Thomas Long retweetledi

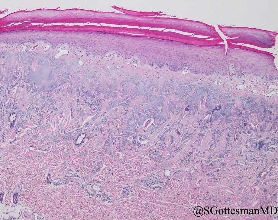
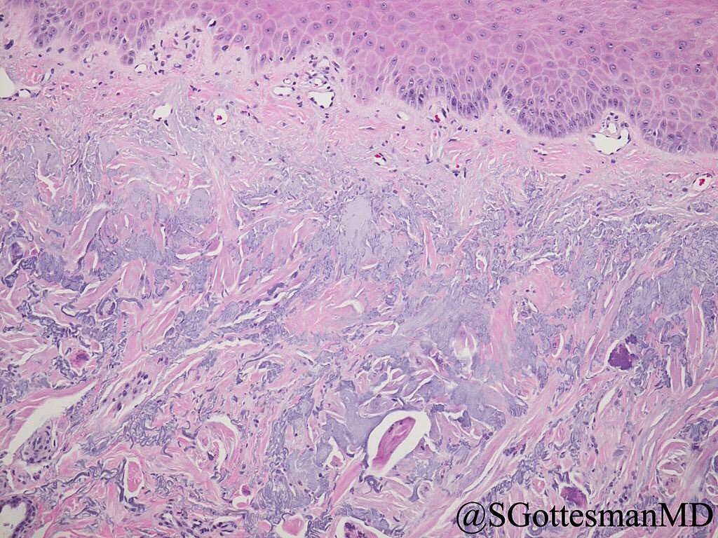
The long alphabet soup continues #CollagenousAndElastoticMarginalPlaquesOfTheHands aka #KeratoelastoidosisMarginalis. Acanthosis with loss of rete, collagen bundles perpendicular to surface, basophilic elastotic masses, calcifications. #dermpath #ASDP18 #SilviPearls #dermatology




Brooklyn, NY 🇺🇸 English














