Therapeutic Advances in Cardiovascular Disease
103 posts

Therapeutic Advances in Cardiovascular Disease
@TACardio
@SAGE_Publishing OA journal on all areas of CVD 🫀 | Indexing: MEDLINE, PMC, WoS: ESCI & Scopus 📖 | Managing Editor & Social Media Editor: Amy Goundry
London Katılım Nisan 2022
525 Takip Edilen215 Takipçiler

🎧 New podcast article (with transcript) in @TACardio!
journals.sagepub.com/doi/10.1177/17…
English

⏰Submit by 30 June to @TACardio Special Collections on:
🫀Optimising Outcomes in CV Surgery | 🩺Advancing Pediatric CV Care | 💊Targeting Inflammation & Immunity in CVD
journals.sagepub.com/collection-ind…
English
Therapeutic Advances in Cardiovascular Disease retweetledi

Check out our latest narrative review @TACardio: “Challenging anticoagulation decisions in #AFib.” 💊❤️🩺😷 @Dr_MGriffin @LiverpoolCCS @LivuniILCaMS @MWLNHSLib_STHK @LHCHFT [Click]
journals.sagepub.com/doi/10.1177/17…

English
Therapeutic Advances in Cardiovascular Disease retweetledi

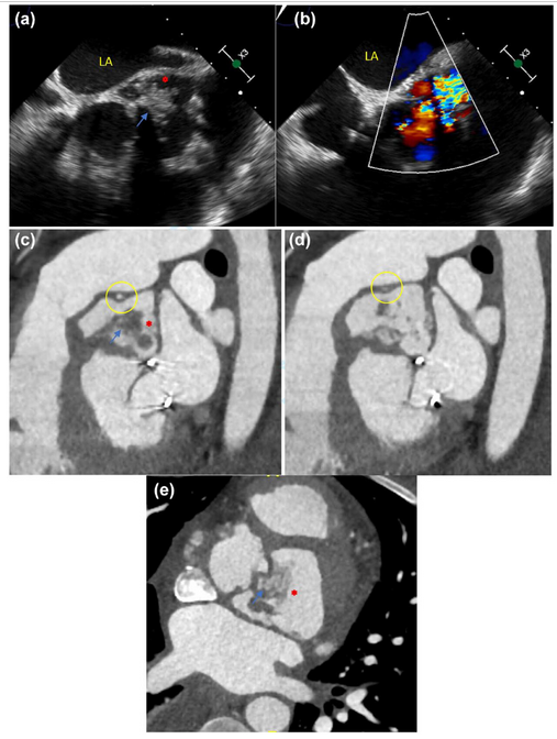
Relevance of cardiac imaging in the evolving landscape of infective endocarditis management
@TACardio @Star cardiology fellow Alice Haouzi MD @MdKhayata @CCFcards @CleClinicHVTI @ccf_echo_school #YesCCT
journals.sagepub.com/doi/10.1177/17…


English
Therapeutic Advances in Cardiovascular Disease retweetledi

Fresh off the press! Our review, “The pivotal role of echocardiography in structural heart interventions,” is now published in Therapeutic Advances in Cardiovascular Disease.
Thanks to all co-authors & special thanks to @ZainabDakhil2
pubmed.ncbi.nlm.nih.gov/41721645/
#echofirst #4Decho

English

"Optimizing Strategies, Care, and Outcomes in Cardiovascular Surgery" welcomes submissions of team‑based care pathways that clarify peri‑operative decisions, reduce complications, and enhance recovery.
🗓️ Collection open to submissions until June 30, 2026
journals.sagepub.com/topic/collecti….
English
Therapeutic Advances in Cardiovascular Disease retweetledi

New to publishing or ready to level up your next paper?
From manuscript prep to peer review, open access, and promotion, Sage’s Information for Authors hub has you covered.
Publish smarter, with confidence: ow.ly/B6tJ50YiGRS

English
Therapeutic Advances in Cardiovascular Disease retweetledi

Heart disease is a leading public health problem globally.
Explore the latest advances in cardiology with visual abstracts from @Innovationsjour and @HeartValveOrg on the Cardiology & Cardiovascular Medicine hub: ow.ly/AsNM50YhkPt

English

🌟Thank you to our Editorial Board and our global reviewer community! Your time, expertise, and thoughtful feedback power rigorous, clinically meaningful cardiovascular research in @TACardio.
journals.sagepub.com/doi/10.1177/17…
English

💬Meet the Editor sessions now available! An opportunity to speak with a @TACardio editor about how your research aligns with the journal, identify suitable Special Collections, and get guidance on submission requirements and peer review.
Book here: forms.office.com/Pages/Response…
English

📢 Therapeutic Responses to Environmental Cardiovascular Risk
Part of a Special Collection series on Sustainable Development Goal 3: Good Health and Well-Being
🗓️ Submissions open until July 31, 2026
journals.sagepub.com/topic/collecti…
English

This Northern California pilot study explores how coordinated care and organisational structures relate to CABG outcomes, offering context that may be useful for refining surgical pathways and longer‑term management.
journals.sagepub.com/doi/10.1177/17…
English

Precision‑focused cardiovascular research helps relate patient characteristics, biomarkers, and risk profiles to clearer treatment pathways. @TACardio values evidence that strengthens personalised, data‑driven decisions and guides therapy selection.
English

❤️February marks UK Heart Month, raising awareness of cardiovascular disease and steps to lower risk.
This clinical trial suggests even 10 mins of HIIT/session could improve endothelial function and reduce oxidative stress in patients after AMI.
journals.sagepub.com/doi/10.1177/17…
English

📢 Targeting Inflammation and Immunity in Cardiovascular Disease
A cross-journal Special Collection with 𝘛𝘩𝘦𝘳𝘢𝘱𝘦𝘶𝘵𝘪𝘤 𝘈𝘥𝘷𝘢𝘯𝘤𝘦𝘴 𝘪𝘯 𝘋𝘳𝘶𝘨 𝘚𝘢𝘧𝘦𝘵𝘺
🗓️ Submissions open until June 30, 2026
journals.sagepub.com/topic/collecti….
English

Artificial intelligence is transforming coronary computed tomography angiography (CCTA), improving speed and consistency, reducing radiation, and supporting more precise care for coronary artery disease.
Read the full review here: journals.sagepub.com/doi/10.1177/17…
English

Italian registry study assessed the effects of sacubitril/valsartan on renal function and outcomes in patients with HFrEF and LVEF <40%, including those with CKD, over a 48-month follow-up period.
Read the findings: journals.sagepub.com/doi/10.1177/17…
English

📢 Harnessing AI in Cardio-Oncology & Cardiovascular Medicine
A cross-journal Special Collection with 𝘛𝘦𝘤𝘩𝘯𝘰𝘭𝘰𝘨𝘺 𝘪𝘯 𝘊𝘢𝘯𝘤𝘦𝘳 𝘙𝘦𝘴𝘦𝘢𝘳𝘤𝘩 & 𝘛𝘳𝘦𝘢𝘵𝘮𝘦𝘯𝘵
🗓 Submissions open until April 30, 2026
journals.sagepub.com/topic/collecti…
English

From EVAR to MFM stents: A closer look at how innovative designs aim to reduce aneurysm risk while preserving side-branch blood flow. Read the full review: journals.sagepub.com/doi/full/10.11…
English
