Shreef Said
104 posts

Shreef Said
@ShreefSaid45
Postdoctoral Research Fellow at Yale Vascular Surgery @YaleVascular @YaleMed | MD’22 @CairoUniv !
New Haven, CT Katılım Kasım 2023
236 Takip Edilen258 Takipçiler


Such a privilege to be presenting at the AVF for the 2nd time. Thanks to @MdChaar
@YaleVascular @YaleMed @YaleSurgery @VenousForum @JVSVL

English

@MdChaar @YaleVascular @YaleMed @YaleSurgery @VenousForum @JVSVL Thank you so much! I think I’m just very lucky to be one of your mentees Dr. Chaar.
English

@ShreefSaid45 @YaleVascular @YaleMed @YaleSurgery @VenousForum @JVSVL Great job shreef !!! Very proud of how u keep refining ur analytical and presentation skills. Keep it up
English
Shreef Said retweetledi

Really outstanding presentations and research by Yale trainees and collaborators at the AVF meeting. @YaleMedicine @YaleSurgery



English

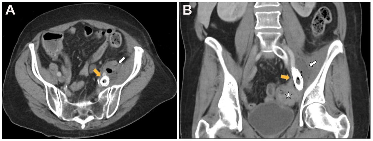
Check out this very rare case of en bloc resection of infected iliac stents in a patient with recurrent uterine carcinoma!
@YaleVascular
@YaleSurgery
@MdChaar

JVS-Cases Innovations and Techniques@JVascSurgCIT
🚨 When Cancer, Thrombosis & Infection Collide A complex case of iliocaval stent thrombosis and infection from recurrent uterine cancer required extra-anatomic bypass, embolization, and en bloc oncologic rsxn. 👉 jvscit.org/article/S2468-… #VascularSurgery #OncoVascular #DVT
English
Shreef Said retweetledi

🚨 Aneurysm comeback after 17 YEARS.
GDA aneurysm in a patient with ARPKD + Caroli disease fistulized into the GI tract nearly two decades after coil embolization. Open surgery for the win
Now 3 years out with no recurrence. jvscit.org/article/S2468-…
#Aneurysm #LateComplication
English

Check out this very challenging case:
"Open resection of gastroduodenal artery aneurysm with fistulization into the duodenum 17 years after coil embolization in a patient with Caroli disease"
@YNHH @YaleVascular @MdChaar
jvscit.org/article/S2468-…
English

Interesting findings and many questions!
NEJM@NEJM
Presented at #SVIN25: CREST-2: In high-grade asymptomatic carotid stenosis, addition of stenting to medical therapy led to a lower risk of stroke over a 4-year period. Endarterectomy did not lead to a significant benefit. Full results: nej.md/3LK9kst Editorial: Managing Asymptomatic Carotid Stenosis nej.md/482XjG1 @svinsociety
English
Shreef Said retweetledi

I am hiring! We are in search of 2⃣ people who are excited about working on vascular surgery-related research, including a newly funded R01 clinical trial.
Apply to join the CHICKS lab today! 🐥
Project Manager: bit.ly/4nOfyET
Sr Coordinator: bit.ly/4nSFEH2
GIF
English

@BellomoTiffany @VascularEVS @pnatarajanmd @NikZacharias @ImJiwooLee Congrats Tiffany! A breakthrough paper and great presentations. Very well deserved.
English

Honored to highlight lipoprotein(a) on the podium, win the poster competition, and contribute through the Mentorship Committee. Eastern Vascular Society 2025 was a true success! @VascularEVS




English
Shreef Said retweetledi

35 years ago today- Juan Carlos Parodi implanted the first EVAR in the Western Hemisphere! Congratulations Juan! @UNCVascular @UWVascsurg @StanfordVasc
English
Shreef Said retweetledi

Yale vascular team at Evs ! Great meeting and great talks. @YaleVascular @YaleMedicine @YaleSurgery @BrandonC12231 @ChaituDandu



English

Attending #VAM24 last year was a huge inspiration—it set a clear goal: to have at least one abstract presented at #VAM25. Thanks to the incredible support from my mentors and our amazing @YaleVascular team, I’m honored to have had 6 projects presented this year @MdChaar @YaleMed




English

#VAM25 was an inspiring experience — great talks, brilliant experts, and cutting-edge vascular innovation. Grateful to my mentor, Dr. Gifford, for the guidance and support.


English
Shreef Said retweetledi

Outstanding presentations by Yale vascular surgery research team … too many to fit in a post …. @YaleVascular @YaleMedicine @YaleSurgery



English
Shreef Said retweetledi

Fun times @VAM 2025. I feel privileged to work w so many gifted trainees and be able to contribute to their careers ! @YaleVascular @YaleSurgery @YaleMed @YaleSurgery @VascularSVS



English

@Dr_Tonnessen @YaleVascular @MdChaar @YaleMed Thank you Dr Tonnessen for your support and mentorship!
English




