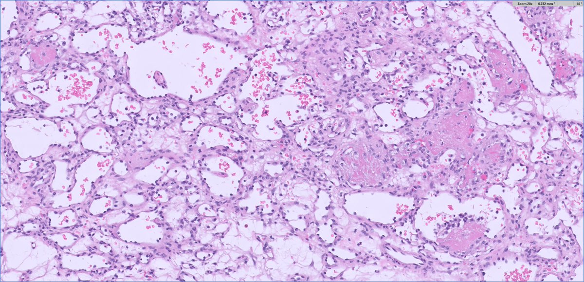
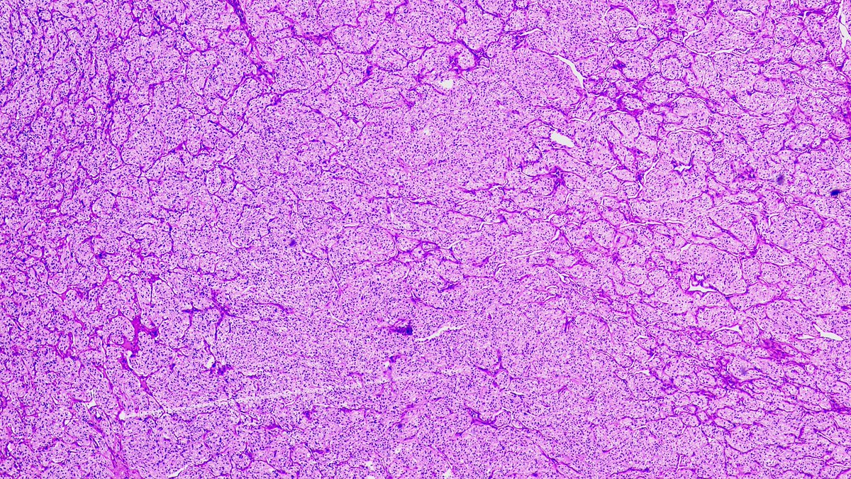
Middle-aged patient with a mass in a cervical vertebra. There is a hx of sarcoma. This was not my own case, but I was fortunate enough to see it and learn from it, hence the reason I'm sharing. Morphology is 🔑 #IHCPath provided is PCK. What's your diagnosis? #PathTwitter





















