Thomas Gaist

7 posts

Thomas Gaist

Thomas Gaist

@ThomasGaist

Katılım Mart 2022
55 Takip Edilen18 Takipçiler
Thomas Gaist
Thomas Gaist@ThomasGaist·
@JRBneuropsiq Paracentral lobule affection with contralateral lower limb palsy and urinary incontinence perhaps?
English
0
0
0
40
Jesus Ramirez-Bermudez
Jesus Ramirez-Bermudez@JRBneuropsiq·
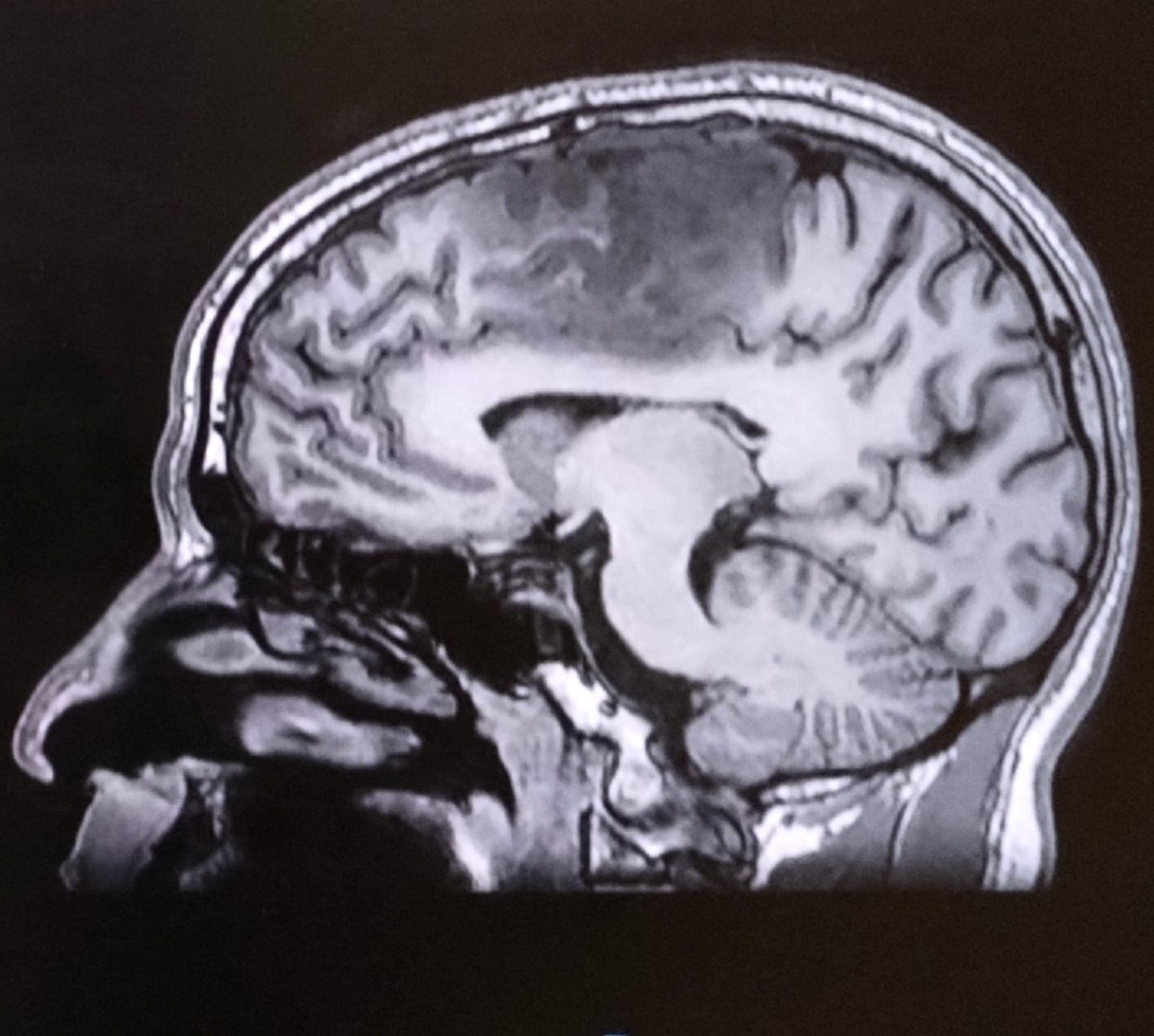
A 25 year old man comes to the emergency room with an acute history of hallucinations, persecutory delusions, aggresive behavior, psychomotor agitation. The mental status examination shows severe cognitive dysfunction. This is the brain image. Thoughts?
Jesus Ramirez-Bermudez tweet media
English
60
76
477
139.1K
Dr. Brandon Beaber
Dr. Brandon Beaber@Brandon_Beaber·
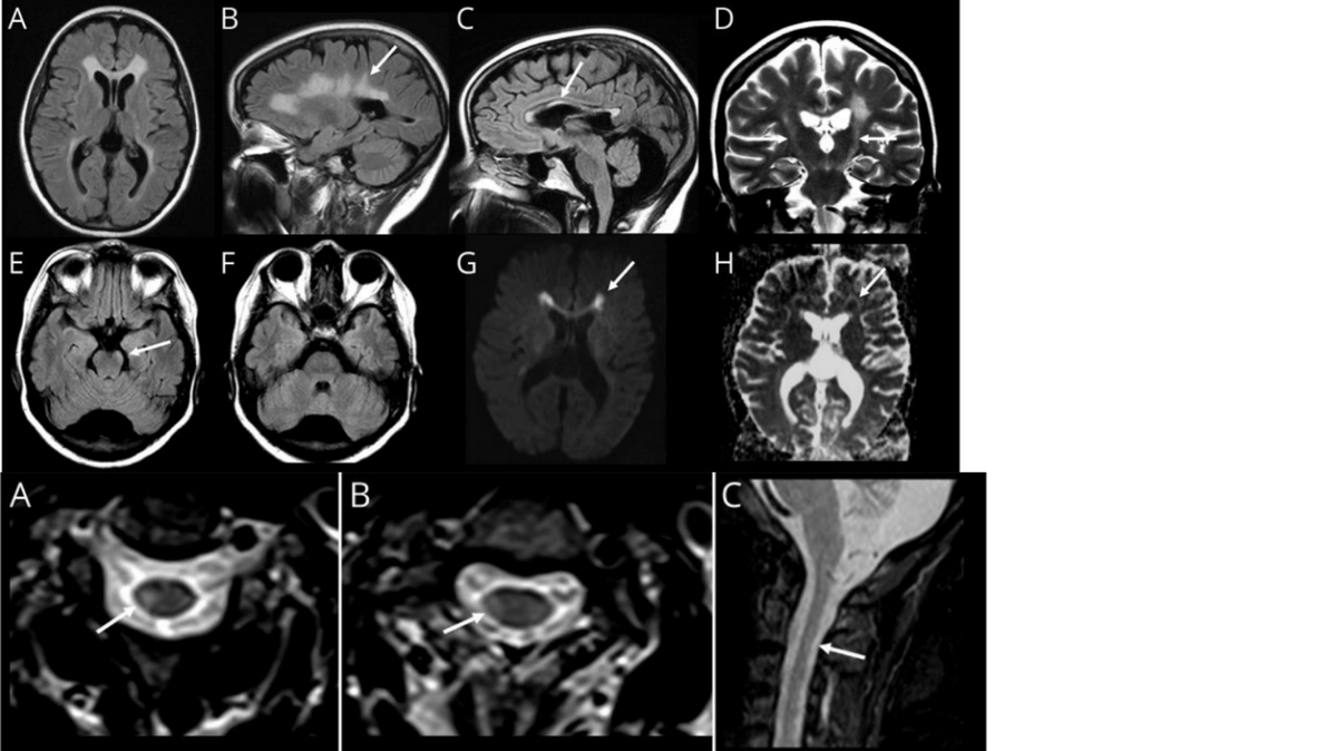
46 year old woman with progressive cognitive impairment and parkinsonism diagnosed with MS and given mayzent. What is the real diagnosis? Hint: The finding on panel G was persistent on multiple MRI scans. Hint #2: This condition rarely involves the spine.
Dr. Brandon Beaber tweet media
English
26
24
133
32.4K
Lyell Jones MD
Lyell Jones MD@LyellJ·
The Case of the Pleasant Surprise: A 52 year old seeks a 3rd opinion for diagnosis of ALS ➡️ Progressive arm weakness over 7 years ➡️ Atrophy and fasciculations in upper limbs only ➡️ Brisk finger flexor and lower limb reflexes MRI has good news. What is it, #neurotwitter?
Lyell Jones MD tweet media
English
21
35
235
0