Solos Jaturapisanukul retweetledi

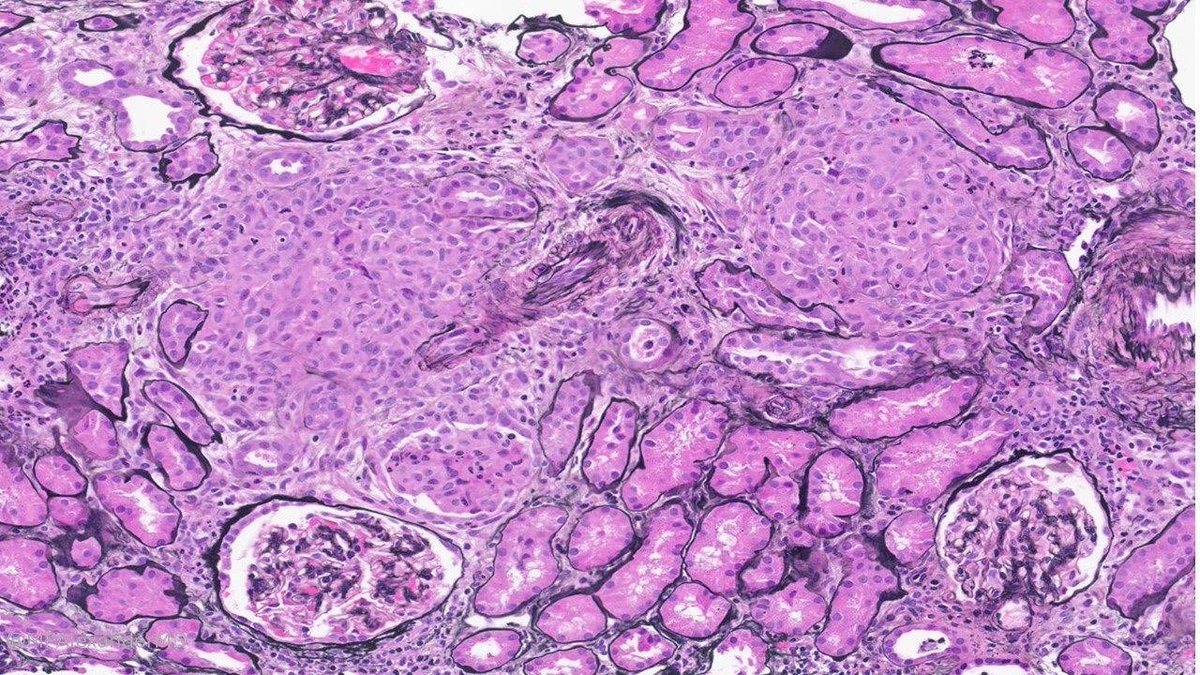
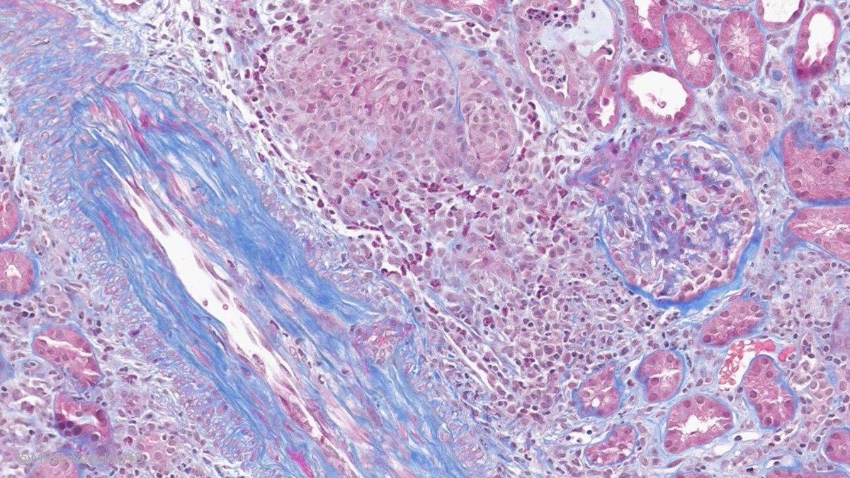
Simple concept: Fibrinoid necrosis (necrotizing glomerulonephritis) versus Fibrin thrombi (thrombotic microangiopathy, TMA)
1. In fibrinoid necrosis, there is breach/rupture of the glomerular basement membrane (GBM), & fibrin is present in the Bowman’s space.
Top panel.
2. In fibrin thrombi, the glomerular basement membrane is INTACT. There is No rupture of the GBM. Fibrin is present within glomerular capillary, and not in Bowman’s space.
Bottom panel




English
































