Travis L. Healey MD
1.5K posts

Travis L. Healey MD
@THealeyIRad
Indiana University Chief #IRadRes. MD from SIU SOM. Adding to the field of DR & #IRad via research and #radvocacy. Tweets are my own. #TwittIR @IUIRad #IAmIR
Indianapolis, IN Katılım Ocak 2017
732 Takip Edilen769 Takipçiler

@IURadiology @apkamer @lmharryIU Welcome to the best DR/IR program in the country. Bias intact. Don’t hesitate to reach out with any questions or concerns.
English

Another amazing Matched class of residents! We are thrilled to introduce our entering Class of 2023! #Match2022 #RadiologyMatch2022 #radiology #MatchDay2022 #radres #IURadFam @apkamer @lmharryIU

English

2 Days in Hopkins IR
2 venous malformation embos, filter in filter out, fistula gram, MW ablation, TIPSS, lymphangiogram, cholangioscopy, BAE, UFE, TACE, Y90, Endoleak embo, renal AVF embo.
60 cases. Man, I love days like this. @JohnsHopkinsIR @BudLiddell
English

@IURadiology @IUIRad Also, let me know if y’all are going to be in Indy for your intern year!
English
Travis L. Healey MD retweetledi

Congratulations to our new #Match2021 @IURadiology and @IUIRad #radres ! We're privileged to be working with you all soon. Thank you to all of our #radres and #IURadFam who helped so much with interviewing and introducing these wonderful applicants to our Department!

English

@IURadiology @IUIRad You guys just hit the jackpot with this residency! Welcome to the crew!
English

@IURadiology @aizax3 @JessicaBurkMD @kushdili @NRAlbertson @matrevin12 @DavidCollinsMD Thank you for the continued support during this hard time! Couldn’t imagine being at a better place to train! @IURadiology @IUIRad
English

Congratulations to our entire 4th year class on passing the Core Examination. It's been an EXTRA long road, but all the hard work has paid off. You are awesome! @aizax3 @JessicaBurkMD @kushdili @NRAlbertson @THealeyIRad @matrevin12 @DavidCollinsMD
English

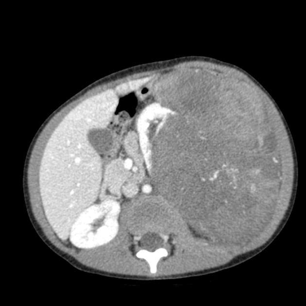
Q: What is the name of this sign most classically observed in Wilms tumour?
ANSWER: goo.gl/L40yCH
#FOAMrad #FOAMed

English
Travis L. Healey MD retweetledi

Up next in our #IURadResProfiles series - R4 and future breast imaging fellow, @JessicaBurkMD!




English
Travis L. Healey MD retweetledi

Register and join us for the 2020 @SNMA Region V Virtual #MedEd Conference!
We will host #radres Q&A, faculty-led interesting case conferences, and program overview with @apkamer.
#RADiversity #FutureRadRes
General conference agenda: rmec2020.iu.edu/agenda/index.h…

English
Travis L. Healey MD retweetledi

Applications✅Mock Interviews✅. Blessed to have the opportunity to apply into Interventional Radiology/Diagnostic Radiology next week! By the way, how’s my interview room? @ratemyskyperoom #match2021 #irad #TwittIR #MedTwitter

Indianapolis, IN 🇺🇸 English
Travis L. Healey MD retweetledi

Excited to introduce our senior @IUIRad Chief and father to a new baby boy, @THealeyIRad!
#MeetTheChiefs #IURadResProfiles


English
Travis L. Healey MD retweetledi

We are excited to have reached a new @IUIRad social media milestone! 2000 followers! Thank you everyone for letting us be part of your @Twitter experience! #2000followers @SIRspecialists @SIRRFS #twittIR #IamIR #IRad @IURadiology @ndiab90 @MikeSchachtMD @BrooksDavisMD @apkamer

English
Travis L. Healey MD retweetledi

For today's #MeetTheChiefs, we are introducing R3 Eleni Collett! Any book recommendations for Eleni?
#IURadResProfiles


English
Travis L. Healey MD retweetledi



