Shin@獣医病理学者
1.6K posts

Shin@獣医病理学者
@Shin80038016
獣医病理学者/獣医病理診断医。Veterinary Pathology. OUS. 無脊椎動物からアフリカゾウまで。動物の「死」や「病」を通して「生」を考える。 note: https://t.co/1rq7q7FedE
日本 京都 Katılım Nisan 2017
1.4K Takip Edilen6.8K Takipçiler

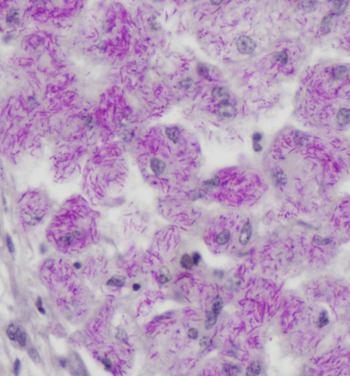
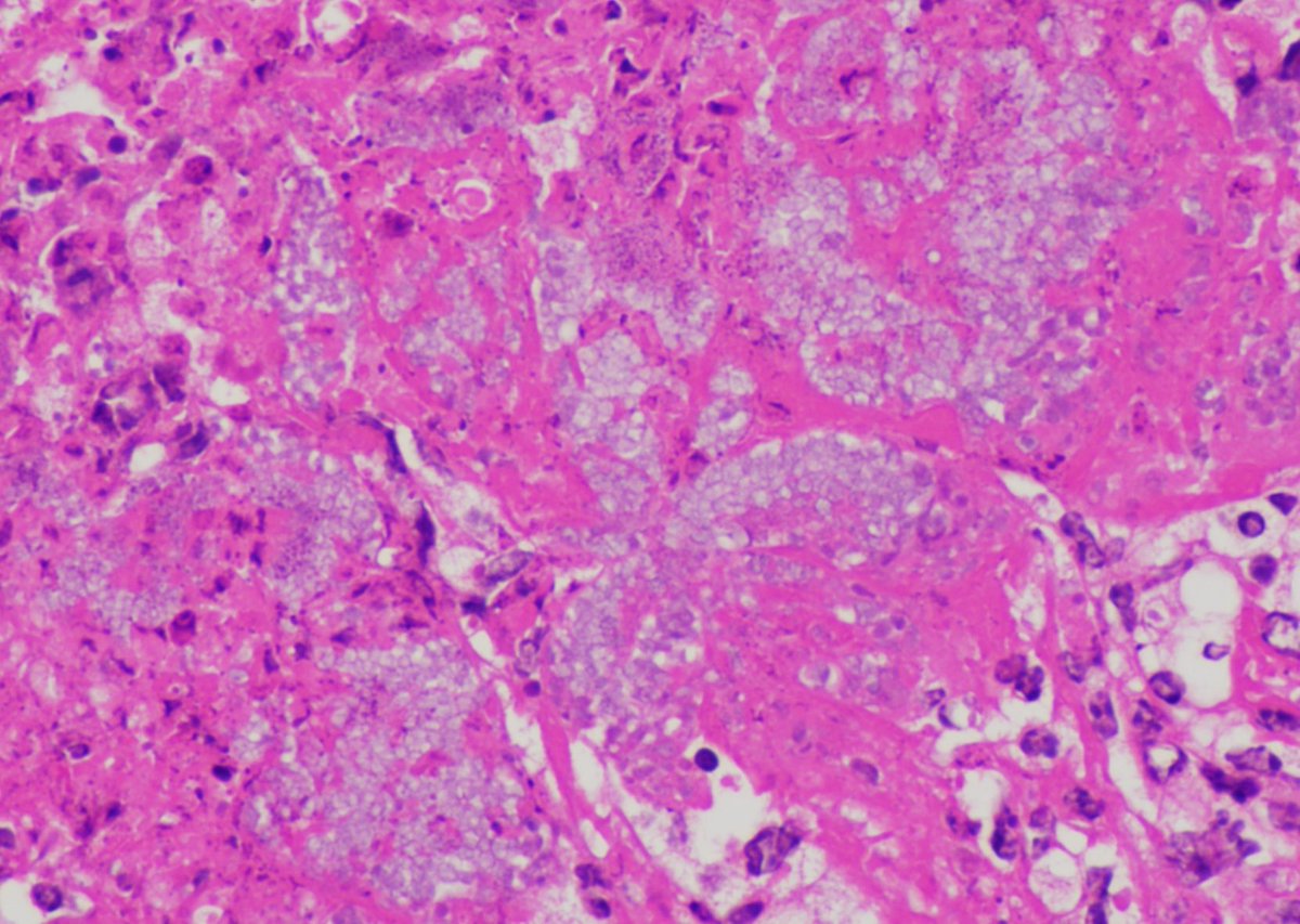
イカの病気に関する共著論文です
Multi-omics and pathobiological evidence of Vibrionaceae infections in... sciencedirect.com/science/articl…
日本語

東洋経済オンラインの再配信記事です
心臓にはおびただしい数の…愛犬を死に至らしめた"生き物の正体"とは?「室内飼いだから大丈夫」と考えるのは危険すぎるワケ<再配信> #東洋経済オンライン @Toyokeizai toyokeizai.net/articles/-/936…
日本語
Shin@獣医病理学者 retweetledi

【記事再配信】反響が大きかった記事が再配信されています。#目黒寄生虫館 にご協力いただいた「犬糸状虫(フィラリア)」の回。虫の標本写真も掲載しています。
心臓にはおびただしい数の…愛犬を死に至らしめた"生き物の正体"とは?<再配信> #東洋経済オンライン toyokeizai.net/articles/-/936…
日本語
Shin@獣医病理学者 retweetledi

話題の入り口は、コツメカワウソが人間に飼育されている場合の病気のことですが、繁殖が容易ではないのに国内で流通する問題、そして家庭で飼育する環境の不透明さなど、非常に重要な社会問題にまで触れてくださっています。中村先生のご研究は、法獣医学の鏡ではないかと思いました。是非ご一読を。
Shin@獣医病理学者@Shin80038016
東洋経済オンラインの月1連載、今回はカワウソがテーマです SNS人気の裏で…「コツメカワウソ」の知られざる最期――解剖した飼育個体ほぼ100%に見られた"自然界にない亡くなり方" | ペット | 東洋経済オンライン toyokeizai.net/articles/-/937…
日本語

東洋経済オンラインの月1連載、今回はカワウソがテーマです
SNS人気の裏で…「コツメカワウソ」の知られざる最期――解剖した飼育個体ほぼ100%に見られた"自然界にない亡くなり方" | ペット | 東洋経済オンライン toyokeizai.net/articles/-/937…
日本語
Shin@獣医病理学者 retweetledi

【記事公開】#東洋経済オンライン の月一連載。今回は、個体数の減少が著しいカワウソのお話です。
SNS人気の裏で…「コツメカワウソ」の知られざる最期――解剖した飼育個体ほぼ100%に見られた"自然界にない亡くなり方" @Toyokeizai toyokeizai.net/articles/-/937…
日本語

日本獣医師会雑誌に、法獣医学に関するアンケート調査の結果が掲載されました。ご協力いただきました先生方、獣医学生の皆さま、ありがとうございました。
法獣医学の認知度と経験に関する実態調査 jstage.jst.go.jp/article/jvma/7…
日本語
Shin@獣医病理学者 retweetledi

【記事公開】 #東洋経済オンライン の月一連載。今回は、カメの「甲羅干し」にまつわるお話です。
まるでゆでたような状態…カメの死が教える善意の悲劇"――獣医病理医が遺体に抱いた違和感。不適切な飼育情報が招いた悲しい出来事の顛末 @Toyokeizai toyokeizai.net/articles/-/934…
日本語











